小児歯科学

小児歯科学
チョコレートでも食べて一息。

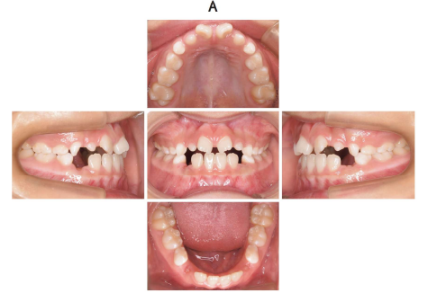
118回 A-63

9 歳の女児。前歯の歯並びが悪いことを主訴として来院した。初診時の口腔内写真(別冊No. 18A)とエックス線画像(別冊No. 18B)を別に示す。


第一期治療として適切なのはどれか。 1 つ選べ。
a 右上C の抜歯
b 左上C の抜歯
c  左上4 の抜歯
d  上顎両側2 の補綴処置
e 上顎右側臼歯の遠心移動

解答:b

解説:

右上3番の先天欠損。なので右上Cは保存。

左上4番はまだ生えていないので抜歯しない。

上顎2番は欠損しているが、補綴処置は小児なのでまだ必要ない。

左上Cがまだ残っており、その下に3番が埋伏しているのがわかる⇒Cを抜いて3を正常な位置に導く。

118回 A-52

12 歳の男児。歯の変色を主訴として来院した。萌出時は問題なかったが、次第に気になってきたという。初診時の口腔内写真(別冊No. 13)を別に示す。

 変色の原因特定のために確認するのはどれか。 1 つ選べ。
a 外傷の既往
b 離乳の時期
c 口呼吸の有無
d 常用薬の有無
e 摂取飲料の嗜好

解答:e

解説:

萌出してから、むし歯になったと考えられる。写真から、白いところはむし歯になりかけと考えられる。広範囲にわたってCOの状態。

なのでe

118回 A-56

小児の歯科治療時の行動分類(Frankl の分類)で 2 度はどれか。 2 つ選べ。
a 拒 否
b 号 泣
c 慎 重
d 躊 躇
e 不協力

解答:d e

解説:

★Franklの分類

1度:明らかな拒否⇒a b

2度:消極的⇒d e

4度:積極的

3度:協力的⇒c

118回 A-57

乳歯外傷の特徴はどれか。 2 つ選べ。
a 受傷原因は衝突が最も多い。
b 受傷年齢は 1 ~ 3 歳に多い。
c 受傷頻度に性差はみられない。
d 受傷様式は脱臼より破折が多い。
e 受傷部位は上顎乳中切歯が最も多い。

解答:b e

解説:

乳歯の外傷は1~3歳!よちよち歩き!転倒!男の子!転倒なので上の前歯が多い!

118回 A-68

4 歳の女児。上顎右側乳臼歯部の激しい疼痛を主訴として来院した。 3 か月前に上顎右側D のコンポジットレジンの脱離に気付いていたが、症状がないためそのままにしていたところ、昨晩から痛みが続いているという。上顎右側のD に打診痛を認める。初診時の口腔内写真(別冊No. 21A)とエックス線画像(別冊No. 21B)を別に示す。

適切な処置はどれか。 1 つ選べ。
a コンポジットレジン修復
b 生活歯髄切断
c 抜 髄
d 感染根管治療
e 抜 歯

解答:c

解説:

根尖病巣はなさそう。

打診痛あり、痛みもある⇒歯髄まだ生きてそう。後継歯の歯冠もしっかりできているので⇒抜髄

抜歯してしまうと、4がはえてくるのはまだ先なのでスペースが空いてしまうので残しておくのがよい。

118回 A-85

定型発達児の情動で、「心配」が出現する時期に分化するのはどれか。 2 つ選べ。
a 愛 情
b 怒 り
c 失 望
d 嫉 妬
e 不満足

解答:ce

解説:

情動の分化である。

新生児 3ヶ月 6ヶ月      1歳     2歳    5歳

興奮 快・不快 怒・嫌悪・恐れ 愛情・得意 喜び・嫉妬 希望・羨望・失望・恥・心配

117回 A-19

混合歯列期前期の下顎右側第一大臼歯の早期喪失により生じる可能性があるのは
どれか。 1 つ選べ。
a 前歯部開咬
b 前歯部反対咬合
c 下顎歯列正中線の右方偏位
d 下顎右側第二小臼歯の近心傾斜
e 下顎右側第二大臼歯の遠心傾斜

解答:c

解説:

右側がないから右に寄っていく。dは遠心傾斜、eは近心傾斜の間違い。

117回 A-27

8 歳の女児。医科から歯科を受診するよう指示されて来院した。 1 か月後に骨髄
移植を予定しているという。下顎右側臼歯部に冷水痛がある。医科に対診したとこ
ろ観血的処置に関して問題ないとのことである。診察の結果、永久歯への交換の近
い歯と感染源になり得る歯の抜去を行うこととした。初診時の口腔内写真(別冊
No. 7A)とエックス線画像(別冊No. 7B)を別に示す。


 抜歯部位はどれか。 1 つ選べ。

解答:d

解説:

う蝕があるのは↓

骨髄移植を控えているのなら感染源は絶ったほうがよい。感染源が全身に流れると危ない。右下6番は大事だしう蝕ではないので残す。

DEは10~11歳、Cは9歳~10歳頃に抜ける。

左下Eはレントゲン見ると齲蝕が歯髄まで広がっていて大きい。歯髄までひろがっていると感染の可能性が高いので抜歯。

交換間近の歯も抜くって問題文に書いてある。ということは前歯部は歯胚も見えているし交換間近でああるので抜歯。

117回 A-49

11 歳の女児。前歯の歯並びが悪いことを主訴として来院した。初診時の顔面写
真(別冊No. 18A)、口腔内写真(別冊No. 18B)、エックス線画像(別冊No. 18C)及
び歯科用コーンビーム CT(別冊No. 18D)を別に示す。


 そのままにした場合に生じる可能性があるのはどれか。 2 つ選べ。
a  2 の近心傾斜
b  2 の歯根吸収
c  3 の口蓋側への萌出
d  4 の遠心傾斜
e  5 の萌出遅延

解答:b c

解説:

左上3番が埋伏していて左上2番を押している。

Dの左の図⇒左上3番の断面がうつっている。横に生えているのが分かる。右の図から口蓋側にのびているのがわかる。

117回 A-73

乳前歯の歯冠修復において、コンポジットレジンを塡入したクラウンフォームを
支台歯に圧接する際に注意するのはどれか。 3 つ選べ。


a エアベントを付与する。
b 歯頸部に切れ込みを入れておく。
c 支台歯の正しい歯軸方向を確認する。
d 歯頸部の適合性は光照射後に確認する。
e 溢出した過剰レジンは重合前に除去する。

解答:a c e

解説:

 クラウンフォームとはレジンでできていてその中にレジンを入れて歯に圧接 するもの。

a エアベントを付与する。⇒空気を逃がす穴
b 歯頸部に切れ込みを入れておく。⇒下縁部の余計なところは削除するが、歯頚部を合わさなくてはいけないのに切れ込みいれちゃだめ。
c 支台歯の正しい歯軸方向を確認する。⇒〇
d 歯頸部の適合性は光照射後に確認する。⇒適合してなかったらどうするの・・・かたまってる…
e 溢出した過剰レジンは重合前に除去する。⇒かたまると除去できない。

117回 A-78

3 歳 0 か月児の齲蝕好発部位はどれか。 1 つ選べ。
a 下顎乳前歯隣接面
b 上顎乳前歯唇側面
c 上下顎乳臼歯咬合面
d 上下顎乳臼歯隣接面
e 上顎乳前歯口蓋側面

解答:c

解説:

3才は乳臼歯がはえてくる頃。


b 上顎乳前歯唇側面:×哺乳をしている2歳くらいまでは好発
c 上下顎乳臼歯咬合面:奥歯でかめるようになるため
d 上下顎乳臼歯隣接面:×Eがはえてくるので隣接面にう蝕が増える。3才6カ月頃~

117回 A-83

3 か月の男児。哺乳困難を主訴として来院した。これまで母乳を飲んでいたが、
数日前から哺乳を嫌がるようになったという。初診時の口腔内写真(別冊No. 30)を
別に示す。


 適切な対応はどれか。 2 つ選べ。
a 抗菌薬の投与
b 人工乳への変更
c 水分補給の指示
d ビタミン B 製剤の投与
e 副腎皮質ステロイド軟膏の塗布

解答:c e

解説:

口蓋部にベドナーアフタが見られる。これが痛みの原因と考えられる。

母乳を飲めていないことから水分不足になりやすいので水分補給は大事。

ステロイドで治してあげる。

117回 B-21

定型発達の 2 歳児へ歯科治療を行ううえで正しいのはどれか。 2 つ選べ。
a TEACCH 法を用いる。
b Tell-Show-Do 法を用いる。
c 保護者を同席させずに行う。
d 緊急性のある処置は短時間で行う。
e 体動のコントロールに重点を置く。

解答:d e

解説:

a TEACCH 法を用いる。 ⇒自閉症やそれに関連するコミュニケーション障害を持つこども用の治療
b Tell-Show-Do 法を用いる。⇒もうちょっと会話ができてから。
c 保護者を同席させずに行う。⇒泣いちゃう。母子分離まだ。

2歳児は動き回る。ちょっと話せる、我慢できない年代。

117回 B-22

3 歳児の上顎乳中切歯への外傷で抜歯が選択されるのはどれか。 2 つ選べ。
a 露髄を伴わない歯冠破折
b 露髄を伴う歯冠破折
c 歯冠から歯槽骨縁下におよぶ歯の破折
d 歯頸側 1/3 の歯根破折
e 根尖側 1/3 の歯根破折

解答:

a 露髄を伴わない歯冠破折 ⇒抜髄
b 露髄を伴う歯冠破折   ⇒抜髄。骨縁上ならいい。歯冠歯根
c 歯冠から歯槽骨縁下におよぶ歯の破折 ⇒ 歯冠から歯槽骨縁下に及ぶ歯の破折と歯頸側1/3の歯根破折だが動揺も激しいと思われる 。そして 骨縁下なので処置できないので抜歯。
d 歯頸側 1/3 の歯根破折  ⇒骨縁下なので処置できないので抜歯。
e 根尖側 1/3 の歯根破折  ⇒根尖側 3分の1の歯根破折も生理的に吸収される

117回 B-68

5 歳の女児。舌をよく嚙むことを主訴として来院した。同年齢の女児と比較して
体格が大きく、臍帯ヘルニアと低血糖がある。初診時の舌の写真(別冊No. 26A)と
口腔内写真(別冊No. 26B、C)を別に示す。


 適切な対応はどれか。 2 つ選べ。
a 食事指導
b 舌縮小術
c 咬合挙上板装着
d 上唇小帯切除術
e タングクリブ装着

解答:a b

解説:

ベックウィズヴィーデマン症候群と考えられる。

臍帯ヘルニア⇒へそから腹腔内臓器が出ている 、 低血糖、巨舌、巨体が見られる。

低血糖なので食事指導、巨舌なので舌を切って縫い合わせて小さくする舌縮小術。

117回 B-78

4 歳の男児。上顎乳前歯部の歯肉腫脹を主訴として来院した。 1 年前に同部を転
倒により強打したという。A に対する治療方針として保護者に抜歯の必要性を説
明したが、抜歯はしたくないという。初診時の口腔内写真(別冊No. 29A)とエック
ス線画像(別冊No. 29B)を別に示す。


 このまま抜歯を行わない場合に起こりうる 1 の異常はどれか。 2 つ選べ。
a 埋 伏
b 歯根吸収
c 歯髄壊死
d 歯髄腔狭窄
e 萌出位置異常

解答:a e

解説:

乳歯⇒アンキローシスになったり嚢胞ができると永久歯は骨を溶かしながら萌出することができなくなる。

117回 B-88

全部鋳造冠修復と比較した乳歯用既製金属冠修復の特徴はどれか。 2 つ選べ。
a 耐摩耗性に優れる。
b 歯頸部の適合が良い。
c 歯質の削除量が少ない。
d 即日修復が可能である。
e 接触点の回復が容易である。

解答:c d

解説:

乳歯用既製金属冠は乳歯の上にただかぶせているだけで乳歯が生え変わる時に一緒に取れる。外れにくく型取りもいらないのでお手軽である。

a 耐摩耗性に優れる。 ⇒曲げやすいように柔らかいので×
b 歯頸部の適合が良い。 ⇒型取りしていないので適合は悪い
c 歯質の削除量が少ない。⇒乳歯の形になってるから少ない
d 即日修復が可能である。
e 接触点の回復が容易である。⇒既製品だからぴったりにはならない

117回 C-14

口腔内写真(別冊No. 2)を別に示す。
 Hellman の歯齢はどれか。 1 つ選べ。
a ⅢA 期
b ⅢB 期
c ⅢC 期
d ⅣA 期
e ⅣC 期

解答:c

解説:

まず歯式を書こう。

7654321 123456

7654321 1234567

7萌出開始期なのでⅢC。

117回 C-45

10 歳の女児。下顎右側第一小臼歯の位置異常を主訴として来院した。齲蝕治療
を始める際に撮影したエックス線画像で指摘されたという。自覚症状はない。診察
の結果、D を抜歯してバンドループを装着することとした。初診時の口腔内写真
(別冊No. 14A)とエックス線画像(別冊No. 14B)を別に示す。


 装置装着までの治療過程を示す。
浸潤麻酔 → ラバーダム装着 → ① → ② → ③ → ④ → ⑤ → 技工操作
→ 装置装着(後日)
 ③に入るのはどれか。 1 つ選べ。
 ただし、①~⑤はa~eのいずれかに該当する。
a 抜 歯
b 印象採得
c バンド試適
d ラバーダム撤去
e コンポジットレジン修復

解答:c

解説:

Eにバンドループを装着して4が生えるスペースを確保する。

ラバーダム装着するのはEのむし歯を治すために装着。Eのむし歯を治すためにCR。

抜歯すると出血してしまうのでバンド試適する前に抜歯。

edcab

117回 C-53

4 歳の男児。前歯の変色を主訴として来院した。 1 年前に室内で転倒して前歯部
を打撲し、上顎右側乳中切歯は完全脱落したが、そのままにしていたという。 2 歳
ころから親指を口に入れる癖があるという。A の動揺度は 1 度である。初診時の
口腔内写真(別冊No. 20A)とエックス線画像(別冊No. 20B)を別に示す。


 保護者への説明で適切なのはどれか。 3 つ選べ。
a 「左上の前歯は根の治療が必要です」
b 「前歯に固定式の装置を入れましょう」
c 「指しゃぶりはやめた方が良いでしょう」
d 「すぐ永久歯が生えてくるので心配いりません」
e 「永久歯の前歯には変色がみられるかもしれません」

解答:a c e

解説:

Aの歯髄が死んでいる⇒放置

⇒菌が膿を形成している可能性大

⇒永久歯の歯胚にまで影響が及ぶ

⇒変色したり凹みができたりするかも。

あと2年くらい永久歯ははえてこないのでdの「すぐ」は間違い。

指しゃぶりは4歳くらいでやめるのがよいとされている。上顎前歯唇側傾斜や開口の原因となる。

117回 C-77

1 か月前にテーブルに上顎前歯をぶつけた 4 歳女児の口腔内写真(別冊No. 32A)
とエックス線画像(別冊No. 32B)を別に示す。A に打診痛を認める。


 適切な対応はどれか。 1 つ選べ。
a 経過観察
b 整復固定
c 抜 髄
d 感染根管治療
e 抜 歯

解答:d

Aがぬけるまでまだ2年くらいある。Aに打診痛+変色があることから歯髄は死んでいる。

6歳頃に 一番が生えてくるので抜くには早いしまずは感性根管治療で良くなるかどうかを 様子見。

117回 D-38

7 歳の男児。下の前歯が生えてこないことを主訴として来院した。食事で困って
いることはないが、いつ生えてくるか知りたいという。初診時の口腔内写真(別冊
No. 11A)とエックス線画像(別冊No. 11B)を別に示す。


 現時点で確認できる永久歯数(本)はどれか。 1 つ選べ。
a  6
b 13
c 17
d 19
e 23

解答:d

解説:

(73埋伏)6EDC1   1CDE6(3457埋伏)

(7543埋伏)6EDC CDE6(347埋伏)

歯式を書こう。

なので19本

117回 D-8

顎位が安定し始める時期の萌出状態はどれか。 1 つ選べ。

解答:c

解説:

DEで作られる咬合支持域を考えましょう。Dだけでも臼歯の形をしているので左右の咬合支持域ができておおむね安定します。

問題に安定し始める時期とあるのでDが放出した時のcが正解といえます。

ヘルマンの歯齢でいえばいつか分かる? そう、ⅠCだね。

117回 D-35

3 歳男児の口腔内写真(別冊No. 7)を示す。
 認められる不正咬合はどれか。 2 つ選べ。
a 過蓋咬合
b 上顎前突
c 前歯部反対咬合
d 右側臼歯部交叉咬合
e 左側臼歯部鋏状咬合

解答:c d

解説:

a 過蓋咬合       :そこまで
b 上顎前突       :わからん
c 前歯部反対咬合    :見た通り
d 右側臼歯部交叉咬合  :左上65
e 左側臼歯部鋏状咬合  :鋏状咬合は完全に上下がかんでいない

117回 D-41

小児患者と対応法の組合せで適切なのはどれか。 1 つ選べ。
a Down 症候群の 1 歳児 モデリング法
b 脳性麻痺の 3 歳児 フラッディング法
c 聴覚障害を有する 5 歳児 ボイスコントロール法
d 不安の強い健常な 7 歳児 亜酸化窒素吸入鎮静法
e 自閉スペクトラム症の 9 歳児 ハンドオーバーマウス法

解答: d

解説:

a Down 症候群の 1 歳児 モデリング法     ⇒意思疎通ができないと難しい
b 脳性麻痺の 3 歳児 フラッディング法     ⇒フラッディング法とは最初からもっとも強い不安刺激にさらす方法で恐怖症とか強迫神経症の患者さんに用いる。
c 聴覚障害を有する 5 歳児 ボイスコントロール法 ⇒聴覚障害があるので適当でない
d 不安の強い健常な 7 歳児 亜酸化窒素吸入鎮静法 ⇒〇
e 自閉スペクトラム症の 9 歳児 ハンドオーバーマウス法 ⇒刺激が強すぎる

117回 D-48

8 歳の男児。歯の破折を主訴として来院した。30 分前に転倒し顔面を強打した
という。上顎両側中切歯の動揺は認められず、打診痛はあるが自発痛はない。初診
時の口腔内写真(別冊No. 13A)とエックス線画像(別冊No. 13B)を別に示す。
 処置の組合せで適切なのはどれか。 1 つ選べ。
1 1
a コンポジットレジン修復 直接覆髄
b コンポジットレジン修復 生活歯髄切断
c 直接覆髄 生活歯髄切断
d 抜 髄 抜 髄
e 抜 髄 感染根管治療

解答:c

解説:

破折して30分以内ということはまだ歯髄が生きている可能性が高い。

自発痛がない⇒感染していない。ってこと。

写真⇒両方とも露髄。

X線写真⇒小児なのでまだ根尖が閉じていない。歯根がまだ完成していないってこと。根尖はあまり触りたくない…。なので抜髄したくない…。

露髄の大きさ⇒左側の方が大きい

なので左側を生活歯髄切断にして右側は直接覆髄。

117回 Dー49

2 歳 6 か月の女児。口腔管理を希望して来院した。家族構成は両親、 9 歳の兄の
4 人である。離乳は完了している。就寝時に吸指癖があるが、それ以外に気になる
ことはないという。口腔内写真(別冊No. 14)を別に示す。
 保護者への説明として適切なのはどれか。 1 つ選べ。
a 「次は 1 年後に来院してください」
b 「フッ素入りの歯磨剤を使用しましょう」
c 「指しゃぶりは直ちにやめさせてください」
d 「おやつは兄が帰宅してから一緒に食べましょう」
e 「子どもに歯ブラシは使わせないようにしましょう」

解答: b

解説:

指しゃぶりは4歳を目安にやめさせて。

兄と年が離れすぎているのでペースを合わせる必要はない。

定期健診で1年ペースは長い。

117回 D-73

乳歯用既製金属冠修復の支台歯形成で、クリアランスとマージン形態の組合せで
正しいのはどれか。 1 つ選べ。
a 0.5 mm シャンファー
b 0.5 mm ナイフエッジ
c 1.0~1.5 mm シャンファー
d 1.0~1.5 mm ナイフエッジ
e 2.0 mm シャンファー

解答:d

解説:

0.5mmは厚みがなさすぎて穴があくよ~。

c 1.0~1.5 mm シャンファー :既製なので縁が合わない
d 1.0~1.5 mm ナイフエッジ :これにしざるを得ない
e 2.0 mm シャンファー    : レジンとかセラミックとか脆い材料ならこれでOK

117回 D-74

下顎前歯部の歯肉退縮を主訴として来院した 8 歳児の口腔内写真(別冊No. 24A)
とエックス線画像(別冊No. 24B)を別に示す。
 考えられる原因はどれか。 1 つ選べ。
a 過剰歯
b 口呼吸
c 弄舌癖
d 外傷性咬合
e 下唇小帯肥厚

解答:d

解説:

右下1番歯肉退縮が見られ反対咬合になっている。⇒d あたりが強いのだと想像できる。

cの弄舌癖は1だけ移動しているのは変。

【12/30日限定ポイント5倍】USB卓上加湿器 LEDランプ 500ml 大容量 静音 小型加湿器 超音波 ミニ加湿器 USB給電 宅配便送料無料 秋冬応援
created by Rinker
¥1,880 (2026/05/07 18:41:53時点 楽天市場調べ-詳細)

116回 A-71

2 歳の男児。歯の色調と形の異常を主訴として来院した。萌出した時から異常が
みられ、冷たいものを飲むと嫌がるという。初診時の口腔内写真(別冊No. 25A)
とエックス線画像(別冊No. 25B)を別に示す。


  歯の異常の原因として考えられるのはどれか。 1 つ選べ。
a 外 傷
b 遺伝子変異
c 口腔清掃不良
d 哺乳瓶の長期使用
e フッ化物の過剰摂取

解答:b

解説:

冷たい物を飲むろ嫌がる→う蝕っぽくないので知覚過敏?

全ての歯が茶色っぽいのが特徴。エナメル質が形成不全なのでは、と考えられる。

全ての歯というのがポイント、なのでb

フッ化物の過剰摂取も全歯に影響がでるが縞模様なので違う。

116回 B-37

齲蝕のため抜歯を行った 5 歳の男児の口腔内写真(別冊No. 12)を別に示す。
エックス線画像では永久歯の歯数異常はみられない。


  適切な装置はどれか。 2 つ選べ。
a 可撤保隙装置
b バンドループ
c リンガルアーチ
d ディスタルシュー
e Nance のホールディングアーチ

解答:a b

解説:

4,5番がはえてくるのは10才くらいなのでまだまだはえてこない。→隙間をそのままにするのはよくない。永久歯が正常な位置にはえてこれなくなる。スペースを維持したいのでabが正解。

可撤保隙装置は咬合しやすいように。

ちなみにナンスのホールディングアーチでは保隙にはならない。

116回 C-53

7 歳の女児。下顎左側臼歯部の夜間痛を主訴として来院した。昨晩は痛みで眠れ
なかったが、現在痛みはないという。下顎左側第一乳臼歯と第二乳臼歯の動揺度は
生理的範囲内である。初診時の口腔内写真(別冊No. 19A)とエックス線画像(別冊
No. 19B)を別に示す。検査結果を表に示す。



  処置の組合せで適切なのはどれか。 1 つ選べ。
D E
a コンポジットレジン修復 コンポジットレジン修復
b 生活歯髄切断 コンポジットレジン修復
c 生活歯髄切断 抜 髄
d 感染根管治療 抜 髄
e 抜 歯    抜 歯

解答:c

解説:

打診痛:根尖まで感染が広がっているか調べる。Eは根尖まで広がっているのがわかる。

Dの方が症状が軽い。

夜間痛があることから歯髄になんらかの処置をする必要がある。Dの方が重い処置なわけないのでabは×。

生活歯髄切断法だが歯髄を残すために行う処置で感染が歯髄の上の方に限局している場合のみ適合。出血していたらNG.

dの感染根管治療は歯髄が失活しているときなので今は電気診より生きていることが分かるので違う。

eは二本ともいきなり抜歯は隙間もできてしまうためやりすぎ。

なのでc

116回 C-56

前歯部正中離開を主訴として来院した女児の口腔内写真(別冊No. 21A)とエッ
クス線画像(別冊No. 21B)を別に示す。


  適切な対応はどれか。 1 つ選べ。

解答:a

解説:

右上2,3番に注目。転位している。パノラマから違和感を感じる、位置が違うのがわかる。

左上1番は正しい位置だが右上1番はずれていることにより正中離開している。根本を3番がおしているのが原因。ほっといたら埋伏している3番により1番の歯根吸収が進んでしまうので右上3番の処置が必要。

eの左上5番だがほっといてもはえてくるので今は経過観察。

116回 C-64

4 歳の男児。上顎前歯部の変色を主訴として来院した。 6 か月前に転倒し顔面を
強打したという。上顎右側乳中切歯には自発痛はなく打診痛があり、歯髄電気診に
生活反応を示さなかった。初診時の口腔内写真(別冊No. 24A)とエックス線画像
(別冊No. 24B)を別に示す。


  適切な対応はどれか。 1 つ選べ。
a 経過観察
b 生活歯髄切断
c 抜 髄
d 感染根管治療
e 抜 歯

解答:d

解説:

歯髄電気診に反応を示してないので歯髄が失活していることがわかる。

打診痛があるということは感染が根尖まで広がっている。

a 経過観察:主訴が改善されていない
b 生活歯髄切断:歯髄はもう死んでいるので適用範囲外
c 抜 髄:歯髄はもう死んでいるので適用範囲外
d 感染根管治療:〇
e 抜 歯:Aが抜けるのは6歳くらいなので抜歯はまだ早い。

116回 C-66

9 歳の男児。かかりつけ歯科医で過剰歯を指摘され来院した。全顎的に精査する
ためパノラマエックス線と CT を撮影した。診断の結果、過剰歯を抜去することと
した。初診時の口腔内写真(別冊No. 25A)、エックス線画像(別冊No. 25B)及び
CT(別冊No. 25C)を別に示す。


  抜歯の根拠はどれか。 1 つ選べ。
a 正中離開がある。
b 鼻腔を貫通する可能性がある。
c 上顎左側中切歯の歯根が未完成である。
d 上顎左側中切歯の歯根吸収の可能性がある。
e 上顎左側中切歯が交叉咬合になる可能性がある。

解答:d

解説:

過剰歯:左上1番の下に過剰歯がある。

b 鼻腔を貫通する可能性がある。:そこまでではない。
d 上顎左側中切歯の歯根吸収の可能性がある。:左上1番による。

116回 D-9

5 歳児が自身で行うブラッシング方法として適切なのはどれか。 1 つ選べ。
a バス法
b フォーンズ法
c ローリング法
d スティルマン法
e チャーターズ法

解答:b

解説:

a バス法⇒毛先が歯肉溝に入るように磨く・難しい
b フォーンズ法⇒〇円を描くようにクルクルと。説明しやすい。順に磨くため磨き忘れもない。
c ローリング⇒歯ブラシの脇腹を使い難しい
d スティルマン法⇒上と同じ
e チャーターズ法⇒上と同じ

116回 D-13

定型発達児において、会話によるコミュニケーションが可能となる時期にできる
ようになるのはどれか。 1 つ選べ。
a 寝返り
b 片足立ち
c 一人歩き
d 一人座り
e つかまり立ち

解答:b

解説:

adebcの順

a 寝返り:6カ月頃
b 片足立ち:3才
c 一人歩き:1才3か月
d 一人座り:7カ月
e つかまり立ち:9カ月

116回 D-17

ヒトの頭部と身長の比が 1 : 4 なのはどれか。 1 つ選べ。
a 0 歳
b 2 歳
c 6 歳
d 12 歳
e 25 歳

解答:a

解説:

4頭身は0歳。5頭身は2才。

116回 D-24

前歯の歯並びが悪いことを主訴として来院した 18 歳の男子。初診時の口腔内写
真(別冊No. 3A)とエックス線画像(別冊No. 3B)を別に示す。


  正しい所見はどれか。 2 つ選べ。

解答:a d

解説:

歯式を書こう!

★判断基準

DEは臼歯の形、歯根が短いのでそこで判断。

116回 D-40

 11 歳の男児。下顎右側乳臼歯部の痛みを主訴として来院した。診察の結果、下
顎右側第一乳臼歯を抜去することとした。保護者に抜歯について説明し、同意を得
た。初診時の口腔内写真(別冊No. 9A)とエックス線画像(別冊No. 9B)を別に示
す。


  保護者への追加説明で適切なのはどれか。 3 つ選べ。
a 「上あごに余分な歯があります」
b 「上あごの 2 本の小臼歯の成長が遅れています」
c 「上あごの右にある 2 番目の前歯が小さいです」
d 「下あごの後ろにある乳歯の歯根は吸収していません」
e 「下あごの永久歯が親知らずを除いて 5 本足りません」

解答: c d

解説:

歯根は4番と5番は上顎が2本、下顎が1本 のときが多い。

DEは3根であり臼歯の形をしているのでそこで見分ける。

116回 D-72

定型発達の乳児において最も遅く認められるのはどれか。 1 つ選べ。
a 口唇反射の消失
b 探索反射の消失
c 舌挺出反射の消失
d 口唇によるスプーンの捕捉
e 乳臼歯部の顎堤による食物の粉砕

解答:e

解説:

a 口唇反射の消失
b 探索反射の消失
c 舌挺出反射の消失

abcは母乳やミルクを飲むための反射。半年頃に消失。


e 乳臼歯部の顎堤による食物の粉砕:離乳食を食べるための準備なので半年以降だと考えられる。

116回 D-85

7 歳の男児。上の前歯に隙間があることを主訴として来院した。初診時の口腔内
写真(別冊No. 33)を別に示す。


  原因の特定に有効なのはどれか。 2 つ選べ。
a 歯髄電気診
b 超音波検査
c Blanch test
d 口内法エックス線撮影
e レーザー蛍光強度測定

解答:c d

解説:

7才⇒醜いアヒルの子の時期なので正中離開があるのは正常。2番がはえてくるのを様子見。

a 歯髄電気診:なんで?
b 超音波検査:エコー?なんで?
c Blanch test:上唇を上方に引っ張った時に前歯の間の歯肉が白くなる貧血帯が現われるかどうかをみる。⇒現れると上唇小帯が高位付着になる⇒そのときは小帯を切る。
d 口内法エックス線撮影:埋伏歯や2番の様子を見る。
e レーザー蛍光強度測定:う蝕の検査

114回 A-22

歳の男児。定期検診のため来院した。1年前に下顎左側第二乳臼歯を齲lのた
め抜去し、保隙装置を装着した。診察の結果、クラウンループに変更することとし
た。保隙装置を変更する前の口腔内写真別冊No. 2 を別に示す。


保隙装置を変更する理由はどれか。1つ選べ。


a 左下6番 の遠心移動
b 咀嚼機能の回復
c 左下6番 の捻転の防止
d 対合歯の挺出の防止
e 左下6番近心部歯肉の清掃性の向上

解答:c e

解説:

左下Dのディスタルシューで左下Eの保隙をしている。6番が出てきているので6のクラウンループに変更する。

c 左下6番 の捻転の防止⇒クラウンループの移動防止
e 左下6番近心部歯肉の清掃性の向上⇒ディスタルシューで無理

114回 A-44

乳歯外傷の特徴はどれか。1つ選べ。
a 上顎より下顎に多い。
b 男児より女児に多い。
c 転倒より衝突が多い。
d 破折より脱臼が多い。
e 2歳児より5歳児に多い。

解答:d

解説:

★外傷しやすい時の特徴

・よちよち歩きの時期

・男の子(よく動く子が多い)

a 上顎の前歯がうちやすい。
b 男児
c 転倒しやすい。よちよち歩き
d 破折より脱臼が多い。〇脱臼が多い。歯根が短い、歯根膜腔が広い、歯周靭帯が少ないため抜けやすい。
e 2歳児の方がよちよち歩き

114回 A-63

定型発達児において、行動変容法により適応行動が期待できるようになる時期は
どれか。1つ選べ。
a 生後6か月ころ
b 1歳6か月ころ
c 3歳ころ
d 5歳ころ
e 7歳ころ

解答:c

解説:

行動変容法⇒コミュニケーションがとれなければできない。学習によってふさわしく行動ができる

3才と言ったら年少さんくらい。コミュニケーションがとれるようになる時期

114回 A-69

歳の男児。最近萌出してきた下顎右側中切歯の色調異常を主訴として来院し
た。自覚症状はないという。初診時の口腔内写真別冊No. 27 を別に示す。


まず行う処置はどれか。1つ選べ。
a シュウ酸カリウム塗布
b フッ化ナトリウム塗布
c コンポジットレジン修復
d フッ化ジアンミン銀塗布
e グラスアイオノマーセメント修復

解答:b

解説:

エナメル質形成不全。右下1番が茶褐色であることからエナメル質石灰不全だと分かる。

b フッ化ナトリウム塗布:〇 まず歯質を強化する+グラスアイオノマー
c コンポジットレジン修復:まだ萌出途中なのでNG
d フッ化ジアンミン銀塗布:黒化するので避ける。
e グラスアイオノマーセメント修復:まず行う処置ではない。フッ化ナトリウムが選択肢にある。

DH 32回 午前57

6歳の女児。定期学校歯科健康診断で歯の形態異常を指摘され来院した。
矢印で示す形態異常について保護者から今後の注意事項を聞かれた。
初診時の口腔内写真(別冊午前No.19) を別に示す。


説明するのはどれか。2 つ選べ。

a う蝕
b 歯周炎
c 交換期障害
d 歯冠の変色

解答:a c

解説:

BとCの癒合歯である。癒合歯は磨きにくいのでう蝕に気をつけなくてはいけない。

また、永久歯の歯胚がないこともある。生え変わりのスペースの問題もあるので気を付ける必要がある。

bの歯周炎は△。磨きにくいので歯周炎になるリスクはある。が、まず歯肉炎かな。

DH 32回 午前58

3 歳の男児。初めて歯科治療を行う前に、5 歳の兄が上手に治療を受けている様子を観察させた。
用いた行動変容技法はどれか。1 つ選べ。

a モデリング法
b タイムアウト法
c トークンエコノミー法
d ハンドオーバーマウス法

解答:a

解説:

モデリング法。他人の行動を見せてまねをさせる方法。

DH 32回 午前80

5 歳の男児。歯の変色を主訴として来院した。歯科医師から指示を受け、保護者へ洗口剤使用法の指導を行った。初診時の口腔内写真(別冊午前No.32) を別に示す。
適切なのはどれか。2つ選べ。

a 歯磨き前に洗口する。
b ガラガラうがいを行う。
c 洗口後の飲食を控える。
d フッ化物配合のものを選ぶ。

解答:cd

解説:

歯磨き前にしてもうがいをして流したら意味がない。同じ理由で飲食を控える。

ガラガラじゃなくてぶくぶくうがい。

DH 32回 午前85

A市から離乳食を開始する保護者を対象とした口腔機能の発達と食育に関する講話の依頼を受けた。離乳の時期と説明を表に示す。

正しいのはどれか。2つ選べ。

a ①
b ②
c ③
d ④

解答:cd

解説:

①:舌の中央に入れなくても口に入れればいいイメージ

②:中期ではコップを使いこなすのは難しい。練習の段階

DH 32回 午前109

3歳の女児。かたいものを口から出すことを主訴として保護者と来院した。
幼児食になってから気になるようになったという。初診時の口腔内写真(別冊午前No.48)を別に示す。


適切な対応はどれか。1つ選べ。

a 咬合力検査を行う。
b 舌小帯の切除を行う。
c セファロ分析を行う。
d 食事を離乳食に戻してもらう。

解答:a

解説:

舌小帯に異常はない。離乳食に戻すのはかわいそう。他の問題が出てくる。セファロでは分からない。消去法的にa

DH 32回 午後52

8 歳の男児。前歯部で食物が噛み切れないことを主訴として来院した。
初診時の口腔内写真(別冊午後No.20)を別に示す。


考えられる原因はどれか。1 つ選べ。

a 咬唇癖
b 咬爪癖
c 弄唇癖
d 舌突出癖

解答:d

解説:

飲み込むときなどに舌を突き出す癖のこと。開咬や前歯部の唇側傾斜がみられる。

DH 32回 午後57

8 歳の男児。歯並びが気になることを主訴として来院した。初診時の口腔内写真(別冊午後No.24)を別に示す。


上顎中切歯間の空隙の原因として考えられるのはどれか。2 つ選べ。

a 前歯部叢生
b 正中埋伏過剰歯
c 中切歯の異所萌出
d 側切歯の先天性欠如

解答:b d

解説:

この頃はみにくいアヒルの子の時期なので正中離開が見られるのは正常だが、他に原因を考えると・・・埋伏過剰歯や、側切歯の欠如のために遠心によってしまったことが考えられる。

DH 32回 午後75

7 歳の男児。下顎第一大臼歯に小窩裂溝填塞を行った後、メインテナンスに移行した。
メインテナンス時に確認するのはどれか。2 つ選べ。

a 咬頭干渉
b 清掃状況
c 裂溝形態
d 填塞材脱落

解答:b d

解説:

シーラントをしても口の中が汚ければ意味がない。

シーラントがはがれていないかのチェックは必要。

a 咬頭干渉はシーラント前になんとかしよう。

DH 32回 午後85

3歳の男児。3歳児健康診査の際にかみ合わせの指摘を受けたという。保健センターで個別保健指導を行うことになった。歯科健康診査を表に示す。

歯科保健指導として適切なのはどれか1つ選べ。

a 専門医に相談しましょう。
b 見つけしだい、注意してあげましょう。
c 取り外し式の矯正装置を使ってみましょう。
d 指をしゃぶらなかったら褒めてあげましょう。

解答:d

解説:

むし歯もなく歯もきれいなので、問題があるとしたら指しゃぶり。

4歳頃には治したいが3歳を考えると指しゃぶりはまだ許容範囲なのでbほどではないのでdくらいのアプローチが適切と考えられる。

DH 32回 午後87

4歳の女児。定期歯科健康診査のため保護者と来院した。う蝕はない。
保護者が仕上げ磨きをしているという。本人にブラッシング指導を行うことになった。
適切なのはどれか。1つ選べ。

a バス法
b フォーンズ法
c チャーターズ法
d スティルマン改良法

解答:b

解説:

a バス法:歯周ポケットに毛先を入れるように。
b フォーンズ法:クルクル。描円法
c チャーターズ法:歯ブラシの脇ばらを用いる。
d スティルマン改良法:歯ブラシの脇ばらを用いる。

DH 32回 午後100

小児の歯科治療時におけるトークンエコノミー法に基づいた対応はどれか。
1 つ選べ。

a 適切な行動をとった場合にごほうびを与える。
b これから使用する器具の使い方を実際に見せる。
c これから行うことについて、わかりやすく説明する。
d 他の小児が上手に治療を受けている場面を観察させる。

解答:a

解説:

トークンとはご褒美のこと。

bcは Tell Do Show法

d は モデリング法

DH 32回 午後109

4 歳の男児。転居に伴い前医からの紹介で来院した。初診時の口腔内写真(別冊午後No.49)を別に示す。
障害されていると考えられるのはどれか。2 つ選べ。

a 飲水
b 呼吸
c 運動発達
d 免疫機能

解答:a b

解説:

左側に顎裂・口蓋裂がみられる。

裂部が閉じてないので水を飲むと漏れてしまう。また、呼吸も息が鼻にぬけてしまう。

タイトルとURLをコピーしました