
- 118回 A-21
- 118回 A-30
- 118回 A-37
- 118回 A-39
- 118回 A-70
- 117回 A-54
- 118回 A-60
- 118回 A-67
- 117回 A-6
- 117回 A-18
- 117回 A-32
- 117回 A-35
- 117回 A-48
- 117回 A-55
- 117回 A-80
- 117回 B-17
- 117回 B-25
- 117回 B-26
- 117回 B-55
- 117回 B-80
- 117回 B-83
- 117回 B-89
- 117回 C-57
- 117回 C-62
- 117回 C-79
- 117回 C-85
- 117回 C-87
- 117回 D-1
- 117回 D-3
- 117回 D-37
- 117回 D-42
- 117回 D-61
- 117回 D-63
- 117回 D-75
- 117回 D-77
- 117回 D-80
- 117回 D-85
- 116回 A-6
- 116回 A-22
- 116回 A-35
- 116回 A-38
- 116回 A-44
- 116回 A-47
- 116回 A-51
- 116回 A-55
- 116回 A-59
- 116回 A-62
- 116回 A-64
- 116回 A-66
- 116回 A-81
- 116回 A-83
- 116回 A-87
- 116回 B-2
- 116回 B-23
- 116回 B-32
- 116回 B-41
- 116回 B-42
- 116回 B-60
- 116回 B-66
- 116回 B-81
- 116回 D-77
- 116回 B-80
- 116回 B-86
- 116回 C-28
- 116回 C-32
- 116回 C-34
- 116回 C-39
- 116回 C-59
- 116回 C-69
- 116回 C-76
- 116回 C-89
- 117回 D-14
- 116回 D-35 削除問題
- 116回 D-38 除外問題
- 116回 D-45
- 116回 D-49
- 116回 D-50
- 116回 D-53
- 116回 D-61
- 116回 D-65
- 116回 D-73
- 116回 D-79
- 114回 A-7
- 114回 A-24
- 114回 A-27
- 114回 A-29
- 114回 A-30
- 114回 A-39
- 114回 A-40
- 114回 A-56
- 114回 A-57
- 114回 A-64
- 114回 A-72
- 114回 A-73
- DH 32回 午前11
- DH 32回 午前17
- DH 32回 午前51
- DH 32回 午前52
- DH 32回 午前56
- DH 32回 午前89
- DH 32回 午前91
- DH 32回 午後14
- DH 32回 午後32
- DH 32回 午後33
- DH 32回 午後34
- DH 32回 午後36
- DH 32回 午後49
- DH 32回 午後51
- DH 32回 午後86
- DH 32回 午後101
118回 A-21
21 歳の男性。下顎右側智歯部の疼痛と腫脹を主訴として来院した。 3 日前から右側顎下部に腫脹が出現し、徐々に拡大し嚥下痛が強くなり、飲水ができないという。体温は 37.8℃、腫脹部は弾性硬で、開口量は 20 mm、呼吸障害は認めない。初診時の顔貌写真(別冊No. 3A)、口腔内写真(別冊No. 3B)、エックス線画像(別冊No. 3C)及び造影 CT(別冊No. 3D)を別に示す。
まず行うべき処置はどれか。 2 つ選べ。
a 輸 液
b 開口訓練
c 原因歯の抜去
d 抗菌薬の投与
e 顎下部の切開排膿





解答:a d
解説:
「まず」と聞かれていることに注目!急性症状を抑えてあげよう。
水が飲めない⇒脱水の危険性がある⇒輸液で水分を補給してあげる
dかeで迷う。写真Bより排膿しているのでeまでしなくてよい。疼痛、腫脹、発熱より感染が疑われるのでdの抗菌薬投与を選ぶ。
118回 A-30
80 歳の女性。上顎右側歯肉の腫脹を主訴として来院した。 2 か月前から徐々に増大してきたという。15 年前に脳梗塞を発症し、10 年前から関節リウマチと骨粗鬆症で投薬を受けている。初診時の口腔内写真(別冊No. 7A)、エックス線画像(別冊No. 7B)、造影 CT(別冊No. 7C)、FDG-PET/CT(別冊No. 7D)及び生検時のH-E 染色病理組織像(別冊No. 7E)を別に示す。
病変の誘因と考えられるのはどれか。 1 つ選べ。
a ニフェジピン
b メトトレキサート
c ワルファリンカリウム
d ジクロフェナクナトリウム
e アレンドロン酸ナトリウム水和物




解答:b
解説:
関節リウマチの薬といえば、メトトレキサート。
メトトレキサートの長期投与により、メトトレキサート関連リンパ増殖性疾患が引き起こされる。
Eの病理組織像を見ると、リンパ球の増殖、異型リンパ球がみられる。
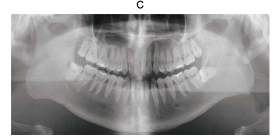
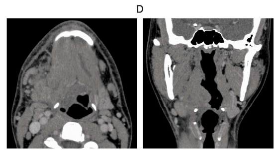
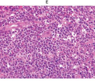
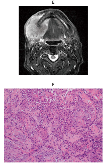
118回 A-37
80 歳の男性。右側下顎体部の腫脹と疼痛を主訴として来院した。 5 日前に硬固物を咀嚼した後から腫脹と右側オトガイ神経麻痺を認めたという。頸部に腫大したリンパ節は触れない。初診時の顔貌写真(別冊No. 10A)、口腔内写真(別冊No. 10B)、エックス線画像(別冊No. 10C)、造影 CT(別冊No. 10D)、MRI 脂肪抑制 T2強調像(別冊No. 10E)及び生検時の H-E 染色病理組織像(別冊No. 10F)を別に示す。



診断名はどれか。 1 つ選べ。
a 骨肉腫
b 腺様囊胞癌
c 扁平上皮癌
d 悪性リンパ腫
e 多発性骨髄腫

解答:c
解説:
画像C:下顎骨右側骨折
画像DE:T2強調画像なので水分が白くなる。境界不明瞭

画像F:癌真珠がみられる
a 骨肉腫:X線画像にサンレイアピアランスがみられる
b 腺様囊胞癌:病理組織像で篩状構造が特徴
c 扁平上皮癌:○骨折は扁平上皮癌の浸潤による。
d 悪性リンパ腫:もっとリンパ球がみられる。
e 多発性骨髄腫:腫瘍性の形質細胞がみられる。
118回 A-39
左側舌縁部に 18 × 15 mm の病変を認め、厚さは 8 mm、深達度は 4 mm であった。生検の結果、扁平上皮癌と診断した。画像検査で所属リンパ節〈領域リンパ節〉と他臓器への転移は認めない。
TNM 分類(UICC 2017)における stage 分類はどれか。 1 つ選べ。
a StageⅠ
b StageⅡ
c StageⅢ
d StageⅣA
e StageⅣB

解答:a
解説:

リンパ節と多臓器への転移なしからN0、M0
T1はがんの最大径が2cm以下で深さが5mm以下なのでT1。
118回 A-70
下部の疼痛を主訴とする患者のエックス線画像(別冊No. 22A、B)を別に示す。


追加する画像検査と目的の組合せで正しいのはどれか。 1 つ選べ。
a CT 病変の位置確認
b PET/CT 転移性腫瘍の診断
c 超音波検査 血流速度の評価
d 唾液腺造影撮影 唾液腺機能の診断
e 唾液腺シンチグラフィ 悪性腫瘍の鑑別

解答:a
解説:
下顎左側に唾石がある。
位置がはっきりとわからないのでCTが必要。
117回 A-54
片側性唇顎口蓋裂の裂隙閉鎖後に生じやすいのはどれか。 3 つ選べ。
a 浅い口蓋
b 上顎骨の過成長
c 上顎切歯の舌側傾斜
d 上顎歯列弓幅径の開大
e 上下顎歯列正中線の不一致

解答:a c e
解説:
裂隙閉鎖後⇒傷が瘢痕化する⇒瘢痕化することで組織が収縮する。
収縮する=縮まるのでb上顎骨の過成長ではない。d開大もしない。
なので残りace
118回 A-60
23 歳の女性。下顎右側智歯周囲歯肉の自発痛を主訴として来院した。診察の結果、 8 の抜歯を行うこととした。アドレナリン含有 2 %リドカイン塩酸塩で浸潤麻酔を行ったところ次第に意識レベルが低下した。このときの手指の写真(別冊No. 16)を別に示す。
意識レベル低下の原因はどれか。 1 つ選べ。
a 脳血管収縮
b 脈拍数減少
c 心拍出量減少
d 血管透過性亢進
e 副交感神経活動の亢進


解答:a
解説:
テタニー症状である。筋肉のしびれや痙攣、硬直がおこること。
過換気症候群でよく見られる。
過換気症候群:過呼吸のこと。呼吸性アルカローシス。酸素分圧が増え、二酸化炭素分圧が減少する。交感神経優位になる。
脳の血管が収縮し、血流が少なくなるので意識レベルが低下した。
118回 A-67
75 歳の男性。下顎左側臼歯部の疼痛を主訴として来院した。 3 か月前に自覚し、徐々に増悪してきたという。10 年前に人工弁置換術を受けており、 5 年前から血液透析を受けているという。ワルファリンカリウムを服用している。診察の結果、下顎左側第一大臼歯の抜去を行うこととした。初診時の腕の写真(別冊No. 20A)とエックス線画像(別冊No. 20B)を別に示す。


適切な対応はどれか。 2 つ選べ。
a PT-INR の確認
b 透析翌日の抜歯
c 左上腕での血圧測定
d ワルファリンカリウムの休薬指示
e 抜歯後からのアモキシシリン水和物投与

解答:a b
解説:
A:左腕にシャントが作られている。血圧を測るのは逆の手で。
ワルファリンカリウムは抗凝固剤で血液をサラサラにする薬。なのでPT-INRの確認は必要。休薬は危険。
e:予防投与は術前
b:透析患者の外科処置は透析翌日に行うのが良い。透析には抗凝固薬が入っているため当日は避ける。
117回 A-6
ある装置の製作に用いた石膏模型(別冊No. 2A)と装置の写真(別冊No. 2B)を別
に示す。

改善されるのはどれか。 1 つ選べ。
a 構 音
b 呼 吸
c 哺 乳
d 口唇閉鎖
e 鼻咽腔閉鎖

解答:c
解説:
Hotz床のこと。
模型から口蓋裂だと分かる。⇒裂部を埋める装置⇒ホッツ床
117回 A-18
水平位での抜歯時に歯が口腔内に落下した。
まず行うのはどれか。 1 つ選べ。
a 閉口させる。
b 患者を起こす。
c うがいをさせる。
d 顔を横に向かせる。
e 誰かを呼びに行く。

解答:d
解説:
飲み込まないように横を向いて。
117回 A-32
転倒により生じた 2 歳男児の舌の裂創に対して、全身麻酔下に縫合処置を行う
こととした。
用いる縫合糸の材質で適切なのはどれか。 1 つ選べ。
a シルク
b ナイロン
c ポリエステル
d ポリプロピレン
e ポリグリコール酸

解答:e
解説:

抜糸するのは小児のストレス。じっとしていられないから全身麻酔した?
117回 A-35
40 歳の女性。左側頰部の疼痛を主訴として来院した。 1 週前に自転車で転倒し、
顔面を強打したという。同部の腫脹と知覚鈍麻を認め、開口量は 20 mm である。
初診時のエックス線画像(別冊No. 11A)、CT(別冊No. 11B)及び 3D-CT(別冊
No. 11C)を別に示す。

知覚鈍麻の直接的原因と考えられる骨折線はどれか。 1 つ選べ。
a ア
b イ
c ウ
d エ
e オ

解答:e
解説:
頬の知覚鈍麻がキーワード。頬あたりを支配してる神経は三叉神経の上顎神経。骨折線あたりの上顎神経の枝は眼窩下神経。オのあたり。眼窩下孔からでているのでオが正解。
117回 A-48
リンパ組織を伴うのはどれか。 2 つ選べ。
a 鰓囊胞
b 歯肉囊胞
c Warthin 腫瘍
d 歯原性線維腫
e 鼻口蓋管囊胞

解答:a c
解説:
鰓囊胞⇒胎生期の鰓裂に起源がある
Warthin腫瘍、ワルチン腫瘍⇒腺リンパ腫。耳下腺に好発。リンパ組織性間質からなる。
歯肉嚢胞⇒子供の上皮真珠
117回 A-55
57 歳の女性。全身麻酔下に顎骨囊胞摘出術を行うこととした。来院時の手の写
真(別冊No. 20)を別に示す。内服している薬剤を表に示す。
・メトトレキサート
・ロキソプロフェンナトリウム水和物

周術期に特に留意すべきなのはどれか。 1 つ選べ。
a 顎骨壊死
b 骨髄抑制
c 悪心・嘔吐
d 深部静脈血栓症
e 播種性血管内凝固症候群〈DIC〉

解答:a
解説:
メトトレキサート⇒関節リウマチ治療薬
ロキソプロフェンナトリウム⇒ロキソニン(NSAIDs)痛み止め
関節リウマチ:関節が炎症をおこして軟骨や骨が破壊されている。自己免疫疾患。 メトトレキサートには免疫を抑制する働きがある。
リンパ増殖性疾患の一種として顎骨壊死を引き起こす可能性がある。
117回 A-80
舌小帯の短縮で考えられる構音の異常はどれか。 2 つ選べ。
a 「ア」
b 「サ」
c 「パ」
d 「マ」
e 「ラ」

解答:b e
解説:タサラなどが舌足らずになってしまう。舌を長く出せないため。
117回 B-17
( ) is an odontogenic tumor.
( )に入るのはどれか。 1 つ選べ。
a Lipoma
b Fibroma
c Osteoma
d Cementoblastoma
e Pleomorphic adenoma

解答:d
解説:
odontogenic:歯
tumor:腫瘍
つまり歯原性腫瘍
a Lipoma ⇒脂肪腫
b Fibroma ⇒線維腫
c Osteoma ⇒骨腫
d Cementoblastoma ⇒セメント芽腫
e Pleomorphic adenoma ⇒多形性腺腫
117回 B-25
口底部の腫瘤の H-E 染色病理組織像(別冊No. 4)を別に示す。
診断名はどれか。 1 つ選べ。

a ラヌーラ
b 類皮囊胞
c 類表皮囊胞
d 甲状舌管囊胞
e リンパ上皮性囊胞

解答:c
解説:
正角化重層扁平上皮。上皮下には線維性結合組織。角化部物質も見られるが皮膚の附属器らしきものはない。
以上から類表皮嚢胞。
ラヌーラ:粘液嚢胞。導管が見られる。
類皮嚢胞:角化重層扁平上皮、線維性結合組織。嚢胞壁は脂肪や汗腺などの皮膚附属器が見られる。
甲状舌管嚢胞:繊毛円柱上皮
リンパ上皮性囊胞:リンパ球が見られるはず
117回 B-26
56 歳の男性。睡眠時無呼吸症の診断のもと、内科から口腔内装置製作を依頼さ
れて来院した。製作した装置の写真(別冊No. 5A)と装着時の口腔内写真(別冊
No. 5B)を別に示す。

この装置の使用で期待できるのはどれか。 1 つ選べ。
a 顎関節の安静
b 喉頭口の狭窄
c 舌の前方移動
d 鼻呼吸流量の低下
e 肺コンプライアンスの増大

解答:c
解説:
マウスピース、オーラルアプライアンスの問題。
下顎を前に出して舌根の沈下を防ぐ。気道を狭めず、つまり気道を開くためにつける。
117回 B-55
14 歳の男子。下顎左側臼歯部の歯肉の腫脹を主訴として来院した。 3 か月前か
ら自覚していたが、徐々に増大してきたという。初診時の口腔内写真(別冊No. 17
A)、エックス線画像(別冊No. 17B)、CT(別冊No. 17C)及び生検時の H-E 染色
病理組織像(別冊No. 17D)を別に示す。

診断名はどれか。 1 つ選べ。
a 顎骨中心性癌
b 歯原性線維腫
c 歯原性粘液腫
d エナメル上皮腫
e 歯原性角化囊胞

解答:d
解説:
歯肉が腫脹している。パノラマから歯根吸収、境界明瞭な透過像、CTから骨の中で膨隆しているのが分かる。
病理組織像から小さなろほう状のものが見られる。エナメル髄様の紡錘形の星芒状の細胞が見られる。
エナメル上皮腫は若い人に多い⇒エナメル芽の細胞の残遺がエナメル上皮腫の原因。歯胚ができている途中の細胞分裂が多いときに見られる。なので年齢が若いほうが分裂が盛んなので若い人に多い。そもそもエナメル上皮は歯がはえるときにしかないので年をとるともうない。
aのがんは悪性腫瘍 なので こんなに境界明瞭 じゃない.
bの歯原性線維腫 はもっと 繊維性の組織が見られる
cの歯原性粘液腫は X 線 画像が特徴的でテニスラケット 状に見える
eは歯原性角化嚢胞は重曹扁平上皮や角化物が見られる
117回 B-80
人工弁置換術を受けた患者の抜歯後に注意すべき症状はどれか。 3 つ選べ。
a 喘 鳴
b 発 熱
c 倦怠感
d けいれん
e 呼吸困難

解答:b c e
解説:
感染性心内膜炎を引き起こす可能性がある。抜歯窩から菌が血液に入り人工弁につくと感染性心内膜炎になってしまう。それにより心不全になったり人工弁がはずれたりする可能性がある。
発熱、倦怠感、呼吸困難のほかに息切れや冷や汗がみられる。
117回 B-83
28 歳の女性。開口困難を主訴として来院した。 2 年前から左側顎関節部の疼痛
を自覚し、近医でスプリント療法を受けていたが、開口量が 2 横指まで減少してき
たという。初診時のエックス線画像(別冊No. 30A)、左側顎関節部の CT(別冊
No. 30B)、MRI(別冊No. 30C)及び切除物の H-E 染色病理組織像(別冊No. 30D)
を別に示す。

診断名はどれか。 1 つ選べ。
a 骨 腫
b 骨肉腫
c 変形性顎関節症
d 滑膜性骨軟骨腫症
e リウマチ性顎関節炎

解答:d
解説:
MRI:関節内に白い不透過像⇒石灰化
病理組織像:分葉状の硝子軟骨結節と軟骨細胞。ピンクのベターとしたものは骨関係
滑膜性骨軟骨腫症⇒関節周囲の滑膜内に生じる腫瘍性の変化により滑膜が骨や軟骨に変化し遊離体を作り、その遊離体が関節の隙間にはさまることで強い痛みが出る、また、可動域も制限される。
aの骨腫は白い不透過像が見られる。病理組織に緻密な骨組織が見られる
bの骨肉腫は骨破壊や骨吸収が見られる。病理組織像では不規則な異形成細胞がみられる。
117回 B-89
23 歳の男性。上顎左側前歯部の疼痛を主訴として来院した。含歯性囊胞と診断
し、埋伏過剰歯抜去・囊胞摘出術を行うこととした。初診時の口腔内写真(別冊
No. 33A)、エックス線画像(別冊No. 33B)及び手術に使用する器具の写真(別冊
No. 33C)を別に示す。


器具を使用する順に並べよ。
解答: ① → ② → ③ → ④ → ⑤
a ア
b イ
c ウ
d エ
e オ

解答: d b e a c
解説:
エ:浸潤麻酔
イ:メス
オ:骨膜剥離子
ア:鋭匙で嚢胞を取る
ウ:持針器で縫合する
117回 C-57
上顎部分切除術が適応となるのはどれか。 1 つ選べ。
a 口蓋隆起
b 多形腺腫
c エプーリス
d 悪性リンパ腫
e 歯原性粘液腫

解答:e
解説:
歯原性粘液腫⇒良性腫瘍だが局所浸潤性のため周囲組織にまで広がる。摘出や掻把では再発しやすいので周囲組織を含めた拡大切除が適当である。
悪性リンパ腫は放射線治療や抗がん剤の反応が良い。
117回 C-62
20 歳の男性。上顎左側大臼歯歯槽部の腫脹を主訴として来院した。 3 か月前か
ら徐々に増大してきたという。同部に軽度の圧痛を認める。初診時の口腔内写真
(別冊No. 24A)、エックス線画像(別冊No. 24B)、CT(別冊No. 24C)及び生検時
の H-E 染色病理組織像(別冊No. 24D)を別に示す。

適切な治療法はどれか。 1 つ選べ。
a 摘出術
b 切開排膿
c 放射線治療
d 上顎洞根治術
e 上顎部分切除術

解答:a
解説:
CTより上顎洞に炎症があり、歯牙が埋伏しているのが分かる。
病理組織像から非角化重層扁平上皮や繊維組織が見られる。
以上から含歯性嚢胞が疑われる。原則摘出術。
117回 C-79
26 歳の男性。左側頰部の腫脹を主訴として来院した。左側耳下腺乳頭の後方部
に可動性、弾性軟の腫瘤を触知する。初診時の造影 CT(別冊No. 34A)、造影
3D-CT(別冊No. 34B)及び MRI(別冊No. 34C)を別に示す。

考えられるのはどれか。 1 つ選べ。
a 血管腫
b 脂肪腫
c 神経鞘腫
d 類皮囊胞
e リンパ管腫

解答:a
解説:
MRI T2強調画像は脂肪抑制画像。
下の画像から左側に白くなっているところがある。液体が貯留している。
また、造影検査から左側の赤くなっているところがあるのが見られる。⇒つまり造影剤が入り込んでいる。⇒血管から入り込んでいる⇒血管腫
117回 C-85
82 歳の男性。下顎埋伏智歯の抜去に先立ち、静脈路を確保した。手術開始時の
輸液製剤の写真(別冊No. 38)を別に示す。そのときの輸液残量を矢印で示す。

成人輸液セット( 1 mL = 20 滴)で 1 分あたりの滴下数を 60 滴に調整した場合、
手術開始 1 時間後の輸液残量はどれか。 1 つ選べ。
a 20 mL
b 70 mL
c 120 mL
d 170 mL
e 220 mL

解答:e
解説:
今輸液パックは500ml入りで4のメモリなので400ml
1分あたり3mmいる。⇒60分180mlいる。
400-180=220
117回 C-87
27 歳の女性。上下顎前突を主訴として来院した。顎変形症と診断され、術前矯
正治療が終了し、上下顎の顎矯正手術を行った。手術前後のパノラマエックス線画
像(別冊No. 40A)と側面頭部エックス線規格写真(別冊No. 40B)を別に示す。

手術名の略語を示す。
LFⅠ :Le FortⅠ型骨切り術
IVRO:下顎枝垂直骨切り術
SSRO:下顎枝矢状分割術
実施した術式の組合せで正しいのはどれか。 1 つ選べ。
上 顎 下 顎
a LFⅠ IVRO
b LFⅠ SSRO
c 前歯部歯槽骨切り術 IVRO
d LFⅠ+前歯部歯槽骨切り術 IVRO
e LFⅠ+前歯部歯槽骨切り術 SSRO

解答:e
解説:
プレートが入っていることが分かる。
LF1:上顎骨を骨切り後に移動する。鼻腔の下で水平に骨切り
IVRO:下顎骨体を垂直に切る
SSRO:そぎおとすように切っている
骨折線をよく見てどの切り方か判断する。今垂直に破折線がないのでIVROではない。なのでSSRO。
上顎は前歯部のプレートがあることから前歯部歯槽骨切術。奥のプレートがLF1
117回 D-1
歯槽膿瘍に対して切開・排膿を行った。
この療法はどれか。 1 つ選べ。
a 原因療法
b 根治療法
c 支持療法
d 対症療法
e 保存療法

解答:d
膿瘍を切開・排膿をすることにより症状が緩和されることから対症療法
言葉の問題なので覚えてください。
a:原因療法 ⇒ 原因を治す
b:根治療法 ⇒ 根本的に治す
c:支持療法 ⇒ ガンそのものに伴う症状や治療による副作用や後遺症などによる症状を軽くするための予防・治療法
d:対症療法 ⇒ 症状をやわらげる
e:保存療法 ⇒ 手術療法に対してそれ以外の治療法のこと
117回 D-3
水疱を主徴とするのはどれか。 1 つ選べ。
a 紅板症
b 類天疱瘡
c 口腔カンジダ症
d 肉芽腫性口唇炎
e 壊死性潰瘍性歯肉炎

解答:b
解説:類天疱瘡は水疱が出ます
d:肉芽腫性口唇炎 ⇒ 唇が腫れる
e:壊死性潰瘍性歯肉炎 ⇒ 歯肉の壊死と潰瘍がみられる
117回 D-37
口腔癌の TNM 分類で、頸部リンパ節における節外浸潤〈節外進展〉を示すのは
どれか。 1 つ選べ。
a T4a
b T4b
c N3a
d N3b
e M1

解答:d
解説:
節外浸潤(節外進展)とはリンパ節の外側まで浸潤している状態。
T:原発腫瘍
N:リンパ節転移
M:遠隔転移
N3b ⇒ リンパにのって臓器の外側にまで波及
N3a ⇒ 広がっていない状態
117回 D-42
70 歳の女性。左側舌縁部の知覚鈍麻を主訴として来院した。 3 か月前から徐々
に増悪してきたという。初診時の口腔内写真(別冊No. 10A)、MRI(別冊No. 10B)
及び生検時の H-E 染色病理組織像(別冊No. 10C)を別に示す。
病変の発生部位と病理診断の組合せで正しいのはどれか。 1 つ選べ。
a 顎下腺 多形腺腫
b 顎下腺 腺様囊胞癌
c 舌下腺 粘表皮癌
d 舌下腺 腺房細胞癌
e 舌下腺 腺様囊胞癌


解答:e
解説:
MRIを見てまず場所を考える。耳が写っているので上顎。
病変は口腔内全体で考えると真ん中よりの左側。
なので顎下腺でなく舌下腺だと分かる。顎下腺はもう少し下でも少し端っこ。
病理組織像から、篩状構造の腺様の構造物が見られることから腺様嚢胞癌。
粘表皮癌は粘液産生細胞や類表皮細胞が見られる。
腺房細胞癌は腺房細胞がみられる。
117回 D-61
4 歳の男児。構音の異常を主訴として来院した。診察の結果、外科手術を行うこ
ととした。術中の口腔内写真(別冊No. 17A)、切開線の写真(別冊No. 17B)及び縫
合終了時の写真(別冊No. 17C)を別に示す。
この手術法で正しいのはどれか。 3 つ選べ。
a 咽頭弁を利用する。
b 大口蓋動脈を利用する。
c 口蓋帆挙筋を再建できる。
d 上顎の発育を抑制しにくい。
e 軟口蓋を後方に延長できる。


解答:c d e
解説:
写真BからZ形成していることが分かる。
ファーロー法:軟口蓋の口蓋側と鼻腔側にZ形成をすることで披裂の閉鎖を行う。
Z形成すると軟組織を後方に伸ばすことができる。
写真Aから息が鼻に抜けていることによる構音異常だとわかる。
a 咽頭弁を利用する。 ⇒咽頭からは伸ばしていない
b 大口蓋動脈を利用する。⇒口の口蓋側を走っている。Z形成をすると切れてしまう可能性も。その場合止血が必要。
c 口蓋帆挙筋を再建できる。⇒咽頭の横の筋。
d 上顎の発育を抑制しにくい。⇒硬組織の露出をしないから。
e 軟口蓋を後方に延長できる。⇒後ろに伸ばせる。
117回 D-63
28 歳の女性。右側舌縁部の接触痛を主訴として再来院した。 3 年前に同様の症
状があり、生検と 7 6 舌側咬頭の削合を行った。その後、痛みが消失したため通
院が途絶えていたが、 1 年前から再び同部に仏痛を自覚しているという。初診時の
口腔内写真(別冊No. 18A)、生検時(矢印)の H-E 染色病理組織像(別冊No. 18B)、
再来院時の口腔内写真(別冊No. 18C)及び生検時の H-E 染色病理組織像(別冊
No. 18D)を別に示す。

初診時と再来院時の診断名の組合せで正しいのはどれか。 1 つ選べ。
初診時 再来院時
a 乳頭腫 扁平上皮癌
b 白板症 褥瘡性潰瘍
c 褥瘡性潰瘍 扁平上皮癌
d 口腔扁平苔癬 カンジダ性口内炎
e カンジダ性口内炎 白板症

解答:c
解説:
病理組織像からリンパ球の浸潤が見られる。このことから炎症が起こっていることがわかる。
また、癌真珠も見られる。⇒扁平上皮癌
初診のときから、76を削合しているので機械的刺激を除去したと考えられる。潰瘍だったが機械的刺激が持続することによって扁平上皮癌になったと思われる。
117回 D-75
下顎右側の腫脹を主訴とする患者のエックス線画像(別冊No. 25A)、CT(別冊
No. 25B)及び MRI(別冊No. 25C)を別に示す。
最も疑われるのはどれか。 1 つ選べ。
a 骨肉腫
b 慢性骨髄炎
c 単純性骨囊胞
d エナメル上皮腫
e 腺腫様歯原性腫瘍


解答:d
解説:
境界明瞭な多房型の透過像が見られる。
T2強調画像なので中身は液体
右下56は歯根吸収が見られる。
a 骨肉腫 :境界不明瞭
b 慢性骨髄炎 :サンレアピアランス
c 単純性骨囊胞 :歯根を避けるように広がる。中身は空洞のときも多く液体や血液があることも。
d エナメル上皮腫 :〇
e 腺腫様歯原性腫瘍 :石灰化物が見られる
117回 D-77
20 歳の女性。下顎前突を主訴として来院した。中学生のころから自覚している
という。外科的矯正治療の適応と診断した。下顎枝矢状分割術後に行う手術の切開
線を示した口腔内写真(別冊No. 27A)と術中写真(別冊No. 27B、C、D)を別に
示す。
この手術の合併症で注意が必要なのはどれか。 3 つ選べ。
a 開口障害
b 口笛不能
c 呼吸困難
d 歯根の損傷
e 下唇の知覚鈍麻


解答:c d e
解説:
a 開口障害 :筋肉を傷つける手術ではないので大丈夫。SSROとかは気をつけて。
b 口笛不能 :唇の運動で顔面神経支配。顔面神経は顔の横の表層を走っているので傷つける心配はあまりない。
c 呼吸困難 :出血が下に流れて首回りにたまってしまうと呼吸困難の危険性があがる。止血が大事
d 歯根の損傷
e 下唇の知覚鈍麻 :オトガイ神経に気をつけて
117回 D-80
28 歳の女性。下顎第三大臼歯部の疼痛を主訴として来院した。歯科治療に対す
る恐怖心が強いため、静脈内鎮静下に下顎第三大臼歯の抜去を行うこととした。左
前腕に静脈路を確保したところ、顔面蒼白となり意識が消失した。そのときの生体
情報モニタ画面の写真(別冊No. 29)を別に示す。
まず行うべき処置はどれか。 1 つ選べ。
a 電気的除細動
b ミダゾラムの投与
c 胸骨圧迫心マッサージ
d プロポフォールの投与
e ニカルジピン塩酸塩の投与


解答:c
解説:
心電図から HR:心拍数が0
で、まず行うべき処置は すぐに胸骨圧迫心マッサージ!!
電気的除細動=AED
ミタゾラムは鎮静薬
ニカルジピンは高血圧の薬
117回 D-85
皮膚科から歯科での検査を勧められた女性の鼻のシミの画像(別冊No. 31A)、
エックス線画像(別冊No. 31B)及び CT(別冊No. 31C)を別に示す。
顎骨内の病変で疑われるのはどれか。 1 つ選べ。
a 歯原性線維腫
b 粘液貯留囊胞
c 歯原性角化囊胞
d 線維性異形成症
e 石灰化歯原性囊胞


解答: c
解説:
Bのパノラマ:境界明瞭な歯を含む透過像が見られる。上顎の両側の上顎洞付近に歯を含んでいる。
CT:両側の上顎洞が灰色。右側は鼻腔まで炎症が広がっている。
皮膚の写真:母斑が見られる。
以上から基底細胞母斑症候群。これは二分肋骨や手足の母斑、大脳鎌の石灰化なども見られる。歯の移動も多い。
116回 A-6
膿瘍切開の指標となるのはどれか。 1 つ選べ。
a CRP
b 波 動
c 発 赤
d 自発痛
e 白血球数

解答:b
解説:
波動⇒膿瘍内部の液体がふくれて貯留しているのいが分かる状態。これが切開の目安。
CRPとか白血球数などの血液検査してから膿瘍の処置は遅い。
116回 A-22
耳下腺病変の切除物の H-E 染色病理組織像(別冊No. 1)を別に示す。

腫瘍細胞の特徴はどれか。 2 つ選べ。
a 杯細胞の出現
b 脂肪滴の形成
c 好酸性の細胞質
d 扁平上皮の出現
e ミトコンドリアの増加

解答:c e
解説:
ワルチン腫瘍である。
①好酸性の上皮細胞
②リンパ組織性の間質
③上皮の乳頭状の増殖
④上皮の内側は高円柱状の細胞、外側は立方状の細胞がみられる

116回 A-35
上顎洞底挙上術に用いる骨移植材料で、挙上した高さが維持できるのはどれか。
2 つ選べ。
a 自家骨
b β-TCP
c ウシ脱灰焼成骨
d ハイドロキシアパタイト
e リン酸オクタカルシウム

解答:c d
解説:
abeは吸収性の材料なので無理。
116回 A-38
頸部郭清術後の創部にドレーンを留置する目的はどれか。 1 つ選べ。
a 創部の洗浄
b 抗菌薬の投与
c 排膿路の確保
d 創部出血の防止
e 貯留滲出液の排出

解答:e
解説:
ドレーン⇒体内に溜まった内容物を体外に出すためのもの
cの排膿路の確保だが、そもそも膿ができてはダメ。
116回 A-44
72 歳の男性。左側上唇の変色を主訴として来院した。 5 年前から自覚していた
が、徐々に膨隆し、頻繁に誤咬するようになったという。膨隆部は硬結を触知し、
圧痛を認める。初診時の顔貌写真(別冊No. 9A)、口腔内写真(別冊No. 9B)、MRI
T1 強調像(別冊No. 9C)及び生検時の H-E 染色病理組織像(別冊No. 9D)を別に示
す。


診断名はどれか。 1 つ選べ。
a 血 腫
b 血管腫
c 悪性黒色腫
d 色素性母斑
e メラニン色素沈着症

解答:c
解説:
皮膚⇒母斑が見られる。境界不明瞭。メラノーマは境界が不明瞭。
ほくろ(色素性母斑のこと)は境界明瞭なので違う。d eはふくらまない。
病理組織像⇒メラニンがみられる細胞が浸潤性に増殖している。
硬結⇒血腫や血管腫はやわらかい
116回 A-47
口底部の腫脹を主訴として来院した患者の口腔内写真(別冊No. 11A)、MRI T1
強調横断像(別冊No. 11B)及び脂肪抑制 T2 強調横断像(別冊No. 11C)を別に示す。

最も考えられるのはどれか。 1 つ選べ。
a 脂肪腫
b 神経鞘腫
c ラヌーラ
d 類表皮囊胞
e 甲状舌管囊胞

解答:a
解説:
MRI T1強調画像⇒脂肪強調
MRI T2強調画像⇒液体強調、水や出血など
Bの画像⇒口底部の左側の白いところ⇒脂肪と考えられる
116回 A-51
深部静脈血栓症の既往がある患者の歯科治療中に特に注意すべきなのはどれか。
2 つ選べ。
a 胸 痛
b 喘 鳴
c 冷 汗
d けいれん
e 呼吸困難

解答:a e
解説:
深部静脈血栓症⇒足から心臓に戻る血管に血栓がある状態。心臓に血栓が届いてしまう可能性がある
座りっぱなしだとエコノミー症候群になりやすい。つまり血流が悪くなり血栓ができやすい。
a 胸 痛:心臓に血栓がつまるため
bcdは血栓に関係ない
e 呼吸困難:肺に血栓がつまるとなる
116回 A-55
6 歳の女児。下顎の膨隆を主訴として来院した。かかりつけ歯科医のエックス線
検査で異常を指摘されたという。下顎左側乳臼歯部に骨様硬の膨隆を触知するが圧
痛はない。初診時の口腔内写真(別冊No. 14A)、エックス線画像(別冊No. 14B)、
CT(別冊No. 14C)及び H-E 染色病理組織像(別冊No. 14D)を別に示す。

診断名はどれか。 1 つ選べ。
a 歯牙腫
b 線維性異形成症
c セメント芽細胞腫
d 石灰化上皮性歯原性腫瘍
e セメント質骨性異形成症

解答:a
解説:
写真B⇒境界明瞭な歯牙様硬組織の不透過像がみられる
写真C⇒硬組織の何か
写真D⇒歯のような病理組織像がみられる
よって歯牙腫。Dが決め手か。
116回 A-59
上顎腫瘍切除術後の口腔内写真(別冊No. 16A)、補綴装置の写真(別冊No. 16
B)及び装着時の口腔内写真(別冊No. 16C)を別に示す。

この装置によって改善されるのはどれか。 2 つ選べ。
a 構 音
b 味 覚
c 開口量
d 唾液分泌量
e 口唇の豊隆度

解答:a e
解説:
塞栓子⇒欠損部を埋めるためのもの。ということがわかると選べる。
116回 A-62
40 歳の女性。左側頰部の腫脹を主訴として来院した。30 分前にかかりつけ歯科
医で下顎左側埋伏智歯の抜去直後から腫脹が出現したため、紹介された。初診時の
顔貌写真(別冊No. 18A)、CT(別冊No. 18B)及び抜歯前のエックス線画像(別冊
No. 18C)を別に示す。

適切な対応はどれか。 2 つ選べ。
a 頰部圧迫
b 抗菌薬投与
c 抗ヒスタミン薬投与
d アドレナリン筋肉注射
e バイタルサインの確認

解答:b e
解説:
皮下気腫が疑われる。皮下組織の中に空気が入ったことが原因か?
a 頰部圧迫:腫れてるのに圧迫しないで
b 抗菌薬投与:感染防止のため〇
c 抗ヒスタミン薬投与:アレルギーではないので×
d アドレナリン筋肉注射:血圧が下がっているわけではない、ショックではないので×
e バイタルサインの確認:呼吸困難がおこることもあるのでバイタルチェックはしたい〇
116回 A-64
46 歳の女性。硬口蓋の腫脹を主訴として来院した。 2 週前に自覚したが自発痛
はないという。左側硬口蓋に境界明瞭な膨隆を認める。初診時の口腔内写真(別冊
No. 20A)、エックス線画像(別冊No. 20B)、脂肪抑制造影 MRI T1 強調像(別冊
No. 20C)及び生検時の H-E 染色病理組織像(別冊No. 20D)を別に示す。


診断名はどれか。 1 つ選べ。
a 口蓋膿瘍
b 多形腺腫
c 粘表皮癌
d 腺房細胞癌
e 腺様囊胞癌

解答:c
解説:
MRI:左側に白い不透過像が見える
病理組織像:丸い泡状の粘液産生細胞
a 口蓋膿瘍:炎症性細胞があるはず。肉芽組織やリンパ球など
b 多形腺腫:筋上皮細胞と線上皮細胞の2層性の腺腔様の構造
c 粘表皮癌
d 腺房細胞癌:線維性の隔壁と漿液性腺房様細胞
e 腺様囊胞癌:篩状構造(レンコンのような)や腺管構造がみられる
116回 A-66
かかりつけ歯科医でエックス線異常像を指摘されて来院した患者のエックス線画
像(別冊No. 22)を別に示す。自覚症状はなく、腫脹も認められない。下顎両側中
切歯は歯髄電気診で生活反応を示した。

適切な対応はどれか。 1 つ選べ。
a 経過観察
b 抜 髄
c 摘 出
d 抜 歯
e 下顎辺縁切除

解答:a
解説:
セメント質骨異形成症の疑い。根尖に丸い不透過像があり周りを透過像が囲んでいる。これが最終形態。治療は必要なし。初めは透過像だけだったが次第に不透過性が亢進される。
116回 A-81
76 歳の男性。周術期の口腔機能管理の依頼のため来院した。大動脈弁狭窄症の
診断で 4 日後に全身麻酔下の大動脈弁置換術が予定されているという。上下顎残存
歯の動揺を認めたが、 顎関節症状は認めなかった。 口腔内装置の写真(別冊
No. 31)を別に示す。

この装置の目的はどれか。 1 つ選べ。
a 咬合の改善
b 出血の予防
c 審美性の回復
d 感染性心内膜炎の予防
e 気管挿管時の有害事象の予防

解答:e
解説:
スプリント。
全身麻酔は気管挿管をする必要がある。気管チューブが歯に当たってしまうと、歯の損傷や動揺、破折してしまうかもしれない。歯を守るためにスプリントをする。
116回 A-83
歯周形成手術前後の口腔内写真(別冊No. 33)を別に示す。

矢印部に行った手術に使用したのはどれか。 2 つ選べ。
a メ ス
b 縫合糸
c 骨ヤスリ
d シックル型スケーラー
e クレーンカプランポケットマーカー

解答:a b
解説:小帯に異常がみられる。メスで切って小帯を適切な位置に縫合する。
eはポケット底に印記するためのもの。
116回 A-87
唇裂に対して初回の口唇形成術を行う時期はどれか。 1 つ選べ。
a 3 ~ 6 か月
b 8 ~12 か月
c 1 歳 6 か月~ 2 歳
d 3 ~ 4 歳
e 5 ~ 6 歳

解答:a
解説:
Hotz床(生後一カ月以内)哺乳するため
↓
3~6カ月 口唇形成術:哺乳するため。全身麻酔に耐えられるようになったら手術する。新生児期は創傷治癒が良好である。軟骨が柔らかく鼻軟骨の修正が容易である。
↓
1~2才 口蓋形成術:言語を話すようにするため
↓
4~6才 言語治療の開始
↓
8~10才 顎裂部の骨移植。犬歯側切歯の萌出誘導のため
↓
18才以上 鼻口唇などの修正手術
116回 B-2
顎骨内に発生した囊胞の H-E 染色病理組織像(別冊No. 2)を別に示す。

診断名はどれか。 1 つ選べ。
a 歯根囊胞
b 含歯性囊胞
c 歯原性角化囊胞
d 側方性歯周囊胞
e 石灰化歯原性囊胞

解答:c
解説:
歯原性角化嚢胞⇒基底細胞の円柱状、立方状の柵状配列が見られる。錯角化重層扁平上皮。
a 歯根嚢胞:非角化重層扁平上皮。肉芽組織、線維性結合組織からなる。感染がおこって炎症性の反応を繰り返してできる。炎症性のためリンパ球が見られる。
b 含歯性囊胞:非角化扁平上皮。上皮下は線維性結合組織。
c 歯原性角化囊胞:錯覚化扁平上皮。柵状構造
d 側方性歯周囊胞:上皮が限局性に肥厚、もりあがっているところがある。
e 石灰化歯原性囊胞:上皮に特徴的な幻影細胞(ゴースト細胞)が見られる。
116回 B-23
20 歳の女性。下顎右側大臼歯部の腫脹を主訴として来院した。 3 か月前から
徐々に増大してきたという。同部は骨様硬で軽度の圧痛を認める。初診時の口腔内
写真(別冊No. 6A)、エックス線画像(別冊No. 6B)、CT(別冊No. 6C)、MRI(別
冊No. 6D)及び生検時の H-E 染色病理組織像(別冊No. 6E)を別に示す。

適切な治療はどれか。 1 つ選べ。
a 開窓後摘出
b 皮質骨除去術
c 下顎辺縁切除術
d 下顎区域切除術
e 放射線療法

解答:d
解説:
X線画像→境界明瞭な多房性の透過像。テニスラケット状?
CT画像→T1強調画像は液体が強調される。なので液体?脂肪ではない。Cの写真から骨吸収が見られる。
病理組織像→紡錘状細胞、細胞間基質から粘液腫様の組織
以上から歯原性粘液腫だと疑われる。
骨内にはいりこんでいるため下顎区域切除術が適当。
116回 B-32
抗血小板療法中の患者の抜歯において、内科主治医との医療連携に必要なのはど
れか。 4 つ選べ。
a 原疾患の状態
b 服用薬の種類
c PT-INR の確認
d 抜歯の侵襲程度
e 局所麻酔薬の種類

解答:a b d e
解説:
抗血小板療法⇒血小板の作用を抑制して血液サラサラ→血栓予防。しかし抜歯するときに血が止まりにくい。→抜歯するときは投薬STOPか?
c PT-INR の確認:プロトロンビン時間。血液が凝固するまでにどれだけ時間がかかったか。→血のかたまりにくさが分かる。
e 局所麻酔薬の種類:シタネスト→アドレナリンが入っていない。血圧上昇を予防。
116回 B-41
歯肉縁下にある下顎第一大臼歯の残根抜去時に、挺子を使用するために行うのは
どれか。 3 つ選べ。
a 歯根の分割
b 皮質骨の骨切り
c 歯根周囲の骨削除
d 粘膜骨膜弁の剝離
e Partsch の歯肉切開

解答:a c d
解説:
歯根に挺子をひっかける場所がほしい。なので歯根をむき出しにするacdが正解
b 皮質骨の骨切り:矯正で歯をうごかすときにすることが多い。
e Partsch の歯肉切開:嚢胞摘出のとき
116回 B-42
右側口底部の違和感を主訴として来院した患者の、初診時の口腔内写真(別冊
No. 15A)とエックス線画像(別冊No. 15B)を別に示す。

インフォームドコンセントにおいて、治療を行わない場合の説明で適切なのはど
れか。 1 つ選べ。
a 「口が乾く可能性があります」
b 「顎の下が腫れる可能性があります」
c 「口が開かなくなる可能性があります」
d 「舌が動きにくくなる可能性があります」
e 「舌の感覚が鈍くなる可能性があります」

解答:b
解説:
顎の外にできる硬組織+唾液腺が腫れているので唾石と分かる。
唾液の排出が阻害されて顎下部の疼痛や腫れがおこる。
116回 B-60
78 歳の男性。右側舌縁部の疼痛を主訴として来院した。 6 か月前に自覚し、か
かりつけ歯科医で副腎皮質ステロイド軟膏の処方を受けているが、再発を繰り返し
ているという。50 年間毎日 20 本以上喫煙しており、飲酒歴はない。初診時の舌縁
の写真(別冊No. 21)を別に示す。

適切な対応はどれか。 3 つ選べ。
a 細胞診
b 禁煙支援
c 舌部分切除
d 抗菌薬の投与
e 歯の鋭縁の確認

解答:a b e
解説:
舌癌疑いなのでabe
c 舌部分切除:精査してから
d 抗菌薬の投与:何が原因が分からないのに?!
116回 B-66
44 歳の女性。口蓋の腫脹部の精査を希望して来院した。かかりつけ歯科医で指
摘されたという。口蓋に弾性軟から中等度、無痛性の腫瘤を認める。初診時の口腔
内写真(別冊No. 25A)、CT(別冊No. 25B)、MRI(別冊No. 25C)及び H-E 染色病
理組織像(別冊No. 25D)を別に示す。


診断名はどれか。 1 つ選べ。
a 血管腫
b 線維腫
c 乳頭腫
d 多形腺腫
e 粘表皮癌
f 腺様囊胞癌
g 扁平上皮癌
h Warthin 腫瘍

解答:d
解説:
病理組織:

MRI:T2強調で白いので液体とわかる。
CT:膨れているけれど皮質骨の骨破壊はない。⇒悪性腫瘍ではない。
116回 B-81
下唇の異常を主訴として来院した女性の口唇の写真(別冊No. 33)を別に示す。

2 か月前からしみるような接触痛の出現と消退を繰り返しているという。
診断の確定に必要なのはどれか。 2 つ選べ。
a 抗 CCP 抗体
b 抗 BP180 抗体
c 好中球機能検査
d マイコプラズマ抗体
e 抗デスモグレイン抗体

解答:b e
解説:
水疱とびらんが下唇にみられる⇒天疱瘡や類天疱瘡か?
a 抗 CCP 抗体:関節リウマチ
b 抗 BP180 抗体:類天疱瘡で陽性となる
c 好中球機能検査:細菌感染を調べる
d マイコプラズマ抗体
e 抗デスモグレイン抗体:天疱瘡
116回 D-77
56 歳の女性。下顎左側臼歯部の痛みと歯の動揺を主訴として来院した。 2 か月
前から疼痛を自覚し、次第に動揺してきたという。下顎左側臼歯部に 42 × 20 mm
大の腫瘤を認め、生検の結果は扁平上皮癌であった。FDG-PET/CT で遠隔転移を
認めなかった。初診時の口腔内写真(別冊No. 31A)、エックス線画像(別冊No. 31
B)及び FDG-PET/CT(別冊No. 31C)を別に示す。

TNM 分類(UICC2017)はどれか。 1 つ選べ。
a T1N2bM0
b T2N1M1
c T3N2aM1
d T4aN2bM0
e T4bN3aM0

解答:d
解説:
T:癌の広がり
N:リンパ節転移 N0:なし N1:3cm以下。一つのリンパ節に転移。癌と同側 N2:6cm以下。2つ以上のリンパ節の転移。癌と同側 N3:6cm以下。リンパ節の転移。癌と同側と反対側に。
M:遠隔転移
下顎左側臼歯部に 42 × 20 mm⇒4cmをこえているのでT4a
遠隔転移なし⇒M0
FDG-PET⇒癌の広がり具合、転移場所が分かる検査。今、左側(癌と同じ側)に複数リンパ節転移しているのが分かる。そして、6cm以下なのでN2b
T4bほど浸潤していない。
116回 B-80
下顎骨骨折の観血的整復固定術後の口腔内写真(別冊No. 32)を別に示す。

この処置の目的はどれか。 2 つ選べ。
a 咬合の緊密化
b 異常癒着の防止
c 術後感染の予防
d 術後腫脹の軽減
e 顎関節脱臼の予防

解答:a b
解説:
顎間固定:上と下の歯列をワイヤーゴムなどで固定⇒口が開けれなくなる写真の状態
かみ合わせがずれてしまう…。上顎に合わせて正常な位置にくっつけるのが目標。
a 咬合の緊密化:噛み合わ。がずれてしまうため、咬合を維持するためにする。
b 異常癒着の防止:固定した骨がずれないように正常な位置にする。腫れとか疼痛を防ぐことにもなる。
116回 B-86
57 歳の男性。上顎右側大臼歯部の疼痛を主訴として来院した。歯科治療に対す
る恐怖心が強いという。 5 年前から慢性腎不全のため血液透析を受けている。診察
の結果、静脈内鎮静法下に 6 の抜歯を行うこととした。初診時の左前腕の写真(別
冊No. 38)を別に示す。

処置時の対応で正しいのはどれか。 1 つ選べ。
a 静脈路は左前腕に確保する。
b 抜歯は血液透析の直後に行う。
c カリウムを含有する輸液製剤を投与する。
d 血圧計のマンシェットは右上腕に装着する。
e 抗菌薬は血液透析の直前に服用するよう指示する。

解答:d
解説:
腕にシャントがみられる。シャント⇒透析を行う際、充分な血液量が確保できるように動脈と静脈を体内or体外でつなぎ合わせた血管のこと。
⇒シャント側の腕は負担をかけないように注意。
b 抜歯は血液透析の直後に行う。:×抗凝固剤を使用しているためダメ
e 抗菌薬は血液透析の直前に服用するよう指示する。:×直後に使用。透析前に抗生剤の点滴だと水分が増えてしまうと低血圧の危険性がある。副作用の予防にもなる。
116回 C-28
12 歳の男児。学校歯科健康診断で異常を指摘されて来院した。初診時の口腔内
写真(別冊No. 6A)、エックス線画像(別冊No. 6B)及び歯科用コーンビーム CT
(別冊No. 6C)を別に示す。


所見として適切なのはどれか。 4 つ選べ。
a 上顎洞に囊胞様病変が認められる。
b 上顎右側第二小臼歯は口蓋側を向いて埋伏している。
c 上顎左側第二乳臼歯は生理的歯根吸収が認められる。
d 下顎右側第二小臼歯は先天欠如である。
e 下顎右側第二乳臼歯は生理的歯根吸収が認められる。

解答:a b c d
解説:
上下顎にEが残っている。10~12歳くらいで抜けるのに。。。
a 上顎洞に囊胞様病変が認められる。:右側に境界明瞭な丸い物がある
b 上顎右側第二小臼歯は口蓋側を向いて埋伏している。:Cの左の写真を見ると口蓋側に向いているのが分かる
c 上顎左側第二乳臼歯は生理的歯根吸収が認められる。:左下5番がでてるから歯根吸収している
d 下顎右側第二小臼歯は先天欠如である。:Bのパノラマより右下Eの下に後継歯がある。
116回 C-32
舌癌の小線源治療時に使用される口腔内装置の写真(別冊No. 9A)と装着時の口
腔内写真(別冊No. 9B)を別に示す。

この装置の使用目的に最も関係が深いのはどれか。 1 つ選べ。
a 距 離
b 遮 蔽
c 酸素効果
d 増感効果
e ブラッグピーク

解答:a
解説:
スペーサーである。舌と下顎の間にスペースを作るための物。
線源(つねに放射線がでている)を入れた後、2週間ほど口腔内に入れたままにするため、被ばく線量を減らすため歯や下顎骨と舌の間に入れて患部と距離を離す。
116回 C-34
38 歳の女性。かかりつけ歯科医のエックス線検査で下顎右側犬歯部の異常を指
摘され、精査を勧められ来院した。 3 に打診痛と動揺はなく、歯肉に炎症所見は
ない。歯髄電気診で生活反応を示した。初診時の口内法エックス線画像(別冊
No. 10A)、パノラマエックス線画像(別冊No. 10B)、歯科用コーンビーム CT(別
冊No. 10C)及び摘出物の H-E 染色病理組織像(別冊No. 10D)を別に示す。


診断名はどれか。 1 つ選べ。
a 線維性異形成症
b セメント芽細胞腫
c 腺腫様歯原性腫瘍
d 石灰化上皮性歯原性腫瘍
e セメント質骨形成線維腫

解答:e
解説:
境界明瞭な透過像の病変の中に不規則な不透過像が見られる。
セメント質とか骨は病理組織像ではべたっとしたピンク色のところ。
a 線維性異形成症:スリガラス状の不透過像。病理組織像では骨様組織像
b セメント芽細胞腫:破セメント細胞が見られる。境界明瞭な不透過像
c 腺腫様歯原性腫瘍:腺管構造がみられる。
d 石灰化上皮性歯原性腫瘍:アミロイド様物質。石灰化物がみられる。
e セメント質骨形成線維腫
116回 C-39
46 歳の男性。開口障害を主訴として来院した。 3 日前に他院で下顎右側第二大
臼歯の抜去後から次第に疼痛と腫脹が増大し、昨日から開口しにくくなってきたと
いう。体温は 38.3℃で、嚥下痛がある。診察の結果、口腔外から切開排膿するこ
ととした。初診時のエックス線画像(別冊No. 12A)、造影 CT(別冊No. 12B)及び
切開部位の模式図(別冊No. 12C)を別に示す。血液検査の結果を表に示す。



適切な切開部位はどれか。 2 つ選べ。
a ア
b イ
c ウ
d エ
e オ

解答:d e
解説:
白血球数とCRPが上昇していることより炎症がおこっているのが分かる。
Bの写真を見比べると、右の方が下の方の写真。(骨がうつっていないから)左の方が下顎骨がうつっていてやや上の方(頭の方)の写真である。
アイは顎骨の外側しかアプローチできない。病変は右側なのでde
116回 C-59
67 歳の女性。下顎左側智歯部の腫脹を主訴として来院した。半年前から自覚し
ていたが、疼痛がないためそのままにしていたという。触診で軽度の圧痛を認め
る。初診時の口腔内写真(別冊No. 23A)、エックス線画像(別冊No. 23B)、CT(別
冊No. 23C)及び生検時の H-E 染色病理組織像(別冊No. 23D)を別に示す。


診断名はどれか。 1 つ選べ。
a 含歯性囊胞
b エナメル上皮腫
c 歯原性角化囊胞
d 腺性歯原性囊胞
e 動脈瘤様骨囊胞

解答:a
解説:
レントゲンもCTも左下8番の歯冠を含む境界明瞭な透過像がみられる。CTでは骨が薄くなっているのが分かる。
病理組織像:非角化の重層扁平上皮と線維性結合組織が見られる。炎症性嚢胞ではないので二層構造を取ることができる。
よってaの含歯性嚢胞。
c 歯原性角化囊胞:角化物がないので×
d 腺性歯原性囊胞:円柱様細胞がない×
116回 C-69
75 歳の女性。上顎左側第一大臼歯の動揺を主訴として来院した。 1 か月前から
徐々に動揺してきたという。頸部に腫大したリンパ節は触れない。初診時の口腔内
写真(別冊No. 26A)、エックス線画像(別冊No. 26B)、CT(別冊No. 26C)及び生
検時の H-E 染色病理組織像(別冊No. 26D)を別に示す。


適切な治療はどれか。 1 つ選べ
a 抜 歯
b 化学療法
c 抗菌薬投与
d 上顎部分切除
e レーザー照射

解答:d
解説:
リンパ節に触れないということはリンパ節転移なし。
病理組織像:癌真珠、炎症性肉芽組織。(リンパ球)
X線:左上67番あたりに境界不明瞭な不透過像がある。
CT:左上上顎洞付近に不透過像。右と比べると上顎度に癌ができているのが分かる。
以上のことから扁平上皮癌である。なので第一選択の上顎部分切除
116回 C-76
嚥下時の違和感を主訴として来院した患者の CT(別冊No. 31A)、MRI T2 強調
像(別冊No. 31B)及び超音波検査の冠状断像(別冊No. 31C)を別に示す。

矢印で示す疾患で考えられるのはどれか。 2 つ選べ。
a 鰓囊胞
b ラヌーラ
c 類表皮囊胞
d 甲状舌管囊胞
e Blandin-Nuhn 囊胞

解答:c d
解説:
MRI T2強調画像は水分、液体を強調!つまり白色!
冠状画像=横断面
Cの写真から喉付近だと分かる。
Bの写真から舌の下方?だと分かる
a 鰓囊胞:頸部あたり
b ラヌーラ:ガマ腫のこと。ガマ腫は舌下腺にできやすい。舌下腺はもっと手前なので違う。
c 類表皮囊胞:舌下型が考えられる
d 甲状舌管囊胞
e Blandin-Nuhn 囊胞:ブランディンヌーン嚢胞は舌の裏の真ん中にできやすい。
116回 C-89
9 歳の女児。右側顎関節雑音を主訴として来院した。 1 年前から右側顎関節部の
開口時のクリック音を自覚するようになったという。咀嚼筋に圧痛はなく、最大開
口量は 45 mm である。初診時の口腔内写真(別冊No. 37A)と両側顎関節部 MRI
(別冊No. 37B)を別に示す。

まず行うのはどれか。 1 つ選べ。
a 咬合調整
b 矯正歯科治療
c NSAIDs の投与
d スプリント療法
e セルフケアの指導

解答:e
解説:
MRI⇒右と左を比べると右の開口時に関節円板が動いていないことによる顎関節症。
閉口時を見ると関節円板(黒く抜けているところ)が前方にあるので関節円板前方転位である。
開口時、関節円板の位置が正しい。閉口時は関節円板がついてこないためにクリック音がする。
a 咬合調整:安易に顎関節症で削ってはいけない。ひどくなることも。
b 矯正歯科治療:×
c NSAIDs の投与:×痛みない
d スプリント療法:「まず」ではない
e セルフケアの指導:まずなのでこっちが〇。自分で下顎の体操をして関節円板の位置を元に戻す。
117回 D-14
慢性化した口腔カンジダ症に関連してみられるのはどれか。 1 つ選べ。
a 硬 結
b 水 疱
c アフタ
d 知覚鈍麻
e 粘膜肥厚

解答:e
解説:
慢性化した口腔カンジダ症⇒肥厚性カンジダ、ぬぐいとれる白斑
白い偽膜が厚くなり粘膜表皮に付着している。粘膜上皮の肥厚、角化亢進
116回 D-35 削除問題
歯肉の違和感を訴え来院した患者の口腔内写真(別冊No. 6A)、エックス線画像
(別冊No. 6B)及びある薬液を用いた反応後の口腔内写真(別冊No. 6C)を別に示
す。

まず行うのはどれか。 2 つ選べ。
a 切開排膿
b 感染根管治療
c 抗菌薬の投与
d 口腔清掃指導
e スケーリング・ルートプレーニング

解答:?
解説:
削除問題だけど一応…
「まず」ろあるが主訴を改善せねばならない。
a 切開排膿:〇主訴の改善
b 感染根管治療:×抜歯症例。根尖病巣はあるが骨吸収もひどいし歯根露出もひどいから抜歯か?
c 抗菌薬の投与:〇主訴の改善。
d 口腔清掃指導:△ これもする必要がある。
e スケーリング・ルートプレーニング:△これもする必要がある。
116回 D-38 除外問題
抜歯創の治癒過程を順に並べよ。
解答: ① ⇒ ② ⇒ ③ ⇒ ④ ⇒ ⑤
a 骨改造
b 仮骨形成
c 血管新生
d 血餅形成
e 肉芽増生

解答:b ⇒ce ⇒ab ?
解説:
選択肢において正解を導けないので除外問題。だけれども一応解説。
d 血餅ができる
c e 幼若肉芽組織が形成され血管が新生される・⇒線維性結合組織に器質化される
ab 仮骨形成+リモデリングによる骨改造が行われる
116回 D-45
48 歳の男性。咬合異常を主訴として来院した。歩道で転倒し、顔面裂傷の処置
を受けたという。初診時のパノラマエックス線画像(別冊No. 13A)、後頭前頭方
向エックス線画像(別冊No. 13B)及び CT(別冊No. 13C)を別に示す。

転倒時に強打したと考えられる部位はどれか。 1 つ選べ。
a オトガイ部
b 右側下顎角部
c 右側顎関節部
d 左側下顎角部
e 左側顎関節部

解答:a
解説:
Cの横断像が分かりやすい。下顎骨のオトガイ部が割れている。
Cの冠状断から下顎頭(両側)も折れているのが分かる。
真ん中のオトガイ部を強打し、その振動で左右の下顎頭が折れてしまったと考えられる。
116回 D-49
58 歳の女性。上顎左側臼歯部の腫脹と鈍痛を主訴として来院した。 1 年前から
自覚し、徐々に増大しているという。同部の歯肉頰移行部に線状の瘢痕を認める。
初診時の口腔内写真(別冊No. 14A)、エックス線画像(別冊No. 14B)、CT(別冊
No. 14C)、穿刺吸引時の内容液の写真(別冊No. 14D)及び生検時の H-E 染色病理
組織像(別冊No. 14E)を別に示す。


診断名はどれか。 1 つ選べ。
a 歯根囊胞
b 上顎洞癌
c 歯性上顎洞炎
d 術後性上顎囊胞
e 上顎洞粘液貯留囊胞

解答:d
解説:
Bパノラマ:左側の臼歯部の歯根付近に透過像が見られる。
C CT:左側の上顎洞に不透過像が見られる。
病理組織像:多列円柱線毛上皮からなり上皮下には炎症性の細胞の浸潤がみられる。線維性結合組織も。
問題文の「線状の瘢痕」⇒上顎洞根治手術の既往
D 黒い液体⇒嚢胞かな?
以上から術後性上顎嚢胞
116回 D-50
11 歳の女児。口蓋裂の診断で 1 歳時に口蓋形成術を受けた。術後、発話時の鼻
漏れが残存し、スピーチエイドを用いた言語訓練を受けてきたが、改善がみられな
い。現在の口腔内写真(別冊No. 15A)、安静時と「ア」発声時の軟口蓋の写真(別冊
No. 15B)及び安静時と「イ」発声時のエックス線画像(別冊No. 15C)を別に示す。

適切な治療はどれか。 1 つ選べ。
a 瘻孔閉鎖術
b 咽頭弁形成術
c 顎裂部骨移植術
d 舌接触補助床の装着
e パラタルリフトの装着

解答:b
解説:
ア:口蓋垂がみられない⇒咽頭弁が短い
イ:発声時に軟口蓋の口蓋垂あたりが鼻咽腔に接触していないことが分かる。つまり隙間が空いている状態。⇒鼻咽腔閉鎖不全
スピーチエイドでは治らなかったのでbの咽頭弁形成術(後ろの咽頭粘膜から咽頭弁を作る)で鼻咽腔を埋める。
116回 D-53
3 日前から 38.5℃の発熱と歯肉腫脹がみられた小児の口腔内写真(別冊No. 17)を別に示す。検査の結果、単純ヘルペスウイルスの感染を認めた。

考えられるのはどれか。 1 つ選べ。
a 水 痘
b 風 疹
c 麻 疹
d 帯状疱疹
e ヘルパンギーナ
f 疱疹性歯肉口内炎

解答:f
解説:
f 疱疹性歯肉口内炎⇒ヘルペス性歯肉口内炎のこと。
a 水痘⇒水疱瘡。水痘帯状疱疹ウイルス
e ヘルパンギーナ⇒コックサッキーウイルス
116回 D-61
左側上顎洞内のエックス線不透過像を指摘された患者のエックス線画像(別冊
No. 23A)と歯科用コーンビーム CT(別冊No. 23B)を別に示す。上顎左側大臼歯
はすべて歯髄電気診で生活反応を示し、動揺や打診痛も認めない。

適切な対応はどれか。 1 つ選べ。
a 経過観察
b 穿刺吸引
c 開 窓
d 摘 出
e 上顎洞根治術

解答:a
解説:
上顎洞の粘液貯留嚢胞である。
A⇒ドーム状の陰影がはっきり見える。上顎洞底の骨はしっかり保たれている。
歯は生きているし症状ないため歯が原因とは考えにくい。
自覚症状がないため経過観察でよい。
116回 D-65
急激な口唇腫脹を呈するのはどれか。 2 つ選べ。
a 粘液囊胞
b 口唇ヘルペス
c 肉芽腫性口唇炎
d アナフィラキシー
e 遺伝性血管性浮腫

解答:d e
解説:
急激とあることからアレルギー反応が考えられる。
なでのdeのアレルギー反応を選ぶ。
abcは徐々に大きくなるので大きくなるまで気づかれにくい。
116回 D-73
65 歳の女性。上顎前歯部の腫瘤を主訴として来院した。 3 か月前から徐々に増
大してきたという。初診時の口腔内写真(別冊No. 26A)、エックス線画像(別冊
No. 26B)及び生検時の H-E 染色病理組織像(別冊No. 26C)を別に示す。

適切な対応はどれか。 1 つ選べ。
a 経過観察
b 抗菌薬投与
c 切 除
d 上顎部分切除
e 放射線療法

解答:c
解説:
病理組織像:非角化重層扁平上皮、肉芽組織、線維性結合組織 がみられる。
⇒上皮と線維性結合組織と炎症から嚢胞?
場所的に歯根嚢胞?
嚢胞を摘出するにはcの切除。
116回 D-79
74 歳の女性。下顎左側犬歯部の歯肉腫脹を主訴として来院した。自発痛および
打診痛はない。初診時の口腔内写真(別冊No. 29A)、口内法エックス線画像(別冊
No. 29B)及び 3 部の歯科用コーンビーム CT(別冊No. 29C)を別に示す。

適切な対応はどれか。 1 つ選べ。
a 経過観察
b 感染根管治療
c 意図的再植
d 歯根尖切除
e 抜 歯

解答:e
解説:
左下3番。
Bの写真⇒歯根内での内部吸収
CのCBCT⇒唇側の壁をつきやぶっている。なので口腔内写真で腫脹でしている。
a 経過観察⇒主訴を無視しないで。
b 感染根管治療⇒破壊された壁は復活しない
e 抜 歯⇒歯根の内部吸収がひどいためもう残すことはできない。
114回 A-7
抜歯後の骨からの持続的な出血に対する適切な止血法はどれか。1つ選べ。
a 緊縛法
b 指圧法
c 栓塞法
d 括約縫合法
e 血管結紮法

解答:c
解説:
a 緊縛法→骨ではない
b 指圧法→問題は骨の中なので×
c 栓塞法〇
d 括約縫合法→骨ではない。周囲の組織を合わせて縫合結紮をする。
e 血管結紮法→骨の抜歯窩
114回 A-24
1か月前に下顎第三大臼歯を抜去し、2週前から頰部の腫脹と痛を自覚するようになった患者のエックス線画像 別冊No. 4A と CT 別冊No. 4B を別に示す。

CT で認められる所見はどれか。4つ選べ。
a 咬筋腫大
b 骨膜反応
c 膿瘍形成
d 腐骨形成
e 皮質骨断裂

解答:a b c e
解説:
Aのパノラマ⇒左下8番の抜歯窩が見られる
BのCT⇒左側の咬筋が膨らんでいる。
a 咬筋腫大:〇
b 骨膜反応:骨髄炎や骨肉腫で見られる
c 膿瘍形成:造影の写真で左側の骨破折部に透過像が見られる→膿瘍かな?
e 皮質骨断裂:骨表示CT横断像で骨が折れていることが分かる。皮質骨表面に骨膜反応が見られる。

114回 A-27
交通外傷で搬送された患者の耳部の写真 別冊No. 7 を別に示す。

疑われるのはどれか。1つ選べ。
a 頰骨骨折
b 顎関節脱臼
c 頭蓋底骨折
d 頭蓋内血腫
e Le FortⅠ型骨折

解答:c
解説:
Battel兆候⇒頭蓋底骨折では耳介後部の斑状皮下出血を認める。
114回 A-29
65 歳の女性。両側頰粘膜の接触時痛を主訴として来院した。10 日前からホジキンリンパ腫に対して血液内科で化学療法を受けている。病変は両側の頰粘膜から口角に及び、易出血性である。初診時の口腔内写真別冊No. 9 を別に示す。

適切な対応はどれか。3つ選べ。
a 口腔の保湿
b 抗真菌薬の投与
c CO2 レーザーの照射
d 創傷被覆保護剤の塗布
e 局所麻酔薬添加含嗽剤の使用

解答:a d e
解説:
接触時痛、易出血性から炎症がおきていることが分かる。
化学療法⇒口内炎や口腔乾燥が副作用で現れる可能性大
a 口腔の保湿 〇
b 抗真菌薬の投与⇒ カンジダは痛くないし出血もない
c CO2 レーザーの照射⇒CO2レーザーよりYAGレーザーの方が口内炎の治療などに用いられる。
d 創傷被覆保護剤の塗布⇒口内炎に 〇
e 局所麻酔薬添加含嗽剤の使用⇒キシロカインアズノールのうがい液のこと〇
114回 A-30
30 歳の男性。下顎の腫脹を主訴として来院した。3年前から自覚していたが無痛性のためそのままにしていたところ、徐々に増大してきたという。初診時のエックス線画像 別冊No. 10A 、MRI T2 強調像別冊No. 10B 及び生検時の H-E 染色病理組織像 別冊No. 10C を別に示す。
診断名はどれか。1つ選べ。

a 粘表皮癌
b 歯原性粘液腫
c エナメル上皮腫
d 石灰化歯原性囊胞
e 腺腫様歯原性腫瘍

解答:c
解説:
パノラマA⇒境界明瞭な透過像
MRI⇒境界明瞭な透過像
病理組織像⇒円柱上皮細胞や立方形の細胞に囲まれたところはエナメル髄のような星状細胞が見られる。星状細胞は細胞同士突起によって連結している。
a 粘表皮癌:粘液産生細胞や類表皮細胞がみられる
b 歯原性粘液腫:星状の線維細胞があるが上皮組織は少ない
c エナメル上皮腫:〇
d 石灰化歯原性囊胞:アミロイド様細胞やゴースト細胞がみられる
e 腺腫様歯原性腫瘍:腺管構造が見られる
114回 A-39
上顎腫瘍切除前後の口腔内写真別冊No. 14 を別に示す。

リハビリテーションに用いるのはどれか。1つ選べ。
a 舌接触補助床
b 上顎部分床義歯
c 軟口蓋挙上装置
d パラタルランプ
e 術後即時顎補綴装置<ISO>

解答:e
解説:
切除後の写真⇒口と鼻がつながっている。
a 舌接触補助床:接触・嚥下のため
b 上顎部分床義歯:咀嚼も×、構音も×、嚥下も× 改善できない。
c 軟口蓋挙上装置:軟口蓋は無事である。
d パラタルランプ:上顎義歯につけるもので咬頭嵌合位を得るためのもの。
e 術後即時顎補綴装置<ISO>:〇 鼻咽腔閉鎖不全が考えられるので閉鎖床であるISOを作る。
114回 A-40
生後8日の男児。唇顎口蓋裂の治療を希望して来院した。診断をした結果、ある装置を製作することとした。初診時の顔貌写真別冊No. 15A 、口腔模型の写真別冊別冊No. 15B 及び製作した装置の写真別冊No. 15C を別に示す。

この装置の目的はどれか。2つ選べ。
a 哺乳の改善
b 軟口蓋の挙上
c 呼吸機能の改善
d 歯槽形態の改善
e 鼻咽腔閉鎖機能の正常化

解答:a d
解説:
口唇裂が見られる。
Hotz床⇒裂け目を防ぐ目的で上顎につける。哺乳のため。骨の成長を誘導して口蓋形成術を行いやすくする。(上顎歯列を正常な位置に誘導する。)
be:軟口蓋の挙上はできないので×
114回 A-56
67 歳の女性。口底部の腫脹を主訴として来院した。数年前から自覚していたが
痛みがないためそのままにしていたところ、最近増大してきたという。初診時の口
腔内写真別冊No. 21A 、MRI 脂肪抑制 T2 強調像別冊No. 21B 、術中の口腔内
写真別冊No. 21C 及び摘出時の H-E 染色病理組織像別冊No. 21D を別に示す。

診断名はどれか。1つ選べ。
a 血管腫
b 脂肪腫
c 平滑筋腫
d リンパ管腫
e 類表皮囊胞

解答:a
解説:
Cから青紫色の腫瘤が見られる。
病理組織像:ピンクの丸は赤血球で血管が見られる。
ちなみに血管腫なので生検してしまうと大量出血の恐れがある。
114回 A-57
33 歳の女性。上顎右側中切歯の違和感を主訴として来院した。20 年前、転倒し
た際に脱臼して再植を受けたが、最近まで自覚症状はなかったという。初診時の歯
科用コーンビーム CT別冊No. 22 を別に示す。

適切な処置はどれか。1つ選べ。
a 抜 歯
b 意図的再植
c 歯根尖切除
d 感染根管治療
e コンポジットレジン修復

解答:a
解説:
歯質があまり残っていないので抜歯⇒根尖性歯周炎である
a 抜 歯:〇
114回 A-64
58 歳の女性。舌の腫脹を主訴として来院した。昨日、他院で下顎前歯部にイン
プラントを埋入し、今朝から舌の腫れを自覚しているという。8年前に心筋梗塞を
発症し、現在も抗血栓療法を受けている。診察の結果、止血処置を行うこととし
た。処置前の口腔内写真別冊No. 24 を別に示す。

止血処置により発症が回避できるのはどれか。1つ選べ。
a 気 胸
b 昏 睡
c 肺塞栓
d 上気道閉塞
e アナフィラキシーショック

解答:d
解説:
血管の損傷によって口腔底に血種、出血の可能性がある。
写真が分かりにくいが、糸がかかっているのが舌。黒色の出血がみられるところが口腔底(すごく腫れている)。二重舌と呼ばれる状態。
糸がかかっている⇒ひっぱている⇒舌根沈下しないようにしている
なので上気道閉塞
114回 A-72
16 歳の男子。下顎右側臼歯部の腫脹を主訴として来院した。か月前に自覚したが、痛みがないためそのままにしていたところ、徐々に増大してきたという。自発痛や下唇の知覚異常は認めない。初診時のエックス線画像別冊No. 29A と生検時の H-E 染色病理組織像別冊No. 29B を別に示す。

適切な治療はどれか。2つ選べ。
a 開 窓
b 皿状形成
c 摘出・搔爬
d 下顎辺縁切除
e 下顎区域切除

解答:a c
解説:
病理組織像⇒上皮に核がないことから角化性扁平上皮
娘嚢胞がみられる(上皮島が見られるときもある)
パノラマ⇒境界明瞭な透過像である
以上から歯原性角化嚢胞
a 開 窓:穴を開けてふくらみを開放する。
b 皿状形成:骨髄炎の治療
c 摘出・搔爬:娘嚢胞を取り残さないようにする。
d 下顎辺縁切除:やりすぎ
e 下顎区域切除:やりすぎ
114回 A-73
下唇の無痛性腫脹を主訴として来院した患者の初診時の顔貌写真別冊No. 30 を別に示す。昨日から自覚しているという。以前にも同様の症状があったが、数日で消退したという。局所の熱感と発赤は認めない。

行うべき検査はどれか。1つ選べ。
a パッチテスト
b プリックテスト
c 血中 C1 インヒビター
d 血中プロカルシトニン
e 末梢血リンパ球表面抗原検査

解答:c
解説:
左側の下唇が腫れている。
クインケ浮腫である(血管性浮腫)⇒原因は1つではない。アレルギー、後天性インヒビター欠損症(リンパ腫などの他の病気に伴っておこるもの)、自己免疫性、壊死性血管炎、遺伝性など
a パッチテスト:遅延型アレルギー
b プリックテスト:即時型アレルギー
c 血中 C1 インヒビター:補体であるC1を抑えるC1インヒビター。凝固・線溶系や浮腫の水分調整に関与する。
d 血中プロカルシトニン:感染マーカー
e 末梢血リンパ球表面抗原検査:HIVとかの検査
DH 32回 午前11
口腔扁平苔癬の特徴はどれか。1つ選べ。
a 無痛性
b 日和見感染
c 頬粘膜に両側性に発現
d 再発性アフタ性潰瘍の形成

解答:c
扁平苔癬は自己免疫疾患である。両側性に白いレース状のものが頬粘膜に現れる。
d再発性アフタ⇒ベーチェット病
DH 32回 午前17
口腔癌の発生部位で最も多いのはどれか。1つ選べ。
a 舌
b 口蓋
c 口唇
d 口腔底

解答:a
解説:
舌癌、歯肉癌、頬粘膜癌 の順に多い。
DH 32回 午前51
38歳の男性。舌の異常を主訴として来院した。1か月前に異常に気付いたが、味覚に変化はなく、痛みやしびれなどの自覚症状はないという。初診時の口腔内写真(別冊午前No.14)を別に示す。

この疾患について正しいのはどれか。1つ選べ。
a 紫斑がみられる。
b 舌乳頭の消失がみられる。
c 口腔潜在的悪性疾患である。
d 鉄欠乏性貧血が原因である。

解答:b
解説:
正中菱形舌炎である。赤いところは舌乳頭が消失している。
鉄欠乏性貧血⇒プランマービンソン症候群
DH 32回 午前52
64歳の女性。下顎左側臼歯部の違和感を主訴として来院した。約1年前から同部に違和感を自覚していたが、2か月前から症状が強くなってきたという。
3年前から糖尿病と骨粗鬆症のため薬物療法を受けている。初診時の口腔内写真(別冊午前No.15)を別に示す。

矢印で示すのはどれか。1つ選べ。
a 水疱
b 腐骨
c 過角化
d びらん

解答:b
解説:
骨粗鬆症⇒BP製剤(ビスホスホネート)を飲んでいる⇒BP製剤の副作用といえば腐骨形成。
薬剤関連顎骨壊死(MRONJ)をおこしている。
DH 32回 午前56
1 歳の女児。萌出した歯の後方部分が腫れているため、精査を希望して来院した。
萌出性嚢胞と診断された。口腔内写真(別冊午前No.18) を別に示す。

主訴の部位に関する説明で正しいのはどれか。1 つ選べ。
a 唾液がたまってしまっています。
b 膿がたまっているのがみえますね。
c 乳歯の奥歯が生えてくるので様子をみましょう。
d 歯をつくったなごりのかたいものが残っていますね。

解答:c
解説:
萌出性嚢胞である。乳歯の萌出時期にできる嚢胞。乳歯が萌出した後に消失するので経過観察である。
DH 32回 午前89
50 歳の男性。入院中の口腔健康管理を行うことになった。5日前に化学療法が終了し、口腔内の痛みで食事摂取が困難であるという。
受診時の写真(別冊午前No.34) を別に示す。

現時点で、摂取しやすいのはどれか。2 つ選べ。
a 冷奴
b ゼリー
c クッキー
d グレープフルーツ

解答:a b
解説:
口蓋部に潰瘍ができているので硬いものやしみるものはNG.
DH 32回 午前91
65歳の男性。下顎右側第二大臼歯がう蝕症第4度と診断され、抜歯を行うことになった。
器具の写真(別冊午前No.35)を別に示す。

準備するのはどれか。2つ選べ。
a ①
b ②
c ③
d ④

解答:b d
解説:
う蝕症第4度ということは残根。残根は②のルートチップを使う。
③は上顎臼歯の鉗子。④は下顎臼歯の鉗子
①はゾンデ。
DH 32回 午後14
器官を模式図に示す。
多形腺腫の好発部位はどれか。1 つ選べ。

a ①
b ②
c ③
d ④

解答:a
解説:多形腺腫は耳下腺が一番多い。
DH 32回 午後32
周術期における入院患者への口腔機能管理の目的はどれか。2 つ選べ。
a 審美性の向上
b 合併症の予防
c 術後回復の促進
d 生活習慣の改善

解答:b c
解説:
周術期とは⇒術前、術中、術後を含めた一連の流れのこと
審美性や生活習慣は周術期のケアとして優先はされていない。
DH 32回 午後33
患者の権利の行使を支援するのはどれか。2 つ選べ。
a アドボカシー
b パターナリズム
c コンプライアンス
d インフォームド・アセント

解答:a d
解説:
a アドボカシー:養護と支持を意味する。特定の問題に関して社会的弱者の権利を擁護したり、主張を代弁したりする活動やその行為。
b パターナリズム:強い立場にある者が弱い立場にある者の利益のために、本人の意思にかかわらずその行動に干渉したり、支援したりする考え方
c コンプライアンス:法令遵守のことをさし、企業や個人が法令や社会的ルールを守ること
d インフォームド・アセント:医師が小児患者に対して病状や治療方針をわかりやすく説明し、本人の同意を得ること
DH 32回 午後34
70 歳の男性。 舌の異常を主訴として来院した。6ヶ月前から気づいていたが放置していたところ、1 か月前から違和感を自覚するようになったという。
確定診断のために局所麻酔下で処置を行った。初診時の口腔内写真(別冊午後No.4 A) と処置後に行った操作の写真(別冊午後No.4 B) を別に示す。

矢印で示す容器に入っているのはどれか。1 つ選べ。
a 滅菌水
b エタノール
c ブドウ糖液
d ホルマリン液

解答:d
解説:
ホルマリン液は組織を固定して腐らないようにする。
DH 32回 午後36
鉛歳の女性。下顎右側第一大臼歯部の歯肉腫脹と排膿を主訴として来院した。
エックス線画像検査を行う直前の口腔内写真(別冊午後No.5) を別に示す。

矢印で示す材料を用いる理由はどれか。1 つ選べ。
a 可塑性
b 接着性
c 造影性
d 生体親和性

解答:c
解説:
排膿が起こっている瘻孔にガッタパーチャ―を入れて、炎症がおこっている部位がどこにあるかX線写真で見る。
なので造影性。
DH 32回 午後49
8 歳の男児。舌下面の異常を主訴として来院した。1 年前から同症状の再発と消失を繰り返しているという。
腫瘤は無痛性である。初診時の口腔内写真(別冊午後No.17)を別に示す。

本病変の内部に含まれるものとして考えられるのはどれか。1 つ選べ。
a 血液
b 粘液
c 角化物
d 線維組織

解答:b
解説:
BlandinNuhn(ブランディンヌーン)嚢胞である。粘液嚢胞である。
ブランディンブーン腺は舌の裏の小唾液腺のことである。
DH 32回 午後51
72 歳の女性。口腔内の白斑を心配して歯科訪問診療の依頼があった。
多発性脳梗塞により2年前から自宅で寝たきりとなっているという。検査の結果、真歯の感染であることがわかった。
初診時の口腔内写真(別冊午後No.19)を別に示す。

対処法はどれか。1 つ選べ。
a 切除
b 口腔清掃
c 消炎鎖痛剤の内服
d ステロイド含有軟膏の塗布

解答:b
解説:
カンジダは口腔清掃不良が原因が多い。真菌なので抗真菌薬で治療。ステロイドは×
DH 32回 午後86
56歳の男性。肺癌のため入院加療中である。骨に癌が転移したためデノスマブを投与中であるという。
口腔内の状況が悪化したため、歯科訪問診療の依頼があった。
口腔内写真(別冊午後No.36)を別に示す。丸で囲んだ部分は患部を示す。

歯科保健指導で適切なのはどれか。2 つ選べ。
a 患部を清潔に保ちましょう。
b 患部はなるべく乾燥させましょう。
c 口腔ケアは含嗽だけにしましょう。
d 刺激の少ない歯磨剤を使いましょう。

解答:a d
解説:
デノスマブは骨粗鬆症の薬で顎骨壊死の副作用がある。薬剤関連顎骨壊死 (MRONJ)である。
写真から顎骨が露出し壊死しているのがわかる。
清潔に刺激を少なくする必要がある。口腔ケアは歯面は普段通り歯ブラシで。乾燥させると傷口が悪化するおそれがある。
DH 32回 午後101
器具の写真(別冊午後No.45)を別に示す。

歯周外科手術に使用する器具と使用目的の組合せで正しいのはどれか。1 つ選べ。
a ① 歯肉切除
b ② 肉芽組織の除去
c ③ 歯周ポケット測定
d ④ルートプレーニング

解答:a
解説:
a ① 歯肉切除 カークランドメス
b ② クレンーカプランのポケットマーカー ポケット底の描記用ピンセット
c ③ ボーンファイル:骨用のやすり
d ④オーシャンビンのボーンチゼル:歯槽骨の整形用。

