
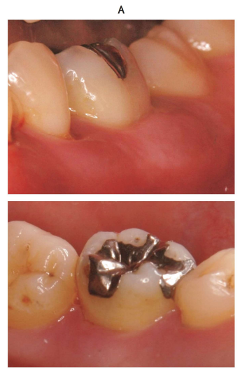
- 118回 A-32
- 118回 A−64
- 118回 A−78
- 118回 A−82
- 117回 A-29
- 117回 A-41
- 117回 A-56
- 117回 A-81
- 117回 A-84
- 117回 B-8
- 117回 B-9
- 117回 B-29
- 117回 B-40
- 117回 B-52
- 117回 B-85
- 117回 C-1
- 117回 C-28
- 117回 C-42
- 117回 C-49
- 117回 C-55
- 117回 C-65
- 117回 C-67
- 117回 D-27
- 117回 D-89
- 116回 A-11
- 116回 A-12
- 116回 A-28
- 116回 A-32
- 116回 A-75
- 116回 B-6
- 116回 B-35
- 116回 B-51
- 116回 B-62
- 116回 B-65
- 116回 B-71
- 116回 C-9
- 116回 C-12
- 116回 C-29
- 116回 C-45
- 116回 C-52
- 116回 C-71
- 116回 C-72
- 116回 C-82
- 116回 D-26
- 116回 D-39
- 116回 D-55
- 116回 D-57
- 116回 D-60
- 116回 D-76
- 114回 A-4
- 114回 A-15
- 114回 A-34
- 114回 A-50
- 114回 A-62
- 114回 A-74
- 114回 A-76
- 114回 A-89
- DH 32回 午前19
- DH 32回 午前21
- DH 32回 午前38
- DH 32回 午前40
- DH 32回 午前41
- DH 32回 午前45
- DH 32回 午前64
- DH 32回 午前65
- DH 32回 午前68
- DH 32回 午前69
- DH 32回 午前71
- DH 32回 午前73
- DH 32回 午前74
- DH 32回 午前76
- DH 32回 午後21
- DH 32回 午後40
- DH 32回 午後42
- DH 32回 午後64
- DH 32回 午後67
- DH 32回 午後70
- DH 32回 午後71
- DH 32回 午後76
- DH 32回 午後82
118回 A-32
下顎左側第一大臼歯の口腔内写真(別冊No. 8A)とエックス線画像(別冊No. 8B)を別に示す。
治療方針で適切なのはどれか。 2 つ選べ。


a GTR 法
b 歯根分離
c トンネリング
d FGF-2 製剤の応用
e ファーケーションプラスティ

解答:b c
解説:
X線画像より、根分岐部にプローブが完全に通りそうである。⇒3度の根分岐病変
a GTR 法:2度
b 歯根分離:3度
c トンネリング:3度
d FGF-2 製剤の応用:2度
e ファーケーションプラスティ:1,2度
118回 A−64
41 歳の女性。上顎左側前歯と小臼歯部の審美不良を主訴として来院した。 6 か月前から気付いていたがそのままにしていたという。角化歯肉の幅は上顎左側犬歯において 1 mm 程度である。歯周基本治療後の再評価時の口腔内写真(別冊No. 19A)とエックス線画像(別冊No. 19B)を別に示す。歯周組織検査結果の一部を表に示す。

適切な治療法はどれか。 1 つ選べ。
a 結合組織移植術
b 歯肉剝離搔爬術
c 遊離歯肉移植術
d 両側乳頭弁移動術
e 歯肉弁根尖側移動術


解答:a
解説:
ポケット:そこまで深くない
骨吸収:水平性骨吸収
歯歯肉退縮による根露出が目立つ。
歯肉退縮部を埋める処置はa結合組織移植術 c遊離歯肉移植術 d両側乳頭弁移動術
のどれか。
a 結合組織移植術:結合組織のみの移植なので審美性が高い
b 歯肉剝離搔爬術:ポケットの除去
c 遊離歯肉移植術:上皮と結合織を一塊で移植するため審美性に劣る
d 両側乳頭弁移動術:単独歯に使われる
e 歯肉弁根尖側移動術:歯周ポケットの除去
118回 A−78
80 歳の男性。下顎前歯部の動揺を主訴として来院した。 5 か月前から自覚し、1 か月前から動揺が強くなり、前歯で咬みづらくなったがそのままにしていたという。初診時の口腔内写真(別冊No. 26A)とエックス線画像(別冊No. 26B)を別に示す。歯周組織検査結果の一部を表に示す。



適切な対応はどれか。 3 つ選べ。
a 咬合調整
b 暫間固定
c 口腔清掃指導
d オーラルスクリーンの使用
e 局所薬物配送システム〈LDDS〉

解答:abc
解説:
ポケット:深くはないが出血してる。動揺はある。
骨吸収:前歯に水平性の骨吸収
a 咬合調整:動揺しているので当たらないようにする。
b 暫間固定:動揺を落ち着かせる。
c 口腔清掃指導:全体的に出血しているのでもう少しキレイに磨こう。
d オーラルスクリーンの使用:唇を閉鎖するための器具はいらない。
e 局所薬物配送システム〈LDDS〉:そこまでの炎症ではない。
118回 A−82
Gracey 型キュレットの操作法で正しいのはどれか。 2 つ選べ。
a ハンドルを執筆状に把持する。
b 歯根面へのフェイスの接触角を 30 度にする。
c 第 1 シャンクと歯軸のなす角度を 70 度にする。
d ポケット挿入時はフェイスと歯根面のなす角度を小さくする。
e カッティングエッジ中央部を歯根面に適合してストロークする。

解答:a d
解説:
持ち方⇒ペングリップ
第1シャンクは歯軸と平行にするのでcは0度。歯根面は70度くらい。
d ポケット挿入時はフェイスと歯根面のなす角度を小さくする。:○角度大きいと、歯肉を傷つける、危ない!
e カッティングエッジ中央部を歯根面に適合してストロークする。:先端3分の1を使って!先っぽを使うイメージ
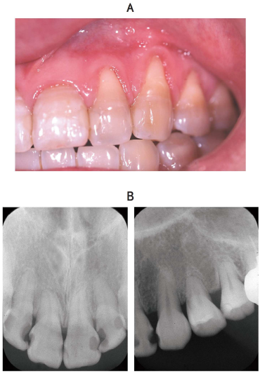
117回 A-29
骨縁下ポケットに適応されるのはどれか。 2 つ選べ。
a 新付着術
b 歯肉切除術
c 歯肉剝離搔爬術
d 歯周ポケット搔爬術
e 歯肉弁根尖側移動術

解答:c e
解説:
浅いポケットに適応なのはENAP新付着術と歯周ポケット掻爬術!歯肉切除術!なので答えは消去法的にce
骨縁下:骨を削るか再生させるかどっちか。
骨を削るパターン⇒フラップ手術、歯肉剥離掻爬術
117回 A-41
32 歳の女性。上顎左側側切歯の疲労時の違和感を主訴として来院した。打診痛
と根尖部歯肉の圧痛は認められない。プロービング深さは全周 3 mm 以内で、歯髄
電気診で生活反応を示した。初診時の口腔内写真(別冊No. 14A)とエックス線画像
(別冊No. 14B)を別に示す。

適切な対応はどれか。 1 つ選べ。
a 生活断髄
b 抜 髄
c 感染根管治療
d 根尖搔爬
e 抜 歯

解答:b
解説:
打診痛と根尖部歯肉の圧痛は認められない⇒根尖性歯周炎ではない
ポケットも3mm以内なので歯周炎ではない
生活反応もあることから歯髄は生きている。
内部吸収している。⇒治らない⇒ほうっておいても進行する⇒いずれ抜ける
歯髄が生きているので抜髄して内部吸収をとめる。
117回 A-56
42 歳の女性。上顎右側中切歯の動揺を主訴として来院した。 3 年前から気付い
ていたが 2 週前から動揺が大きくなってきたという。歯周基本治療後に 1 に歯周
外科手術を行うこととした。初診時のエックス線画像(別冊No. 21A)と歯周基本治
療後の口腔内写真(別冊No. 21B)を別に示す。再評価時の歯周組織検査結果の一部
を表に示す。


適切なのはどれか。 2 つ選べ。
a 骨移植術
b 歯肉切除術
c 結合組織移植術
d 歯肉弁側方移動術
e FGF-2 製剤の応用

解答:a e
解説:
ポケット:6mm 8mmと深い。
骨吸収:両側1番に垂直性骨吸収。
a 骨移植術 :骨吸収しているので〇
b 歯肉切除術:浅いポケットに適応
c 結合組織移植術:根面露出部に歯肉を移植。
d 歯肉弁側方移動術:×そこまで根面露出していない
e FGF-2 製剤の応用:線維芽細胞増殖因子により歯周組織(歯槽骨を含む)を再生できる。
117回 A-81
55 歳の男性。上顎右側臼歯部口蓋側からのブラッシング時の出血を主訴として
来院した。半年前から気付いていたが痛みがないのでそのままにしていたという。
患者の Brinkman 指数は 600 で、歯科受診をきっかけに 1 か月以内の禁煙開始を検
討している。初診時の口腔内写真(別冊No. 28A)とエックス線画像(別冊No. 28B)
を別に示す。歯周組織検査結果の一部を表に示す。

歯周治療にあたり、適切な対応はどれか。 3 つ選べ。
a 禁煙開始日を決定する。
b 禁煙補助薬を処方する。
c 色素沈着部位の歯面研磨を行う。
d 歯周治療への禁煙の効果を説明する。
e 低ニコチンタバコへの変更を勧める。

解答:a c d
解説:
ブリンクマン指数とは喫煙による人体への影響を予測する指標。ざっくりまとめると、
400以上:肺がんの危険性がある
600以上:肺がんの危険性が高度
1200以上:咽頭癌の危険性も高度
今、600なので肺がんの危険性が高い。
b:禁煙補助薬は処方薬なので医師しか無理。
117回 A-84
歯槽骨の欠損形態の検査に用いるのはどれか。 2 つ選べ。
a フレミタス
b アタッチメントレベル
c ボーンサウンディング
d 歯科用コーンビーム CT
e ウォーキングプロービング

解答:c d
解説:
a フレミタス:歯の動揺のこと
b アタッチメントレベル:歯周ポケットの検査
c ボーンサウンディング:浸潤麻酔の針を歯肉に刺して骨表面までの距離を直接測る方法
d 歯科用コーンビーム CT
e ウォーキングプロービング:グルーっと歯の周りを一周してポケットの深さを調べる
117回 B-8
急性化膿性根尖性歯周炎の骨内期にみられるのはどれか。 1 つ選べ。
a 瘻 孔
b 顔面腫脹
c 羊皮紙様感
d 温熱刺激による仏痛増大
e 歯周ポケットからの排膿

解答:d
解説:
急性化膿性根尖性歯周炎のステージ.炎症の広がり方を考える。根尖部から歯根膜に波及して骨の中に炎症が波及して骨膜までひろがり最終的に歯肉(粘膜)まで広がる。
歯根膜期:自発痛・打診・歯根膜腔拡大
骨内期:めっちゃ痛い
骨膜下期:めっちゃ痛い。一番症状がひどい。膿瘍、腫脹。膿瘍の羊皮紙様感。
粘膜下期:膿瘍が排出されるために痛みはまし。瘻孔・排膿。
117回 B-9
スケーリング・ルートプレーニングで使用する機器で空気感染のリスクが最も低
いのはどれか。 1 つ選べ。
a エアスケーラー
b 超音波スケーラー
c Er:YAG レーザー
d ルートプレーニング用バー
e Gracey〈グレーシー〉型キュレット

解答:e
解説:
水に含まれた唾液や血液が霧状のエアロゾルになって空気中に漂うので水を使わないもの。
a b dは水使う。レーザーは歯の水分が蒸発していくのでだめ。
117回 B-29
24 歳の女性。下顎右側中切歯の動揺を主訴として来院した。咬頭嵌合位で 1 に
フレミタスがみられた。初診時の口腔内写真(別冊No. 8A)とエックス線画像(別冊
No. 8B)を別に示す。初診時の歯周組織検査結果の一部を表に示す。


まず行うのはどれか。 2 つ選べ。
a 咬合調整
b 根面被覆
c 矯正歯科治療
d 口腔清掃指導
e スケーリング

解答:d e
解説:
フレミタス:噛んだ時の歯の動揺のこと。
右下1番が反対咬合になっているが、歯周炎が気になる。
骨吸収:あり。
歯周検査:ポケットはそれほど深くないが出血あり
なので歯周炎。まず歯周炎を治そう。
117回 B-40
50 歳の男性。上顎前歯部の腫脹を主訴として来院した。 1 年前から自覚してい
たがそのままにしていたという。歯周基本治療後の再評価の結果、エナメルマト
リックスタンパク質を用いた歯周組織再生療法を行うこととした。術中の口腔内写
真(別冊No. 12)を別に示す。再評価時の歯周組織検査結果の一部を表に示す。


次に行う処置はどれか。 1 つ選べ。
a 縫 合
b 根面処理
c 自家骨移植
d 不良肉芽組織除去
e スケーリング・ルートプレーニング

解答:b
解説:
スケーリング、SRPはもう終わっているのが写真から分かる。ceは終わっている状態。
根面処理⇒骨の再生を促すエムドゲインいわゆるゲル 、ゲルをセメント質・歯槽骨部分に塗布して歯周組織の再生をはかる。象牙質表面に歯周組織の形成を促す。
117回 B-52
遊離歯肉移植術の治療過程を示す。
口腔内消毒 → ① → ② → ③ → ④ → ⑤ → 歯周パック
②に入るのはどれか。 1 つ選べ。
ただし、①~⑤はa~eのいずれかに該当する。
a 浸潤麻酔
b 移植片の採取
c 移植片の調整
d 移植片の縫合
e 受容側の形成

解答:e
解説:
遊離歯肉移植術⇒受容側にペタって ぴったりのサイズの移植片を貼り付ける 術式
麻酔してから移植片を採取して調整して、需要側にはりつけて縫合。なので BCD の順番。
だから A の麻酔をしてから 需要側の形成をしてから移植片なのでAE BCD 。
117回 B-85
44 歳の女性。上下顎前歯部の歯肉腫脹とブラッシング時の出血を主訴として来
院した。 6 か月前から自覚していたがそのままにしていたという。初診時の口腔内
写真(別冊No. 31A)とエックス線画像(別冊No. 31B)を別に示す。初診時の歯周組
織検査結果の一部を表に示す。


スケーリング・ルートプレーニングによって下顎前歯部に起こり得るのはどれか。
4 つ選べ。
a 歯肉退縮
b 動揺度の増加
c 角化歯肉の増大
d 象牙質知覚過敏
e 歯間鼓形空隙の増加

解答:a b d e
解説:
ポケット⇒深い、歯石も見られる
骨吸収⇒水平性骨吸収
a 歯肉退縮 ⇒歯周病も進んでいて現在歯肉が腫脹している。SRPにより腫れがおさまり歯肉退縮が見られる
b 動揺度の増加 ⇒歯石を取ると歯石で支えられていた分がなくなるので動揺する
c 角化歯肉の増大 ⇒歯周病によって失われてしまった…。腫れがひくと歯肉退縮が見られる
d 象牙質知覚過敏 ⇒歯肉退縮によりセメント質が露出
e 歯間鼓形空隙の増加 ⇒歯肉退縮による
117回 C-1
歯肉炎と歯周炎を鑑別する所見はどれか。 1 つ選べ。
a 歯肉腫脹
b 歯肉出血
c 歯肉の発赤
d 真性ポケット
e スティップリング

解答:d
解説:
歯肉炎は歯肉の腫脹なので仮性ポケット。
歯周炎は付着歯肉喪失のため真性ポケット。
e スティップリング とは健康な付着歯肉にあるくぼみのこと。
117回 C-28
38 歳の女性。下顎左側第一小臼歯の咬合痛と違和感を主訴として来院した。10
か月前から自覚していたがそのままにしていたという。歯周基本治療後の再評価の
結果、FGF-2 製剤を応用した歯周組織再生療法を行うこととした。初診時の口腔
内写真(別冊No. 7A)とエックス線画像(別冊No. 7B)を別に示す。初診時の歯周組
織検査結果の一部を表に示す。

舌 側* 3 3 ④ ④ 4 ⑨ ⑤ ③ ④
歯 種 3 4 5
頰 側* 3 3 ③ ④ ④ ⑩ ⑤ ④ ④
動揺度** 0 1 0
- :プロービング深さ(mm)
〇印:プロービング時の出血
** :Miller の判定基準
歯周組織再生療法に先立って行う処置はどれか。 1 つ選べ。
a 暫間固定
b 小帯切除術
c 感染根管治療
d オドントプラスティ
e 局所薬物配送システム〈LDDS〉

解答:c
解説:
歯周病の問題は ポケットの深さ、骨吸収度合い をチェック!
左下4番が10㎜と深すぎる。遠心も垂直性骨級が目立つ。
というか、根尖の透過像とポケットが繋がっている。歯根膜腔も拡大しているので根尖性歯周炎だと思われる。
⇒歯髄が死んでいる⇒感染根管治療
117回 C-42
歯周組織再生療法で GTR 膜の所要条件はどれか。 3 つ選べ。
a 骨形成能
b 細胞遮断性
c 生体親和性
d 幹細胞の増殖促進
e 歯肉線維との結合

解答:b c e
解説:
メンブレン(人工膜)を挿入して歯周組織の再生を誘導する。
⇒歯肉の侵入を防いで歯周組織が再生するスペースを確保する⇒放っておくと歯肉が再生するスピードが骨よりも早いので歯肉が入らないようにして骨組織を先に再生させる。膜の上部で歯肉と結合して歯肉が入り込まないようにしている。
117回 C-49
下顎右側中切歯の自発痛と歯肉の腫脹で来院した患者の口腔内写真(別冊No. 17
A)とエックス線画像(別冊No. 17B)を別に示す。プロービング深さは遠心唇側で
5 mm であった。
適切な対応はどれか。 1 つ選べ。
a PMTC
b 歯肉切除
c 新付着術
d 歯周ポケット搔爬術
e 局所薬物配送システム〈LDDS〉


解答:e
解説:
歯周治療はポケット深さ骨吸収度を見る。
5mm⇒若干深い。
水平線の骨吸収。
右下1番の歯肉のところにポコッと膨らんでいる膿瘍があるが、痛みと腫れが主訴なのでここの処置をしなくてはいけない。
なので局所薬物配送システムLDDSが有効。
117回 C-55
76 歳の女性。上顎前歯部のブラッシング時の出血を主訴として家族と来院した。
半年前から気付いていたが痛みがないためそのままにしていたという。 2 年前に
Alzheimer 型認知症と診断され近医を受診しているという。 2 週前に受診した際の
検査結果は、認知症高齢者の日常生活自立度でⅡbであった。歯周組織検査の結
果、慢性歯周炎と診断し、歯周基本治療を行った。歯周基本治療後の再評価時の口
腔内写真(別冊No. 22A)とエックス線画像(別冊No. 22B)を別に示す。歯周基本治
療後の再評価結果の一部を表に示す。


適切な対応はどれか。 3 つ選べ。
a PTC
b フラップ手術
c FGF-2 製剤の応用
d 同居家族への口腔清掃指導
e スケーリング・ルートプレーニング

解答:a d e
解説:
自立度Ⅱは日常生活に支障をきたす症状や意思疎通の困難さが多少あるが誰かが注意していれば自立できる状態。Ⅱbは家庭内でも症状が見られる状態。
b cの外科的処置は難しいと思われる。
PMCとPMTCの違い⇒PMTCはコントラを使う。専門の器具を使う。
117回 C-65
7 歳の男性。下顎右側第一大臼歯の歯肉腫脹を主訴として来院した。 3 日前に
激しい痛みを認めたが、昨日から軽減してきたという。軽度の打診痛があるが自発
痛はない。初診時の口腔内写真(別冊No. 25A)とエックス線画像(別冊No. 25B)を
別に示す。初診時の歯周組織検査結果の一部を表に示す。


- :プロービング深さ(mm)
〇印:プロービング時の出血
** :Miller の判定基準
右下6 に行うのはどれか。 2 つ選べ。
a 歯根分割
b 歯肉切除
c 感染根管治療
d 歯根尖切除法
e ヘミセクション

解答:c e
解説:
歯周病の問題は ポケット深さ と 骨吸収度
ポケットは9mm8mmと深い。出血あり。
根尖にも透過像があり、近心のポケットと根尖の透過像がつながっている⇒保存は難しい。
近心根は根管治療しても治らなさそうだが、遠心根は残したい。でも、膿瘍があるのでもう一度根管治療してみる。
117回 C-67
54 歳の女性。上顎右側側切歯のブラッシング時の痛みと審美不良を主訴として
来院した。 2 年前から自覚していたがそのままにしていたという。歯周基本治療後
の再評価の結果、プロービング深さはすべて 3 mm 以下であったが、症状が改善さ
れなかったため、歯周外科治療を行うこととした。初診時の口腔内写真(別冊
No. 27A)と術中の口腔内写真(別冊No. 27B)を別に示す。
この術式はどれか。 1 つ選べ。

a 小帯切除術
b 結合組織移植術
c 口腔前庭拡張術
d 歯肉剝離搔爬術
e 遊離歯肉移植術

解答:b
解説:
右上2をフラップをめくっている状態。
結合組織移植術、遊離歯肉移植術のどちらか。
結合組織移植術は結合組織だけペタっと貼る。
遊離歯肉移植術は上皮ごとぺたって貼るのでフラップはいらない。
Bの写真に切開線が入っていることからこのフラップに何かおいてくるのはbの結合組織移植術。
117回 D-27
エナメルマトリックスタンパク質の使用目的はどれか。 2 つ選べ。
a 血管新生
b 固有歯槽骨再生
c 歯肉結合組織増殖
d 接合上皮根尖側移動
e 無細胞セメント質形成

解答:b e
解説:
エナメルマトリックスタンパク、つまりエムドゲインのことです。
セメント質を作ると覚えてください。
無細胞セメント質の形成と固有歯槽骨の再生は正解。
歯肉結合組織の増殖はGTR法でできます。
117回 D-89
食事しづらいことを訴えて来院した患者の口腔内写真(別冊No. 34A)とエックス
線画像(別冊No. 34B)を別に示す。 5 年前に近医で部分床義歯を製作し使用してい
たが、 1 か月前に紛失したという。歯周組織検査の結果、重度慢性歯周炎と診断
し、歯周基本治療を開始することとした。
まず行うのはどれか。 1 つ選べ。
a 部分矯正
b 舌の突出癖の改善
c 歯周ポケット搔爬術
d 歯周治療用装置の製作
e 上顎前歯部のブリッジ製作
f 局所薬物配送システム〈LDDS〉


解答:d
解説:
これは咬めていない…。
歯周病検査はないがおそらく揺れている…
ほぼ前歯しかなくて前歯部だけの咬合のところは揺れている可能性が高い。
⇒そのままにしても治らない
⇒外傷性咬合を治したい
⇒咬合圧を分散させたい。かめるところを作りたい。
⇒デンチャー入れよう!
⇒c 歯周治療用装置の製作。これがデンチャーのことで最終の義歯ではなく治るかどうかを見るための義歯。無事に治ったら新しい義歯を作ればいい。
116回 A-11
歯周病の第一次予防でプロフェッショナルケアはどれか。 1 つ選べ。
a スケーリング
b 生活習慣の改善
c フッ化物歯面塗布
d 歯周病に関連する広報
e デンタルフロスの使用

解答:a
解説:
フッ化物紙面塗布⇒う蝕に対して
116回 A-12
象牙質知覚過敏症の好発部位はどれか。 2 つ選べ。
a 咬頭頂
b 歯頸部
c 隣接面
d 小窩裂溝
e 露出根面

解答:b e
解説:
b 歯頚部⇒くさび状欠損なども知覚過敏の原因。象牙質の象牙細管が露出しているのが原因。
e 露出根面⇒セメント質が露出している。
116回 A-28
71 歳の男性。上顎左側第一大臼歯の歯肉腫脹を主訴として来院した。自発痛は
ないが、軽度の咬合痛があるという。初診時の口腔内写真(別冊No. 5A)とエック
ス線画像(別冊No. 5B)を別に示す。

診断に必要なのはどれか。 3 つ選べ。
a 温度診
b 麻酔診
c 歯髄電気診
d プロービング
e レーザー蛍光強度測定

解答:a c d
解説:
bの麻酔診は痛みが分からなくなるのでだめ。
eのレーザー蛍光強度測定はう蝕を調べるため。
116回 A-32
歯周炎患者の口内法エックス線画像からわかるのはどれか。 1 つ選べ。
a 根面溝
b エナメル突起
c 垂直性骨吸収
d 生物学的幅径
e Glickman の分類

解答:c
解説:
根面溝もエナメル突起も根分岐部に見られる。
Glickmanの分類はプローブが貫通するかどうかで判断する。
生物学的幅径:歯槽骨頂から歯肉溝底部までの歯肉の付着幅のこと
116回 A-75
51 歳の女性。下顎右側小臼歯部の歯肉の出血と違和感を主訴として来院した。
3 か月前から自覚していたがそのままにしていたという。歯周基本治療後の再評価
の結果、歯周外科治療を行うこととした。歯周基本治療後の口腔内写真(別冊
No. 26A)とエックス線画像(別冊No. 26B)を別に示す。再評価時の歯周組織検査
結果の一部を表に示す。


4 に行う処置で適切なのはどれか。 2 つ選べ。
a 骨移植術
b 新付着術
c 歯肉切除術
d 歯肉剝離搔爬術
e 歯周ポケット搔爬術

解答:a d
解説:
歯周ポケット:7mmと深い
骨吸収:水平性の骨吸収が見られる。とくに4番は垂直性の骨吸収
bの新付着術とeの歯周ポケット掻把術は浅いポケットに適応
cの歯肉切除術は歯肉は盛り上がっていないため適応外。
aの骨移植術で骨を増やしdの(歯肉剥離掻把術)フラップ手術を行う。
116回 B-6
アタッチメントロスがみられるのはどれか。 1 つ選べ。
a 類天疱瘡
b 二次性咬合性外傷
c 遺伝性歯肉線維腫症
d 壊死性潰瘍性歯肉炎
e アスコルビン酸欠乏性歯肉炎

解答:b
解説:
アタッチメントロス⇒歯周病によって骨がなくなっている状態
bの二次性咬合性外傷とは二次性というところからすでに歯周病になっているところに咬合力がかかり歯肉上皮とセメント質の付着位置がどんどん深くなってしまう状態。
cdeは歯肉炎の状態。
aは粘膜疾患
116回 B-35
暫間固定を行う下顎前歯部の口腔内写真(別冊No. 11A)とエックス線画像(別冊
No. 11B)を別に示す。

適切な方法はどれか。 1 つ選べ。
a 連結前装冠
b 舌面板接着固定
c プロビジョナル固定
d ワイヤーレジン固定
e エナメルボンディングレジン固定

解答:e
解説:
写真から→叢生や捻転がみられる。
a 連結前装冠→× 永久固定に使う
b 舌面板接着固定→叢生では難しい
c プロビジョナル固定→Tekのこと。→削る→前装冠が前提で暫間ではない
d ワイヤーレジン固定→叢生では難しい
e エナメルボンディングレジン固定→隣在歯同士を固定
116回 B-51
53 歳の男性。上顎右側第一小臼歯の違和感を主訴として来院した。 3 か月前か
ら自覚していたがそのままにしていたという。 4 は歯髄電気診で生活反応を示さ
なかった。検査の結果、慢性歯周炎と診断し、歯周基本治療を行うこととした。初
診時の口腔内写真(別冊No. 18A)とエックス線画像(別冊No. 18B)を別に示す。
歯周組織検査結果の一部を表に示す。


まず行うのはどれか。 2 つ選べ。
a 暫間固定
b 感染根管治療
c 口腔清掃指導
d フッ化物歯面塗布
e スケーリング・ルートプレーニング

解答:b c
解説:
ポケット:8mm、出血ありと深い。
骨吸収:垂直性骨吸収がみられる。
歯髄電気診→歯髄が死んでいる。
X線画像から感染根管治療されていないのが分かる。
以上のことから感染根管治療が適当。
「まず」と書いてあったら口腔清掃指導や口腔清掃 を選ぶ!写真から着色も多いので清掃指導は必要。
eのSRPで迷うが、まずは主訴の改善と口腔清掃指導をしてから、SRP。
116回 B-62
歯石の探知で有効なのはどれか。 3 つ選べ。
a 視 診
b 触 診
c 打 診
d 透照診
e エックス線撮影

解答:a b e
解説:
a 視 診:見てわかる
b 触 診:カリカリする
c 打 診:根尖病巣をみる
d 透照診:隣接面のカリエスをみる
e エックス線撮影:うつる
116回 B-65
歯周形成手術の術前と術中の口腔内写真(別冊No. 24)を別に示す。

この術式が遊離歯肉移植術と比較して優れているのはどれか。 3 つ選べ。
a 移植片の生着
b 歯肉色の調和
c 採取部位の治癒
d 口腔前庭の拡張
e 歯間乳頭歯肉の増大

解答:a b c
解説:
歯肉弁移植術。有茎弁を使う。
★有茎弁と遊離歯肉弁の違い:有茎弁は組織と完全に切りはなさずに血流をそのままで移植先に固定できる。
e 歯間乳頭歯肉の増大:触っていない。二つに有意な差はない。
116回 B-71
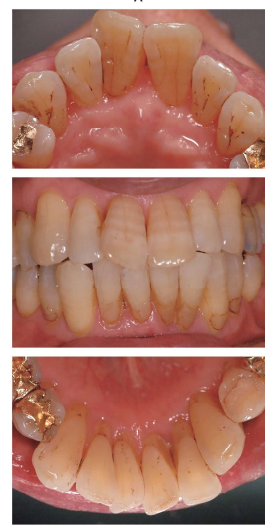
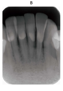
49 歳の女性。下顎左側第一大臼歯のブラッシング時の出血と痛みを主訴として
来院した。 4 か月前から自覚していたがそのままにしていたという。歯周基本治療
後の再評価の結果、プロービング深さが全周 3 mm 以下となり、補綴処置を行うこ
ととした。初診時の口腔内写真(別冊No. 28)を別に示す。

6 に行う補綴前処置で適切なのはどれか。 1 つ選べ。
a 新付着術
b フラップ手術
c 遊離歯肉移植術
d 歯肉弁側方移動術
e 歯肉弁歯冠側移動術

解答:c
解説:
根面露出している。⇒cかdかe。
deは有茎弁を使う。隣在歯の付着歯肉(歯肉の白っぽいところ)が少ないのが分かる。なので有茎弁をもってこれない。なのでcが答え。
116回 C-9
ステージとグレードによる歯周病の分類でステージの基準になるのはどれか。
1 つ選べ。
a 喫 煙
b 糖尿病
c 歯の喪失
d 骨吸収の経年変化
e バイオフィルムの蓄積

解答:c
解説:
ステージ:CAL クリニカルアタッチメントレベル、歯の喪失、X線画像での骨吸収
グレード:骨吸収もしくはCALの経年変化、骨吸収/年齢、バイオフィルムの蓄積、喫煙、糖尿病
c以外はグレード
116回 C-12
根面被覆を目的とする有茎弁移動術はどれか。 1 つ選べ。
a 歯冠長延長術
b 口腔前庭拡張術
c 遊離歯肉移植術
d 歯肉弁側方移動術
e 歯肉弁根尖側移動術

解答:d
解説:
有茎弁移動術⇒血管がたくさんあるフラップ弁を違う部位に血管を切り離すことなくもっていく術式
遊離歯肉移植術⇒フラップ弁を完全に取り去って移植する。
a 歯冠長延長術:歯冠の高さを得るためにする。切開したら歯肉弁の切端を根尖に移動する。
b 口腔前庭⇒歯肉の唇側・頬側の部分
c 遊離歯肉移植術:遊離は×、
d 歯肉弁側方移動術
e 歯肉弁根尖側移動術:歯周ポケットの除去を目的としているのでポケットの深い部分の遊離歯肉を除去する。有茎弁を使用するが根面を被覆していないので×
116回 C-29
口腔内写真(別冊No. 7)を別に示す。矢印で示す歯肉退縮の原因と考えられるの
はどれか。 2 つ選べ。

a 口呼吸
b 歯肉炎
c 食片圧入
d 歯の位置異常
e 不適切なブラッシング

解答:d e
解説:
右下23番に歯根露出が見られる。
a 口呼吸:上下ともに唇側傾斜気味になるけどそれはみられない。
b 歯肉炎:そこまでではない。ここだけ歯肉炎にしては局所過ぎる。
c 食片圧入:歯間がきついので、隙間もなさそう。
d 歯の位置異常:唇側転位による咬合性外傷が考えられる。
e 不適切なブラッシング:圧が強いと歯肉退縮がおこる。
116回 C-45
74 歳の男性。歯肉からの出血を主訴として来院した。数年前から気付いていた
がそのままにしていたという。歯周基本治療後に上顎右側犬歯と第一小臼歯に歯周
外科手術を行うこととした。初診時のエックス線画像(別冊No. 16A)と再評価時
の口腔内写真(別冊No. 16B)を別に示す。再評価時の歯周組織検査結果の一部を
表に示す。


適切なのはどれか。 3 つ選べ。
a 骨移植術
b 歯肉切除術
c FGF-2 製剤の応用
d 歯肉弁根尖側移動術
e Widman 改良フラップ手術

解答:a c e
解説:
ポケット:8mm出血と深い。
骨吸収:水平性骨吸収
左上34に特に垂直性の骨吸収。
b 歯肉切除術:浅いポケットに適応なので×
d 歯肉弁根尖側移動術:根面露出はない
a 骨移植術
c FGF-2 製剤:線維芽細胞増殖因子、歯周組織再生剤
e Widman 改良フラップ手術:ウィドマン。深いポケットの付着歯肉を増やすために歯石の除去をする。
116回 C-52
フラップ手術の治療過程を示す。
浸潤麻酔 ⇒① ⇒② ⇒ ③ ⇒ ④ ⇒ ⑤ ⇒ 縫合
④に入るのはどれか。 1 つ選べ。
ただし、①~⑤はa~eのいずれかに該当する。
a 切 開
b 剝 離
c 肉芽除去
d ボーンサウンディング
e スケーリング・ルートプレーニング

解答:c
解説:
dabceの順。
d:ボーンサウンディング:注射針で骨表面までの距離を測る
a:切開する
b:剥離する。骨から歯肉を剥離して歯肉弁を形成する
c:肉芽組織の除去
e:SRP
縫合。
以上により上皮性付着を獲得する。
116回 C-71
43 歳の女性。下顎左側第二大臼歯遠心歯肉の腫れを主訴として来院した。 1 年
前から自覚していたがそのままにしていたという。歯周基本治療後の再評価の結
果、GTR 法を行うこととした。術中の口腔内写真(別冊No. 28A)、エックス線画
像(別冊No. 28B)及び切開線の写真(別冊No. 28C)を別に示す。再評価時の歯周
組織検査結果の一部を表に示す。



写真に示す切開線で適切なのはどれか。 1 つ選べ。
a ア
b イ
c ウ
d エ
e オ

解答:a
解説:
GTR法⇒GTRメンブレンを歯肉の内側に入れて覆い、歯周組織が再生するスペースを確保する→骨を歯肉より先に再生させる。切開線が少ない方がGTRを入れるところに歯肉が入らないしゴミも入らないし歯肉弁(メンブレンを押さえつける)で閉じやすい。
イウエ:ディスタルウェッジという切開法。歯肉が分厚い時に使う。今回はGTR法なのでイウエは切開線で囲まれたところの歯肉がなくなってしまうのでNG
オ:舌側内側に切開後がのびているのは舌動脈を傷つける可能性があるのでNG。
116回 C-72
52 歳の男性。上顎左側第一小臼歯の冠が外れたことによる咀嚼困難を主訴とし
て来院した。クラウンは数年前に装着し、 1 週前に脱離したという。 4 は垂直打
診に反応を示す。患者は金属色の見えない歯冠修復を希望している。初診時の口腔
内写真(別冊No. 29A、B)とエックス線画像(別冊No. 29C)を別に示す。歯周組
織検査結果の一部を表に示す。


左上 4 への前処置と修復法の組合せで適切なのはどれか。 1 つ選べ。


解答:d
解説:
CのX線より⇒左上4番は垂直に割れている。治療で残すことは難しいので抜歯。
レジン前装冠ブリッジ:金属が口を開けると見えてしまうので適さない。
116回 C-82
2 歳の女性。下顎右側第一大臼歯の修復物の脱離を主訴として来院した。昨
日、脱離したという。痛みや歯肉腫脹はない。初診時の口腔内写真(別冊No. 35
A)とエックス線画像(別冊No. 35B)を別に示す。歯周組織検査結果の一部を表に
示す。


口腔清掃指導後、 右下6 にまず行う処置はどれか。 1 つ選べ。
a 暫間固定
b 歯根尖切除
c 感染根管治療
d ヘミセクション
e スケーリング・ルートプレーニング

解答:c
解説:
ポケット:11㎜出血あり。6番は動揺もひどい。
6番の根分岐病変だがリンデの分類2度はプローブが3分の1以上入る状態。
X線画像:根尖病巣があることから歯髄は失活している。
「まず」なので失活した歯髄を何とかしよう。なので感染根管治療。のちに、回復が見られなかったら近心根のヘミセクション。
116回 D-26
歯周治療に用いるエナメルマトリックスタンパク質について正しいのはどれか。
2 つ選べ。
a 酸性で不溶化する。
b 主成分はエナメリンである。
c 上皮細胞の増殖を促進する。
d セメント質形成を促進する。
e 歯胚から抽出した生物由来材料である。

解答:d e
解説:
エナメルマトリックス⇒エムドゲインのこと。幼若ブタの歯胚から抽出。精製されたエナメル基質タンパク。セメント質、歯槽骨の形成に重要な役割をしている。
a 酸性で不溶化する。:×生物的条件下で中性。不溶化エナメルマトリックスタンパクのもつハイドロキシアパタイトに吸着する。なので歯根表面に不溶化被膜を形成することができる。
b 主成分はエナメリンである。:エナメリンはエナメル質のタンパク質。正解はアメロゲニン
c 上皮細胞の増殖を促進する。:×抑制される。
116回 D-39
54 歳の男性。上顎右側前歯部の動揺を主訴として来院した。 6 か月前から気付
いていたがそのままにしていたという。歯周基本治療後に症状が改善されなかった
ためフラップ手術を行い、骨欠損形態と根面の状態を確認した。術中の口腔内写真
(別冊No. 8)を別に示す。歯周基本治療後の再評価時の歯周組織検査結果の一部を
表に示す。


術中の所見を踏まえ、次に行う処置はどれか。 2 つ選べ。
a 根面処理
b 歯肉整形
c 自家骨移植
d 口蓋裂溝の除去
e スケーリング・ルートプレーニング

解答:d e
解説:
術中の写真はフラップを開けたところ。
d 口蓋裂溝の除去⇒歯根にみられる縦の溝のこと。裂溝に沿って深い歯周ポケットが形成される。
116回 D-55
内斜切開で行う切除療法はどれか。 1 つ選べ。
a GTR 法
b 新付着術
c 歯肉切除術
d 歯肉剝離搔爬術
e 歯肉弁根尖側移動術

解答:e
解説:
切除療法⇒歯周ポケットを切除することによってポケットを浅くする療法。
abdは病的なところの歯肉を除去して歯肉を剥がして戻す治療。これは切除療法と言わない。
a GTR 法
b 新付着術:内斜切開(スケーリング・ルートプレーニングで炎症を抑える)
c 歯肉切除術:外斜切開。これは切除療法!!
d 歯肉剝離搔爬術:内斜切開
e 歯肉弁根尖側移動術:内斜切開で上皮が骨膜にしっかりひっつくように切り取る。
116回 D-57
85 歳の男性。上顎右側臼歯口蓋側のブラッシング時の出血を主訴として歯科訪
問診療の依頼があった。 5 年前から家族同行でかかりつけ歯科医へ通院していた
が、 6 か月前に脳梗塞を発症し、意識障害があり、寝たきり状態であるという。口
腔清掃は全介助である。初診時の口腔内写真(別冊No. 20A)とエックス線画像(別
冊No. 20B)を別に示す。歯周組織検査結果の一部を表に示す。


適切な対応はどれか。 3 つ選べ。
a PTC
b 洗口剤使用の指導
c 手用スケーラーの使用
d 介助者への口腔清掃指導
e 局所薬物配送システム〈LDDS〉

解答:a c d
解説:
ポケット深さ:そこまで深くはないが出血がみられる
骨吸収度:ほぼ見られない
歯肉炎くらいの状態?
a PTC:歯科医院での清掃のこと。PMTCのMはMechanical。 つまり機械を用いた清掃のこと。
b 洗口剤使用の指導:洗口剤では改善しない。
c 手用スケーラーの使用
d 介助者への口腔清掃指導
e 局所薬物配送システム〈LDDS〉:テトラサイクリン系の抗生物質を直接ポケットに入れること。そこまで炎症はひどくない。スケーリング・ルートプレーニングの後、ペリオクリンを入れることが多い。
116回 D-60
79 歳の男性。上顎前歯部口蓋側歯肉の疼痛を主訴として来院した。10 年以上に
わたり就寝時に義歯を使用していたが、 1 年前から家族の助言で夜間は外すように
したところ、 1 か月前から上顎前歯の動揺と起床時の痛みを感じるようになったと
いう。初診時の口腔内写真(別冊No. 22A)、義歯装着時の口腔内写真(別冊No. 22
B)及びエックス線画像(別冊No. 22C)を別に示す。初診時の歯周組織検査結果の
一部を表に示す。


主訴の改善のためにまず行うのはどれか。 1 つ選べ。
a 下顎前歯部の削合
b 就寝時の義歯装着
c 上顎左側側切歯の歯冠補綴
d 所有している義歯を用いた咬合挙上
e スケーリング・ルートプレーニング

解答:b
解説:
歯周ポケット⇒5mm、出血ありと若干の歯周病
骨吸収⇒水平性骨吸収
残存歯に負荷がかかっている状態。動揺もしている。
⇒夜間に負担がかかっているのかも?歯ぎしり?なのでbで様子を見る。
116回 D-76
プラークリテンションファクターはどれか。 3 つ選べ。
a 歯 石
b 歯列不正
c 舌突出癖
d エナメル突起
e ブラキシズム

解答:a b d
解説:
プラークコントロールについて。
プラークの蓄積やプラークコントロールを行いにくくする環境の要因、つまり歯磨きしにくい環境(歯の形態とか)のこと。
ceは関係ない。
114回 A-4
一次性咬合性外傷にみられるのはどれか。1つ選べ。
a 歯肉退縮
b 歯槽骨吸収
c 歯周ポケット
d アブフラクション
e アタッチメントロス

解答:d
解説:
一次性咬合性外傷:健全な歯周組織の歯に過度な咬合力がかかり歯周組織に外傷ができること
二次性咬合性外傷:歯周炎の進行によって機能が減少している歯周組織に正常な咬合力であっても外傷が生じている状態
アブフラクション⇒くさび状欠損のこと。ブラキシズムや食いしばりによって歯が欠損することによって起こる。これこそが一次性。
114回 A-15
歯列の部分欠損に伴う一次性障害はどれか。1つ選べ。
a 関節雑音
b 咬頭干渉
c 食片圧入
d 早期接触
e 発音障害

解答:e
解説:
①一次性障害⇒喪失とともに生じる障害(すぐ起こることが多い障害)
②二次性障害⇒喪失後に口腔内で起こる障害(しばらくして起こる)。歯の位置の変化、歯列の変化により食片圧入やう蝕や歯周炎を引き起こす
③三次性障害⇒喪失後に口腔外で起こる障害(口腔外)
a 関節雑音:③
b 咬頭干渉:②
c 食片圧入:②
d 早期接触:②
e 発音障害:①
114回 A-34
ペリクルで正しいのはどれか。2つ選べ。
a 口腔微生物を含む。
b 形成に 12 時間以上を要する。
c エナメル質の脱灰を抑制する。
d 唾液由来の糖タンパク質を主成分とする。
e 通常のブラッシングで容易に除去できる。

解答:c d
解説:
ペリクル⇒歯の表面にできる薄い膜状のもの。唾液由来の糖たんぱくがある。
a 口腔微生物を含まない。
b 唾液に触れるとすぐに形成される
c エナメル質の脱灰を抑制する。→〇酸の透過を抑制する。
d 唾液由来の糖タンパク質を主成分とする。⇒〇口腔細菌が歯に吸着するための足掛かり。
e 通常のブラッシングで容易に除去できる。⇒×唾液に触れるとすぐにできる。
114回 A-50
44 歳の男性。下顎左側臼歯部の違和感を主訴として来院した。9年前に stageⅠ
の舌癌の治療を受けたが、現在まで再発はない。歯周基本治療後の再評価の結果、
歯周外科治療を行うこととした。初診時の口腔内写真別冊No. 17A とエックス線
画像別冊No. 17B を別に示す。再評価時の歯周組織検査結果の一部を表に示す。


適切な治療法はどれか。2つ選べ。
a 骨移植術
b FGF-2 製剤の応用
c 歯周ポケット搔爬術
d 歯肉弁根尖側移動術
e エナメルマトリックスタンパク質の応用

解答:a e
解説:
ポケット深さ:6mm、出血ありと深い
骨吸収度:7番に垂直性骨吸収がみられる
a 骨移植術:垂直性骨吸収が見られるので〇
b FGF-2 製剤の応用:脳下垂体の線維芽細胞増殖因子で歯周組織の再生をする。ガンが口腔内にあれば使えない。
c 歯周ポケット搔爬術:浅いポケットに適用
d 歯肉弁根尖側移動術:歯根露出に適用
e エナメルマトリックスタンパク質の応用:エムドゲインのこと。歯周組織を再生する。エナメルタンパク質のアメロゲニンである。〇
114回 A-62
歯肉退縮に対して行う歯周外科治療はどれか。3つ選べ。
a 口腔前庭拡張術
b 遊離歯肉移植術
c 歯肉弁側方移動術
d 歯肉結合組織移植術
e 歯肉弁根尖側移動術

解答:b c d
解説:
a 口腔前庭拡張術:関係ない
b 遊離歯肉移植術
c 歯肉弁側方移動術:歯肉弁を剥離して有茎弁を移動させる。
d 歯肉結合組織移植術:結合組織を剥離して移植する
e 歯肉弁根尖側移動術:根尖に移動したら余計にひどくなる×
114回 A-74
28 歳の妊娠 20 週の女性。ブラッシング時の出血を主訴として来院した。全身疾
患やつわりはないという。口腔清掃には歯ブラシのみを使用している。初診時の口
腔内写真別冊No. 31 を別に示す。母子健康手帳に記載した内容の一部を図に示
す。


患者への説明で適切なのはどれか。3つ選べ。
a 「前歯の歯ぐきが腫れています」
b 「歯ブラシは硬めのものを選んでください」
c 「デンタルフロスの使い方を練習しましょう」
d 「母体に影響があるため、歯石除去は出産後になります」
e 「バランスの良い食事をとるように心がけてください」

解答:a c e
解説:
a 「前歯の歯ぐきが腫れています」:口腔内写真より
b 「歯ブラシは硬めのものを選んでください」:歯肉炎があると痛いので×
d 「母体に影響があるため、歯石除去は出産後になります」:20週目は安定期なので今でもOK
114回 A-76
17 歳の男子。上顎左側側切歯の咬合痛と歯肉腫脹を主訴として来院した。昨夜
から激しい痛みがあるという。 には強い打診痛があり、腫脹部に波動を触れる。
プロービング深さは全周mm 以下であった。初診時の口腔内写真別冊No. 32A
とエックス線画像別冊No. 32B を別に示す。

初診時の対応で適切なのはどれか。3つ選べ。
a 咬合調整
b 骨の穿孔
c 根尖搔爬
d 膿瘍切開
e 抗菌薬投与

解答:a d e
解説:
波動が触れることから⇒膿瘍
ポケット3mm以下⇒OK
打診痛とX線写真より根尖部に透過像⇒急性化膿性根尖性歯周炎
a 咬合調整:咬合痛、打診痛があるので必要
d 膿瘍切開
e 抗菌薬投与 deで炎症をおさえる。
114回 A-89
89 歳の男児。ブラッシング指導を希望して保護者と来院した。初診時の歯垢染色
後の口腔内写真別冊No. 39A とその結果のチャート別冊No. 39B を別に示す。
OʼLeary の PCR を求めよ。

ただし、小数点以下の数値が得られた場合には、小数点以下第位を四捨五入すること。
解答: ① ② %

解答:50
解説:
PCR= プラークがついた歯面数 / 被験歯面数=40/ 20歯×4面=50
DH 32回 午前19
歯周病の第一次予防と第二次予防の両方で行うのはどれか。1 つ選べ。
a 暫間固定
b 歯周外科治療
c スケーリング
d ルートプレーニング

解答:c
解説:
第一次予防⇒健康増進、特異的予防 PMTC、スケーリング
第二次予防⇒早期発見・早期治療、機能障害の防止 ルートプレーニング、暫間固定、歯周外科治療、抜歯
第三次予防⇒リハビリ 補綴、矯正
DH 32回 午前21
歯頸部に付着したプラークの模式図を示す。

①と比べて②で多い細菌の特徴はどれか。2 つ選べ。
a 好気性である
b 内毒素を含む
c 糖発酵性をもつ
d タンパク質分解酵素を産生する

解答:b d
解説:
①は好気性菌、②は嫌気性菌が多い。
a 好気性である:×
b 内毒素を含む:グラム陰性菌はない毒素をもつものが多い。
c 糖発酵性をもつ:発酵性とは糖を分解して酸を発生することをいう。虫歯菌に多い特徴。
d タンパク質分解酵素を産生する:ジンジバリスはジンジパインというタンパク質分解酵素を産生する。
DH 32回 午前38
44歳の男性。全顎的な歯肉の腫脹を主訴として来院した。高血圧症に対する投薬が始まってから、上顎右側小臼歯部の歯間清掃がしにくくなったという。
薬物性歯肉炎と診断され、歯周治療が開始された。再評価時の歯周組織検査結果の一部(別冊午前No.4)と、行った歯周外科治療の術前、術中、術後の口腔内写真(別冊午前No.5 A、B、C)を別に示す。


行ったのはどれか。1つ選べ。
a 新付着術
b 歯肉切除術
c 歯肉根尖側移動術
d 歯周ポケット掻把術

解答:b
解説:
薬物性歯肉炎による歯肉増殖である⇒歯肉切除術
★薬物性歯肉炎
フェニトイン(抗てんかん薬)、ニフェジピン(高血圧の薬)、シクロスポリン(免疫抑制剤)などがある。
DH 32回 午前40
髄床底に穿孔を認めた下顎左側第一大臼歯に根管治療後、外科的歯内療法を実施した。
術前術後の口腔内写真(別冊午前No.6 A、B)を別に示す。

この治療法はどれか。1つ選べ。
a 根尖切除
b 歯根切断
c 歯根分離
d ヘミセクション

解答:c
解説:
歯根を切断しているわけでもヘミセクション(片方の根だけ抜歯)しているわけでもない。
DH 32回 午前41
48歳の女性。歯肉からの出血と口唇の乾燥を主訴として来院した。
初診時の口蓋側面観の口腔内写真(別冊午前No. 7)を別に示す。

矢印が示す特徴と関連の強いのはどれか。1つ選べ。
a 口呼吸
b 食片圧入
c 不正咬合
d 咬合性外傷

解答:a
解説:
テンションリッジである。堤状隆起のことで上顎口蓋側に見られる。口呼吸により口腔内が乾燥し炎症をおこし、腫脹する。
DH 32回 午前45
49歳の男性。上顎右側小臼歯部の歯肉の腫脹を主訴として来院した。
検査の結果、慢性歯周炎と診断され、歯周基本治療後に歯周組織再生療法が行われることになった。歯周外科治療時の口腔内写真(別冊午前No.10A、B)を別に示す。

第一小臼歯近心の骨欠損部に対して行われたのはどれか。1つ選べ。
a GTR法
b 新付着術
c 自家骨移植術
d 歯肉結合組織移植術

解答:a
解説:
Bの写真を見ると白い膜がおいてあるのが分かる。膜を使うのはGTR法。GTR膜である。
DH 32回 午前64
シックルタイプスケーラーをシャープニングしている写真(別冊午前No.24) を別に示す。

正しいのはどれか。2 つ選べ。
a ①
b ②
c ③
d ④

解答:a b
解説:
③:先端は削らない
②:第一シャンクを12時の位置にしてストーン角度を3分の1にする。
①:円柱のストーンで削る。
DH 32回 午前65
歯周組織検査で、歯が頬舌的に2mm、近遠心的に1. 5mm 動揺していた場合のMiller の分類はどれか。1 つ選べ。
a 0度
b 1度
c 2度
d 3度

解答:c
解説:
ミラーの分類とは歯の動揺度の分類のことである。
0度:生理的動揺 0.2mm以内
1度:軽度の動揺 唇舌的に0.2~1mm
2度:中等度の同様 唇舌、近遠心的に1~2mm
3度:高度の動揺(唇舌、近遠心的に2mm以上、または垂直方向の舞踏状動揺)
DH 32回 午前68
17歳の女子。定期歯科健康診査のため来院した。歯科医師の指示により、歯肉の検査を行うことになった。来院時の口腔内写真(別冊午前No.26) を別に示す。

PMA Index のA 部はどれか。1 つ選べ。
a ①
b ②
c ③
d ④

解答:c
解説:
歯肉炎の広がりを見る指標。
P:歯間乳頭
M:辺縁歯肉
A:付着歯肉
の3部位に分け、炎症があれば1点なければ0点。
a ①は辺縁歯肉。M
b ②は歯槽粘膜
c ③は付着歯肉。A
d ④は歯冠乳頭。P
DH 32回 午前69
55歳の女性。上顎右側前歯部の歯肉の腫脹を主訴として来院した。
慢性歯周炎と診断された。初診時の口腔内写真(別冊午前No.27)を別に示す。

観察できるのはどれか。2つ選べ。
a クレフト
b フェストゥーン
c ブラックトライアングル
d エナメルプロジェクション

解答:a c
解説:

クレフト:歯肉退縮した状態で根尖に向けてV字型に歯肉がなっている。
ブラックトライアングル:歯と歯茎に囲まれた部分が三角に空いてしまっている状態
フェストゥーン:辺縁歯肉が歯頚部にそって丸まった状態
エナメルプロジェクション:エナメル質が伸びて歯根と歯根の間まで伸びた状態
DH 32回 午前71
超音波スケーラーを用いた歯周ポケット内のイリゲーション操作で正しいのはどれか。
2つ選べ。
a 根面に圧接する。
b 先端2mmの側面を用いる。
c 歯面に対して45度で使用する。
d 水流が線状に出る状態に調整する。

解答:b d
解説:
イリゲーション操作⇒超音波スケーラーと水流で洗い流すこと。
歯面に対しては15度。
DH 32回 午前73
26歳の女性。定期歯科健康診査のため来院した。歯周組織検査時の写真(別冊午前No.28)と歯周組織検査結果の一部(別冊午前No.29)を別に示す。


この部位の付着歯肉幅はどれか。1つ選べ。
a 3mm
b 4mm
c 5mm
d 6mm

解答:b
解説:
歯種⇒例えば 11 上顎右側中切歯、21 上顎左側中切歯、31 下顎左側中切歯 41 下顎右側中切歯等
今は上顎の左側の中切歯を測っているので21の唇側を見る。
歯肉辺縁から歯肉歯槽粘膜境までは6mm。ポケット深さは2mm。6-2=4mmが付着歯肉。
DH 32回 午前74
歯周治療の流れを図に示す。
①へ移行する基準はどれか。2つ選ぺ。

a BOP率20 %以下
b 歯の動揺0.2mm以内
c 歯周ポケット4mm未満
d O’LearyのPCR30%以下

解答:b c
解説:
BOPはなしが基本。歯周ポケットは3mm以下、生理的動揺の範囲が基本。
O’LearyのPCR;プラークの染め出し。基準はない。
DH 32回 午前76
65歳の女性。定期歯科健康診査のため来院した。歯周組織検査後にスケーリングを行うことになった。
口腔内写真(別冊午前No.30A)とスケーラーの写真(別冊午前No.30B)を別に示す。

矢印で示す歯肉縁上歯石の除去に適したスケーラーはどれか。1つ選べ。
a ①
b ②
c ③
d ④

解答:a
解説:
①だけ鎌型(シックル)。療法に刃がついている。なので縁上
②③④はキュレット型。片刃。なので縁下。歯ぐきがあるかた片刃がいいよね。
DH 32回 午後21
歯周疾患検診で使用されるプローブの写真(別冊午後No. 3 A) とその先端の拡大写真(別冊午後No.3 B) を別に示す。

このプローブを用いて歯周ポケットを測定したとき、スコアl とされる歯肉辺縁の位置はどれか。1 つ選べ。
a ①
b ②
c ③
d ④

解答:c
解説:
CPIプローブである。

Score 0: 異常なし
Score 1: 出血あり ⇒要指導
Score 2: 歯石あり⇒要精密検査
Score 3: 歯周ポケット (4 ~5 mm)⇒要精密検査
Score 4: 歯周ポケット (6 mm 以上)⇒要精密検査
DH 32回 午後40
41歳の女性。昨年より上顎左側中切歯に違和感を覚えていたが、この3か月くらいで急に歯が伸びてきたように感じることを主訴として来院した。
慢性歯周炎と診断され、歯周基本治療後の再評価で、歯周外科治療を行うことになった。
初診時の口腔内写真(別冊午後No.9 A 、B 、C) と歯周外科処置時の口腔内写真(別冊午後No.9 D)を別に示す。

この部位の歯周炎の発現に影曹を与えたと考えられる局所性修飾因子はどれか。
1 つ選べ。
a 根面溝
b 樋状根
c エナメル真珠
d エナメル突起

解答:a
解説:
a 根面溝:左上1番に見られる。写真Bが分かりやすい。
b 樋状根:下顎第二大臼歯
c エナメル真珠:親知らずにみられる。
d エナメル突起:大臼歯
DH 32回 午後42
45歳の男性。下顎歯肉の腫脹と出血を主訴として来院した。検査の結果、慢性歯周炎と診断され、歯周治療を行うことになった。
初診時の正面観の口腔内写真(別冊午後No.10A)と下顎前歯部舌側両観の口腔内写真(別冊午後No.10B)を別に示す。

歯周基本治療開始前に説明すべきリスクはどれか。2 つ選べ。
a 歯根破折
b 食片圧入
c 歯の変色
d 象牙質知覚過敏症

解答:b d
解説:
Bの写真より歯頚部に歯石が見られる。歯石を取ると知覚過敏を引き起こしやすくなる。
また、歯間が広いため食片圧入は今もあると思われる。
DH 32回 午後64
歯周治療のメインテナンスで評価するのはどれか。2 つ選べ。
a 歯の動揺度
b 小帯付着位置
c 歯石の付着程度
d 修復物の適合度

解答:a c
解説:
歯肉に炎症がない
歯周ポケットが3 mm以下
プロービング時の出血がない
歯の動揺が生理的範囲を基準
全身状態
咬合
などをみる。
DH 32回 午後67
62 歳の男性。初診時と歯周基本治療後の歯周組織検査結果の一部を表に示す。
付着の獲得が認められたのはどれか。2 つ選べ。

a 下顎第一大臼歯頬側遠心部
b 下顎第一大臼歯舌側中央部
c 下顎第二大臼歯舌側中央部
d 下顎第二大臼歯頬側近心部

解答:c d
解説:

付着歯肉を獲得したということはアタッチメントレベルもプロービングデプスも両方小さくなる。
cdがあてはまる。
DH 32回 午後70
36歳の女性。う蝕と歯周病の治療と管理を希望して来院した。初診時の口腔内検査結果の一部を表に示す。
歯科衛生士による口腔清掃指導とPTCで改善が期待できるのはどれか。2 つ選べ。

a ①
b ②
c ③
d ④

解答:a b
解説:
オレリーのPCR⇒プラークの染め出し
BOP率⇒歯肉からの出血
アタッチメントレベルを増やすには⇒歯周外科も必要
DMF歯数⇒う蝕の数
DH 32回 午後71
歯周基本治療後のメインテナンス時に使用する機器の写真(別冊午後No.32A)と作動中の写真(別冊午後No.32B)を別に示す。

矢印で示すものに含まれるのはどれか。1 つ選べ。
a ケイ酸ナトリウム
b 過ホウ酸ナトリウム
c 炭酸水素ナトリウム
d ラウリル硫酸ナトリウム

解答:c
解説:
エアフロ―である。炭酸水素ナトリウムのパウダーをふきつけて歯面清掃をする。
a ケイ酸ナトリウム:歯磨き粉の研磨剤
b 過ホウ酸ナトリウム:ホワイトニングのウォーキングブリーチ
d ラウリル硫酸ナトリウム:歯磨き粉の発泡剤
DH 32回 午後76
顎模朔上でピエゾ式超音波スケーラーを用いた歯肉縁上歯石除去時のチップの写真(別冊午後No.34)を別に示す。

適切なのはどれか。1 つ選べ。
a ①
b ②
c ③
d ④

解答:b
解説:
超音波スケーラーは先端で歯に触れるのではなく側面の先らへんを歯面に当てる。
DH 32回 午後82
20歳の女性。幼少期より定期歯科健康診査を欠かしたことがなかった。
歯肉の形で気になるところがあるという。受診時の口腔内写真(別冊午後No.35)を別に示す。

矢印で示すのはどれか。1つ選べ。
a 肥大
b クレフト
c スティップリング
d メラニン色素沈着

解答:c
解説:
スティップリングである。歯頚部にみられる凹みのことで健康な歯肉にみられる。

