- 118回 A-16
- 118回 A-19
- 118回 A-20
- 118回 A-48
- 118回 A-53
- 118回 A-73
- 118回 A-79
- 117回 A-15
- 117回 A-21
- 117回 A-22
- 117回 A-52
- 117回 A-57
- 117回 A-60
- 117回 A-61
- 117回 A-72
- 117回 A-74
- 117回 A-82
- 117回 B-3
- 117回 B-6
- 117回 B-18
- 117回 B-23
- 117回 B-32
- 117回 B-37
- 117回 B-47
- 117回 B-54
- 117回 B-57
- 117回 Bー58
- 117回 B-69
- 117回 B-76
- 117回 B-84
- 117回 C-3
- 117回 C-43
- 117回 C-64
- 117回 C-68
- 117回 C-70
- 117回 C-72
- 117回 C-76
- 117回 D-31
- 117回 D-3
- 117回 D-6
- 117回 D-20
- 117回 D-25
- 117回 D-29
- 117回 D-39
- 117回 D-43
- 117回 D-82
- 116回 A-1
- 116回 A-13
- 116回 A-19
- 116回 A-42
- 116回 A-43
- 116回 A-46
- 116回 A-52
- 116回 A-74
- 116回 A-77
- 116回 B-43
- 116回 B-69
- 116回 B-73
- 116回 B-75
- 116回 B-81
- 116回 C-3
- 116回 C-16
- 116回 C-17
- 116回 C-21
- 116回 C-33
- 116回 C-38
- 116回 C-41
- 116回 C-44
- 116回 C-60
- 116回 C-80
- 116回 C-85
- 116回 D-1
- 116回 D-52
- 116回 D-53
- 116回 D-66
- 114回 A-9
- 114回 A-18
- 114回 A-82
- DH 32回 午前50
- DH 32回 午前82
- DH 32回 午前87
- DH 32回 午前88
- DH 32回 午後91
- DH 32回 午後102
118回 A-16
大脳皮質の Broca 領域の脳梗塞で発症するのはどれか。 1 つ選べ。
a 伝導失語
b 運動性失語
c 感覚性失語
d 器質性構音障害
e 運動障害性構音障害

解答:b
解説:
Brocaブローカ野:発語の言語中枢を担う Broca失語ともいう。
cの感覚性失語はウェルニッケ野で聴覚に関係する。
118回 A-19
Heimlich 法が適応となるのはどれか。 1 つ選べ。
a 徐 脈
b 過呼吸
c 気道異物
d けいれん
e 舌根沈下

解答:c
解説:
ハイムリック法 =腹部突き上げ法
異物が喉に詰まったとき&意識があるときに使う
118回 A-20
女性に好発するのはどれか。 1 つ選べ。
a 血友病
b 白板症
c 類天疱瘡
d 動脈硬化症
e Warthin 腫瘍

解答:c
解説:
a血友病:男性のみ。
c類天疱瘡やシェーグレン、エリテマトーデスは女性に多い
ターナー症候群は女性のみ。
118回 A-48
移植片対宿主病〈GVHD〉患者にみられる口腔症状はどれか。 2 つ選べ。
a 口腔乾燥
b 上皮下水疱
c 穿掘性潰瘍
d メラニン沈着
e 扁平苔癬様病変〈口腔苔癬様病変〉

解答:a e
解説:
GVHDの口腔内⇒唾液分泌が減ってドライマウス気味になる(唾液腺の異常)、粘膜に炎症(口内炎や潰瘍、扁平苔癬様病変)がみられる。
a 口腔乾燥:○
b 上皮下水疱:× 自己免疫性疾患で多い
c 穿掘性潰瘍:口腔結核症など
d メラニン沈着:アジソン病など
e 扁平苔癬様病変〈口腔苔癬様病変〉
118回 A-53
高齢者の転倒で骨折頻度が最も高いのはどれか。 1 つ選べ。
a 鼻 骨
b 下顎骨
c 肩甲骨
d 大腿骨
e 尾 骨

解答:d
解説:
高齢者は骨粗鬆症によって骨が脆弱になっている可能性がある。転倒すると、骨折しやすい。転倒で骨折しやすい部位は大腿骨や、尻もちをついたときに起こる背骨の骨折など。
118回 A-73
早期死体現象はどれか。 2 つ選べ。
a 死 斑
b 腐敗網
c 自家融解
d 死体硬直
e 皮下出血

解答:a d
解説:
★早期死体現象:2日後くらいまで
体温低下、死斑、硬直、乾燥
★晩期死体現象
自家融解、腐敗、崩壊
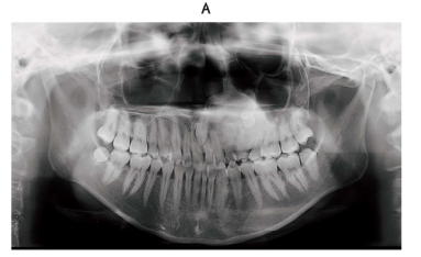
118回 A-79
24 歳の女性。乳歯の残存を主訴として来院した。中学生のころから自覚し、矯正歯科治療を希望した際に精査を勧められたという。歯肉に異常所見はない。初診時のエックス線画像(別冊No. 27A)と CT(別冊No. 27B)を別に示す。


疑われるのはどれか。 1 つ選べ。
a 大理石骨病
b 骨形成線維腫
c 線維性異形成症
d 慢性硬化性骨髄炎
e セメント質骨性異形成症

解答:c
解説:
パノラマ:左側の臼歯部根尖から上顎洞下部にかけてすりガラス状の不透過像
CT:左側上顎洞に埋伏歯と不透過像がみられる。
a 大理石骨病:もっと広がっているはず
b 骨形成線維腫:
c 線維性異形成症:すりガラス状!
d 慢性硬化性骨髄炎:骨髄炎は骨膜反応がみられる。
e セメント質骨性異形成症:多発性のことが多い
117回 A-15
くる病で生じることがあるのはどれか。 1 つ選べ。
a 過剰歯
b 巨大歯
c 歯牙腫
d 癒合歯
e 萌出遅延

解答:e
解説:
くる病⇒骨軟化症。子供のときのCa不足が原因。骨や歯が弱く発達も遅い。骨が柔らかく伸びにくい。
117回 A-21
褥瘡性潰瘍の特徴はどれか。 1 つ選べ。
a 紅 暈
b 接触痛
c 穿掘性
d 退色性
e 易出血性

解答:b
解説:
床ズレできる摩擦によっておこる。
皮膚や粘膜がずれて粘膜に潰瘍ができてしまう。歯医者では入れ歯が原因で擦れてできることが多い。
117回 A-22
スパイロメトリによる換気機能診断図を示す。
加齢や進行に伴い慢性閉塞性肺疾患〈COPD〉が閉塞性換気障害から混合性換気障
害へ移行しているのを示すのはどれか。 1 つ選べ。

a (ア) → (エ)
b (イ) → (ア)
c (イ) → (ウ)
d (イ) → (エ)
e (ウ) → (エ)

解答:e
解説:

スパイロメトリ⇒肺機能検査
1秒率⇒努力肺活量のうちの最初の一秒間に吐き出された量の割合(気管が狭くなると低下する)
%肺活量⇒肺の容量
拘束性肺疾患⇒%肺活量が低下する換気障害⇒肺線維症や間質性肺炎
閉塞性肺疾患⇒1秒率が低下する⇒気管支喘息や肺気腫
117回 A-52
舌乳頭萎縮の原因となるのはどれか。 2 つ選べ。
a 悪性貧血
b Addison 病
c クレチン病
d 口腔乾燥症
e Basedow 病

解答:a d
解説:
舌乳頭萎縮⇒平らになってツルツルしている。
悪性貧血⇒ハンター舌炎
口腔乾燥はシェーグレンや、鉄欠乏(プランマービンソン症候群)などでみられる。
117回 A-57
閉塞性肺疾患はどれか。 2 つ選べ。
a じん肺
b 肺気腫
c 肺線維症
d 間質性肺炎
e 気管支喘息

解答:b e
解説:
慢性閉塞性肺疾患(COPD)
閉塞性ということは1秒率が下がる。つまり気管支が狭くなっている。
慢性気管支炎や肺気腫など。気管支が閉塞することによって気管収縮もおこる。
117回 A-60
5 年前から手と顎にふるえが生じている 70 歳の女性。歩き始めの一歩が出にくいという。かかりつけの神経内科医からドパミンの前駆物質であるレボドパ<L-dopa〉を処方されたところ症状が改善した。
運動障害の原因となる変性が疑われるのはどれか。 1 つ選べ。
a 海 馬
b 黒 質
c 孤束核
d 視床下部
e 三叉神経主感覚核

解答:b
解説:
黒質は中脳の神経核にある。
パーキンソン病⇒ドーパミンが減る病気。黒質にレビー小体が蓄積してドパミンが減少する。それにより黒質の神経細胞が減少し、神経がうまく伝達しにくくなる。振戦がみられる。
117回 A-61
我が国において全がん罹患率に占める口腔がんの割合はどれか。 1 つ選べ。
a 0.1~0.3%
b 1~3%
c 5~7%
d 9~17%
e 20~25%

解答:b
解説:
ガンは罹患数と死亡数で癌の種類が違う。罹患数は大腸、肺、胃、死亡数は男性では肺、女性では大腸
年度ごとに更新されるので新情報を入手するのも大事。
117回 A-72
歯科治療時にアドレナリン含有局所麻酔薬の使用を避けるべき疾患はどれか。
1 つ選べ。
a くる病
b 血友病
c 気管支喘息
d 慢性腎臓病〈CKD〉
e 閉塞性肥大型心筋症

解答:e
解説:
アドレナリンは心拍数が上がるので留意しなければならない。
閉塞性肥大型心筋症⇒心臓の筋肉が肥大して心臓の出口を塞いでしまい体に血液を送ることを邪魔してしまう。心筋が収縮すると左心室が拍動してしまう。心臓に負荷をかけてはだめな病態。
117回 A-74
仰臥位低血圧症候群で正しいのはどれか。 3 つ選べ。
a 静脈還流が増加する。
b 心拍出量が減少する。
c 子宮血流量が減少する。
d 上大静脈が圧迫される。
e 妊娠後期に認められる。

解答:b c e
解説:
仰臥位低血圧症候群⇒妊娠末期の妊婦があおむけで寝ると支給が下大動脈を圧迫し血流低下になり血圧低下、動機、悪心をひきおこす。
117回 A-82
80 歳の女性。歯肉からの出血を主訴として来院した。 1 週前から症状を自覚し
ているという。現在、強い全身倦怠感を自覚し、体温は 37.9℃である。初診時の
口腔内写真(別冊No. 29)を別に示す。血液検査結果を表に示す。


適切な対応はどれか。 1 つ選べ。
a 抗菌薬の投与
b 口腔清掃指導
c スケーリング
d 止血剤の全身投与
e 内科主治医への対診

解答:e
解説:
白血球数がすごく高いことから炎症がおこっているのがわかる。
LDHも高いことから肝臓が悪い。
口腔内写真から歯周病、う蝕ともひどい。
歯周病菌が体内に入り肝臓にまで到達したと考えられる。
例えば、ジンジバリスなどの歯周病菌の外毒素であるLPSが影響を与えたと考えられる。
肝臓のことなので内科にも協力をあおぐ。
117回 B-3
過換気症候群でみられるのはどれか。 1 つ選べ。
a 手指の弛緩
b PaO2 の低下
c PaCO2 の上昇
d 心拍数の低下
e 呼吸性アルカローシス

解答:e
解説:
過換気症候群⇒血液が正常よりもアルカリ性より。
Co2濃度低下が低下→Co2がどんどん体外へ→それにともないH+もなくなりアルカリ性に→カルカローシス
117回 B-6
出血傾向を示すのはどれか。 1 つ選べ。
a 心内膜炎
b 急性白血病
c クレチン病
d Basedow 病
e 鉄欠乏性貧血

解答:b
解説:
出血傾向⇒血小板が少なくなる、凝結因子関連。
急性白血病⇒癌細胞が骨髄で増加するため正常血球細胞が作られなくなり赤血球・白血球・血小板が減少する。
117回 B-18
ある検査機器の装着時の写真(別冊No. 2)を別に示す。

判断できるのはどれか。 1 つ選べ。
a 頻 脈
b 高血圧
c 低血糖
d 低体温
e 高二酸化炭素血症

解答:a
解説:
パルスオキシメーター。動脈血酸素飽和度SpO2 と 脈拍 を計る。
117回 B-23
線維性異形成症の原因遺伝子はどれか。 1 つ選べ。
a p53
b KRAS
c FGFR2
d GNAS1
e RUNX2

解答:d
解説:
a p53 :ガン抑制遺伝子
b KRAS :変異が膵がんでよくみられる
c FGFR2 :胆道癌で見られる
d GNAS1 :骨の成長が阻害されて骨が変形する
e RUNX2 :骨芽細胞に関わる
117回 B-32
腫脹した頸部リンパ節の H-E 染色病理組織像(別冊No. 10)を別に示す。

考えられるのはどれか。 1 つ選べ。
a 結 核
b 癌の転移
c 悪性リンパ腫
d IgG4 関連疾患
e アミロイドーシス

解答:a
解説:
結核の病理組織像
・リンパ球の浸潤
・馬蹄形で核が端に偏って多数あるのがラングハウス型巨細胞ですね マクロファージが合体したもの。
・核のないピンクの細胞が集まったところ⇒ 乾酪壊死 してる
以上から結核。リンパ節にできやすいのも特徴。
117回 B-37
左心不全でみられるのはどれか。 2 つ選べ。
a 肝腫大
b 肺水腫
c 下腿浮腫
d 起座呼吸
e 頸静脈怒張

解答:b d
解説:
左心室が心臓のポンプ部分なので左心室の機能不全は深刻。そして肺カラの血液も戻ってこれず肺に血液がたまり肺うっ血にもなるので答えは肺水腫。
起座 呼吸にすると静脈還流量が減少して心臓へ戻る血液が減る。そうすると負荷が減少するので楽になる。
117回 B-47
ウレアーゼ試験で検出されるのはどれか。 1 つ選べ。
a Helicobacter pylori
b Treponema pallidum
c Streptococcus pyogenes
d Porphyromonas gingivalis
e Mycobacterium tuberculosis

解答:a
解説:
ウレアーゼとは尿素を二酸化炭素とアンモニアに加水分解する酵素のこと。
Helicobacter pylori ⇒ピロリ菌が持つ酵素。胃の中の尿素を分解してアンモニアと二酸化炭素が生成される。二酸化炭素は血中に吸収されて肺へ⇒そして炭酸ガスとして吐き出される。
117回 B-54
Sjögren 症候群の診断基準とされている耳下腺の画像所見はどれか。 2 つ選べ。
a CT における脂肪変性
b MR シアログラフィによる顆粒状像
c 超音波像における複数の低エコー領域
d 開口部からの造影検査における点状陰影
e 唾液腺シンチグラフィにおける機能低下

解答:d e
解説:
☆シェーグレン症候群について
・自己免疫疾患
・口腔内乾燥が見られる
・ 抗 SSA 抗体 抗 SSb 抗体のどっちかがある。
・耳下腺の造影検査でアップルツリー アピアランスが見られる⇒dの開口部からの造影検査における点状陰影のこと
・ 唾液腺に異常が出ることによる唾液腺 シンチ グラフィーにおける機能低下。⇒この検査は唾液が 生成しているか そして うまく排泄しているかを調べる検査。シェーグレンの場合シンチ グラフィーの画像は特徴的で耳下腺、顎下腺には反応は見られないが 正常な 甲状腺のみ反応が見られる。
117回 B-57
我が国の乳児の死亡原因で最も多いのはどれか。 1 つ選べ。
a 肺 炎
b 心疾患
c 不慮の事故
d 乳幼児突然死症候群
e 先天奇形、変形及び染色体異常

解答:e
解説:
1位:先天奇形、変形及び染色体異常、
2位:呼吸障害
3位:乳幼児突然死症候群
5~9歳になると不慮の事故やガンが増える。
117回 Bー58
神経障害性疼痛に分類されるのはどれか。 2 つ選べ。
a 舌痛症
b 唾疝痛
c 三叉神経痛
d ドライソケット
e 帯状疱疹後神経痛

解答:c e
解説:
神経障害性疼痛とは神経の損傷 や 神経の疾患などによって 障害された神経の解剖学的な神経支配領域に見られる感覚障害のこと。
a 舌痛症 ⇒原因不明
b 唾疝痛 ⇒唾石による
c 三叉神経痛⇒〇
d ドライソケット ⇒抜歯窩に血餅ができないことが原因
e 帯状疱疹後神経痛 ⇒〇 帯状疱疹ウイルスは知覚神経節に潜伏しているのが原因
117回 B-69
Robin シークエンスの患者のセファロ分析で大きな値を示すのはどれか。
3 つ選べ。
a Y 軸角
b 顔面角
c ANB 角
d FH 平面に対する下顎下縁平面角
e FH 平面に対する下顎中切歯歯軸傾斜角

解答:a c d
解説:
ロバンシークエンス⇒小顎症、鳥様顔貌
a Y 軸角 ⇒フランクフルト平面とY軸角がなす角
b 顔面角 ⇒フランクフルト平面と顔面平面のなす角なので小さくなる
c ANB 角 ⇒下顎が小さいので大きいのでFH 平面に対する下顎下縁平面角
e FH 平面に対する下顎中切歯歯軸傾斜角 ⇒後退するので小さくなる
117回 B-76
高口蓋を呈するのはどれか。 3 つ選べ。
a Down 症候群
b Turner 症候群
c Crouzon 症候群
d Klinefelter 症候群
e Papillon-Lefèvre 症候群

解答:a b c
解説:
高口蓋⇒舌があがらないと高口蓋になる。
b Turner 症候群 ⇒女性のみ。X染色体が欠けている
c Crouzon 症候群⇒頭蓋骨縫合早期癒合
d Klinefelter 症候群⇒タウロドント歯、口唇・口蓋裂。
e Papillon-Lefèvre 症候群⇒重度歯周病による歯の脱落、手のひらや踵の角化症
117回 B-84
認知症の周辺症状はどれか。 2 つ選べ。
a 失 語
b 徘 徊
c 抑うつ
d 記憶障害
e 見当識障害

解答: b c
解説:
中核症状と周辺症状がある。主変症状は中核症状を原因として二次的におこる。
中核症状:記憶・理解・判断力の低下・脳機能の低下によって直接的に発生する。
周辺症状:性格や生活環境にも影響があったり抑うつや徘徊やせん妄などが見られる。
117回 C-3
下顎の低形成を特徴とするのはどれか。 1 つ選べ。
a Marfan 症候群
b 先天性表皮水疱症
c Papillon-Lefèvre 症候群
d Treacher-Collins 症候群
e Beckwith-Wiedemann 症候群

解答:d
解説:
a Marfan 症候群 :全身の結合組織の働きが弱くなる
b 先天性表皮水疱症 :びらんや水疱が見られる
c Papillon-Lefèvre 症候群 :手のひらや踵の角化症。重度歯周病による歯の脱落による無歯顎が多い
d Treacher-Collins 症候群 :頬骨と下顎骨の形成不良、耳の異常
e Beckwith-Wiedemann 症候群 :巨舌やヘルニア
117回 C-43
過度の糖質制限で血中に増加するのはどれか。 1 つ選べ。
a 尿 酸
b ケトン体
c アルブミン
d ビリルビン
e コレステロール

解答:b
解説:
本来グルコースがエネルギーとなる。しかしグルコースがない場合、脂肪酸をエネルギーとする。脂肪酸はエネルギー源として利用できないのでケトン体になりアセチルCoAに分解⇒ケトン体が作られエネルギーを作り出す材料となる。
117回 C-64
甲状腺機能低下症の症状はどれか。 3 つ選べ。
a 巨 舌
b 頻 脈
c 便 秘
d 低血圧
e 体重減少

解答:a c d
解説:
甲状腺機能低下⇒代謝が落ちる。つまり…
無気力・疲労感・便秘・体重UP・汗が出ないことにより皮膚乾燥・体温DOWN・脈が遅くなる
117回 C-68
顎口腔領域の筋電図検査で診断できるのはどれか。 1 つ選べ。
a サルコペニア
b ブラキシズム
c 口腔機能低下症
d 睡眠時無呼吸症
e 慢性閉塞性肺疾患

解答:b
解説:
筋電図検査とは寝ているときに筋肉の活動を定量的に測定できる検査のこと。
ブラキシズムはリズミカルな波形になる。リズミカル。
食いしばりは持続性のある波形になる。
117回 C-70
16 歳の女子。あごの歪みを主訴として来院した。幼少時から自覚し、徐々に増
悪しているという。 6 歳時に小耳症に対して耳介形成術を受けた。交叉咬合を認め
る。初診時のエックス線画像(別冊No. 29A)と 3D-CT(別冊No. 29B)を別に示す。
考えられるのはどれか。 1 つ選べ。
a Apert 症候群
b Crouzon 症候群
c 基底細胞母斑症候群
d 第一第二鰓弓症候群
e McCune-Albright 症候群


解答:d
解説:
a Apert 症候群 :アペール症候群。頭蓋骨縫合早期癒合による。
b Crouzon 症候群
c 基底細胞母斑症候群:多発性顎骨嚢胞
d 第一第二鰓弓症候群:下顎や口や耳あたりに分化するので写真の位置と等しい。福耳や巨口が見られる。下顎の発育障害によって顔の形が左右非対称になる。
e McCune-Albright 症候群:マッキューンオルブライト。思春期早期発育や線維性異形成症やカフェオレ斑
117回 C-72
Ramsay Hunt 症候群でみられるのはどれか。 2 つ選べ。
a 嗄 声
b 難 聴
c 舌運動障害
d オトガイ部水疱
e 顔面表情筋麻痺

解答:b e
解説:
水痘帯状疱疹ウイルスによる。小児期の水痘が顔面神経の膝神経節に潜伏し再活性化する。難聴・めまい・耳介の発達など耳にも影響が。顔面神経麻痺がおこるので表情筋の運動系を障害する。
117回 C-76
心臓ペースメーカが適応されるのはどれか。 2 つ選べ。
a 心室細動
b WPW 症候群
c 洞不全症候群
d 心室性期外収縮
e 完全房室ブロック

解答:c e
解説:
ペースメーカ:洞結節の異常で洞結節間の興奮が伝わらないことによって脈が遅くなる・徐脈性不整脈がでてしまう。
a 心室細動⇒心室細動は心室が痙攣して血液を送り出せなくなる
b WPW 症候群⇒心房と心室の間に電気刺激を伝える余分な伝導が生じる
c 洞不全症候群⇒洞結節の機能低下
d 心室性期外収縮⇒心室の異常な収縮により余分な拍動が生じる
e 完全房室ブロック⇒心室からの異常興奮により生じる不整脈
洞結節が関わっているものをえらぶ。
117回 D-31
輸血について正しいのはどれか。 1 つ選べ。
a 血小板濃厚液は Hb 上昇が期待できる。
b 新鮮凍結血漿は感染を避けることができる。
c 赤血球液の有効期間は採血後 1 年間である。
d 自己血輸血は GVHD を防止することができる。
e 赤血球輸血は不規則抗体のスクリーニングを省略できる。

解答:d
解説:
a Hb は赤血球に入っているので違う
b 新鮮凍結血漿は感染を完璧に避けることはできない
c 赤血球液の有効期間は採血後 21日間である。新鮮凍結血漿は1年間
d 自己血輸血は GVHD を防止することができる。〇 GVHD⇒移植片対宿主病
e 赤血球輸血は不規則抗体のスクリーニングを省略できない!赤血球には抗原があって不規則抗体である抗体Aとか抗体Bが結合する。
117回 D-3
水疱を主徴とするのはどれか。 1 つ選べ。
a 紅板症
b 類天疱瘡
c 口腔カンジダ症
d 肉芽腫性口唇炎
e 壊死性潰瘍性歯肉炎

解答:b
解説:類天疱瘡は水疱が出ます
d:肉芽腫性口唇炎 ⇒ 唇が腫れる
e:英姿勢潰瘍性歯肉炎 ⇒ 歯肉の壊死と潰瘍がみられる
117回 D-6
脳梗塞の危険因子はどれか。 1 つ選べ。
a 筋萎縮
b 低栄養
c 骨粗鬆症
d 脂質異常症
e 起立性低血圧

解答:d
解説:
脳梗塞は動脈硬化が原因となっておこる。血管の内壁にコレステロールなどが溜まって血管が分厚くかたくなって血流が悪くなっている状態であるので高血圧や高脂血症、糖尿病などがリスクファクター。
なので脂質異常症が答え。
117回 D-20
鉄欠乏性貧血でみられるのはどれか。 1 つ選べ。
a 巨 舌
b 偽 膜
c 溝 舌
d 粘膜萎縮
e 粘膜下出血

解答: d
解説:
鉄欠乏性貧血では舌炎や口角炎が見られ、のみこみにくくなる。スプーン状の爪も見られる。
cの溝舌はダウン症
117回 D-25
症候と疾患の組合せで正しいのはどれか。 4 つ選べ。
a 黄 疸 肝硬変
b 痙 笑 破傷風
c 片麻痺 筋ジストロフィー
d 眼球突出 Basedow 病
e 満月様顔貌 Cushing 症候群

解答:a b d e
解説:
a 黄 疸 肝硬変
ビリルビン(黄色い色素)の排出がうまくいかぜ黄色くなる
b 痙 笑 破傷風
痙笑とは顔の筋肉が痙攣してこわばることで口が開かずにひきつった笑顔のような表情になること。
c 片麻痺 筋ジストロフィー 脳梗塞
筋ジストロフィーは筋力が衰える遺伝子の変異
d 眼球突出 Basedow 病
e 満月様顔貌 Cushing 症候群
コルチゾールの過剰分泌がみられる。
117回 D-29
診察室血圧で成人におけるⅡ度高血圧に分類されるのはどれか。 2 つ選べ。
収縮期血圧 / 拡張期血圧(mmHg)
a 150 / 85
b 150 / 105
c 155 / 98
d 165 / 95
e 165 / 115

解答:b d
解説:高血圧の分類の表を覚えましょう。刻み方に規則性があるのでなんとなくで覚えられます。
分類 収縮期血圧 拡張期血圧
正常血圧 <120 かつ <80
正常高圧血圧 120~129 かつ <80
高値血圧 130~139 かつ/または 80~89
Ⅰ度高血圧 140~159 かつ/または 90~99
Ⅱ度高血圧 160~179 かつ/または 100~109
Ⅲ度高血圧 ≥180 かつ/または ≥110
収縮期高血圧 ≥140 かつ <90
117回 D-39
フレイルの多面性を示す 3 要素はどれか。 3 つ選べ。
a 健康的
b 社会的
c 身体的
d 代償的
e 精神・心理的

解答:b c e
解説:
フレイルとは虚弱の意。健康な状態と要介護状態の中間の位置で身体機能や認知機能の低下がみられる状態。
身体(口腔機能の低下など)、精神(鬱、軽度認知など)、社会(閉じこもりや孤独など)の3つの要素が合わさってADLが低下しフレイルになる。
117回 D-43
典型的三叉神経痛の原因はどれか。 1 つ選べ。
a 脳腫瘍
b 頭蓋内出血
c ウイルス感染
d 末梢神経外傷
e 頭蓋内血管による圧迫

解答: e
解説:
三社神経は顔の感覚を支配している。
三叉神経痛はささいな刺激により誘発される。
典型的は血管壁が圧迫されていることが原因。
二次性は脳腫瘍や奇形などの原因疾患に伴い生じる三叉神経痛のこと。
117回 D-82
心身機能の加齢変化の図を示す。

①の診断基準となる項目はどれか。 2 つ選べ。
a 筋肉量
b 睡眠時間
c 体重減少
d 主観的疲労感
e 食品摂取の多様性

解答:c d
解説:
フレイルとは「虚弱」のこと。健康と介護の間。
フレイル:社会的要因(閉じこもり、独居)、精神的(うつ、意欲・判断力低下)、身体的(口腔機能の低下)の3つの要因が重なるとフレイルになる。
また、①体重減少 ②疲労感 ③身体活動量低下 ④歩く速さが遅くない ⑤握力が弱くなる
の5項目の3項目以上がフレイル。
116回 A-1
心筋梗塞のマーカーはどれか。 1 つ選べ。
a CK
b PT
c ALP
d ALT
e HbA1c

解答:a
解説:
a CK:クレアチンキナーゼ クレアチン+ATPをクレアチンリン酸+ADPを変える
b PT:プロトロンビン時間、血液凝固関連
c ALP:アルカリホスファターゼ 肝疾患で上昇
d ALT:肝炎の指標
e HbA1c:ヘモグロビンA1C 糖尿病患者の過去1~2カ月の血糖値コントロールの指標
116回 A-13
血友病 A はどれか。 1 つ選べ。
a 常染色体異常
b 性染色体異常
c X 連鎖劣性〈潜性〉遺伝病
d 常染色体優性〈顕性〉遺伝病
e 常染色体劣性〈潜性〉遺伝病

解答:c
解説:血友病AもBも X 連鎖劣性〈潜性〉遺伝病。
血友病A⇒血液凝固因子Ⅷが少ない
血友病B⇒血液凝固因子Ⅸが少ない
ほぼ女性にみられない⇒ということは…X染色体の劣性遺伝だと分かる。XXのXどちらかに異常があっても発現しないキャリアの状態。
116回 A-19
心停止に含まれるのはどれか。 1 つ選べ。
a 心房細動
b 洞不全症候群
c QT 延長症候群
d 無脈性心室頻拍
e 完全房室ブロック

解答:d
解説:
心停止⇒意識がなく頸動脈で脈拍が触れない状態。脳の血流がない状態ともいえる。
心室細動、無脈性心室頻拍、心静止、無脈性電気活動など。
a 心房細動 :心室は送り出す方なので心室のやばいけど。
b 洞不全症候群 :送り出す血液の量が安定しない
116回 A-42
フレイルの診断項目に含まれるのはどれか。すべて選べ。
a 握 力
b 体 重
c 易疲労
d 口腔衛生状態
e 日常生活活動量

解答:a b c e
解説:
フレイルとは介護と健康の間で「虚弱」のこと。
加齢によって心身が衰えた状態。日本老年学会が提唱した概念。適切な予防や治療により要介護に進むのに歯止めをかけるのが目的。
a握力⇒筋力
a b c e+歩行速度 が診断項目。
116回 A-43
チアノーゼを確認するために観察する部位はどれか。 2 つ選べ。
a 額
b 眼 球
c 口 唇
d 耳 介
e 爪 床

解答:c e
解説:
チアノーゼ:還元Hbが多い状態。還元Hbは酸素が少ないので青紫色
爪床とは爪の下の皮膚のこと。
表皮が薄く毛細血管が多いところは目立ちやすい。
116回 A-46
疾患と口腔粘膜症状の組合せで正しいのはどれか。 2 つ選べ。
a 手足口病 ー 地図状舌
b 慢性 GVHD ー 扁平苔癬様病変
c 尋常性天疱瘡 ー Nikolsky 現象
d Peutz-Jeghers 症候群 ー 平滑舌
e Plummer-Vinson 症候群 ー 再発性アフタ

解答:b c
解説:
a 地図状舌:原因不明
b 慢性 GVHD⇒移植片対宿主病、 扁平苔癬様病変⇒粘膜の炎症・唾液腺の萎縮
c Nikolsky 現象 :こすると表皮がはがれてびらんになる。天疱瘡でみられる。
d 平滑舌は鉄欠乏性貧血で見られる。Peutz-Jeghers 症候群 はカフェオレ斑がみられる。
e Plummer-Vinson 症候群は口内炎が見られる。 再発性アフタはベーチェット病でみられる。
116回 A-52
慢性閉塞性肺疾患〈COPD〉について正しいのはどれか。 2 つ選べ。
a 吸気が延長する。
b PaO2 が上昇する。
c 1 秒率が上昇する。
d 喫煙が発症リスクとなる。
e ビア樽状胸郭がみられる。

解答:d e
解説:
COPDは健康日本21でも触れられている。
COPDはタバコなどの有害物質を習慣的に吸い込むことが原因でなる。肺に持続的な炎症が起こってしまう。
a 吸気が延長する。:呼気が延長するの間違い。COPDでは吸い込んだ息を吐き出しにくくなる。
b PaO2 が上昇する。:低下する。
c 1 秒率が上昇する。:低下する。1秒率とは1秒量/肺活量。70%未満でCOPD
d 喫煙が発症リスクとなる。
e ビア樽状胸郭がみられる。:胸郭がビール樽のように膨らむ
116回 A-74
肺コンプライアンスが高くなるのはどれか。 1 つ選べ。
a 肺気腫
b 肺水腫
c 肺線維症
d 間質性肺炎
e 気管支喘息

解答:a
解説:
肺コンプライアンス⇒肺の膨らみやすさの指標。肺容量の増大の程度。大きいと肺が柔らかく膨らみやすい。小さいと肺がかたくて膨らみにくい。肺がかたいと少しの空気を吸い込むだけで内圧が上がり少しの空気しか吸い込めない。
肺気腫⇒肺が穴だらけになりふにゃふにゃになった状態。弾力がなくなり伸びやすくちぢみにくい状態。
116回 A-77
75 歳の女児。舌の疼痛を主訴として来院した。数日前から発熱、食欲不振、感冒
様症状があるという。 初診時の口腔内写真(別冊No. 28A)と手足の写真(別冊
No. 28B)を別に示す。

原因として考えられるのはどれか。 2 つ選べ。
a 麻疹ウイルス
b エンテロウイルス
c ムンプスウイルス
d コクサッキーウイルス
e 単純ヘルペスウイルス

解答:b d
解説:
手足口病⇒エンテロウイルス、コクサッキーウイルスが原因
ムンプスはおたふく風邪。
116回 B-43
小球性低色素性貧血に分類されるのはどれか。 1 つ選べ。
a 溶血性貧血
b 鉄欠乏性貧血
c 巨赤芽球性貧血
d 再生不良性貧血
e 骨髄異形成症候群

解答:b
解説:
小球性:赤血球の大きさを表す。小さいってこと。
低色素性:ヘモグロビンが少ない
a 溶血性貧血:正常性正色素性貧血
b 鉄欠乏性貧血:小球性低色素性貧血
c 巨赤芽球性貧血:大球性正色素性貧血
d 再生不良性貧血:正常性正色素性貧血
116回 B-69
8 歳の男児。歯が生えてこないことを主訴として来院した。毛髪の異常と皮膚の
乾燥がみられる。 初診時の口腔内写真(別冊No. 27A)とエックス線画像(別冊
No. 27B)を別に示す。

適切な治療方針はどれか。 2 つ選べ。
a 義歯の装着
b 乳歯の早期抜去
c 歯根吸収歯の固定
d 未萌出永久歯の牽引
e 歯冠の形態異常歯の修復

解答:a e
解説:
外胚葉異形成症。
a 義歯の装着:かめないし審美的にもよくないので義歯でカバー。
b 乳歯の早期抜去:永久歯が少ない、歯の数が少ないので乳歯はおいておくのが適当。
e 歯冠の形態異常歯の修復:前歯部がとがっているため形態調整が必要。
116回 B-73
先天性心疾患を併発しやすいのはどれか。 2 つ選べ。
a Down 症候群
b Marfan 症候群
c 先天性表皮水疱症
d 先天性外胚葉異形成症
e Beckwith-Wiedemann 症候群

解答:a b
解説:
a Down 症候群:ファロー4兆症や心室中隔欠損がみられる
b Marfan 症候群:大動脈閉鎖不全など
c 先天性表皮水疱症:皮膚や粘膜にびらんや水疱
d 先天性外胚葉異形成症:乾燥、毛が少ない、歯が少ない
e Beckwith-Wiedemann 症候群:ベックウィズヴィーデマン症候群。巨舌、腹壁欠損、過成長
116回 B-75
Parkinson 病に特徴的にみられる症状はどれか。 2 つ選べ。
a 出血傾向
b 視力障害
c 呼吸筋麻痺
d 筋固縮〈筋強剛〉
e 静止時振戦〈安静時振戦〉

解答:d e
解説:
パーキンソン病⇒ふるえ、姿勢保持障害があるため転びやすい、筋肉が動かなくなり身体が動かしにくくなったりふるえたりする。
116回 B-81
下唇の異常を主訴として来院した女性の口唇の写真(別冊No. 33)を別に示す。

2 か月前からしみるような接触痛の出現と消退を繰り返しているという。
診断の確定に必要なのはどれか。 2 つ選べ。
a 抗 CCP 抗体
b 抗 BP180 抗体
c 好中球機能検査
d マイコプラズマ抗体
e 抗デスモグレイン抗体

解答:b e
解説:
水疱とびらんが下唇にみられる⇒天疱瘡や類天疱瘡か?
a 抗 CCP 抗体:関節リウマチ
b 抗 BP180 抗体:類天疱瘡で陽性となる
c 好中球機能検査:細菌感染を調べる
d マイコプラズマ抗体
e 抗デスモグレイン抗体:天疱瘡
116回 C-3
高齢者にみられる加齢変化で正しいのはどれか。 1 つ選べ。
a 胃酸分泌量の増加
b 高音域の聴力低下
c 水晶体の弾性増大
d 機能的残気量の減少
e テストステロン分泌量の増加

解答:b
解説:
a 胃酸分泌量の増加:低下するよ
b 高音域の聴力低下:モスキートーンのこと
c 水晶体の弾性増大:減少するよ
d 機能的残気量の減少:機能的残気量とは息を吐いたときに肺の中に残っている空気の量。肺活量がおちるため増大する。
e テストステロン分泌量の増加:減少するよ
116回 C-16
治療によって機能の改善が期待できるのはどれか。 1 つ選べ。
a 血管性認知症
b 正常圧水頭症
c 進行性核上性麻痺
d Lewy 小体型認知症
e 筋萎縮性側索硬化症

解答:b
解説:
治る認知症疑いの病気⇒外科手術(正常圧水頭症、慢性硬膜下血腫、脳腫瘍)、ホルモンやビタミンを補う(甲状腺機能低下症、ビタミン欠乏症)
a 血管性認知症:血管障害による
b 正常圧水頭症:
c 進行性核上性麻痺:指定難病
d Lewy 小体型認知症:レヴィ―小体
e 筋萎縮性側索硬化症=ALS
116回 C-17
心停止患者へのアドレナリンの投与経路で適切なのはどれか。 1 つ選べ。
a 皮 下
b 皮 内
c 筋肉内
d 静脈内
e 動脈内

解答:d
解説:
心停止患者ってことは早くアドレナリンを吸収させたい!
静脈内(一番効目が速い)⇒筋肉(血管が豊富、吸収速度が速い)⇒皮下(吸収がゆっくり。持続時間が長い)⇒皮内 の順に効き目がゆっくり
116回 C-21
55 歳の男性。舌と頰粘膜の疼痛を主訴として来院した。 1 か月前に口唇の腫
脹、出血および前腕部の皮疹に気付き、かかりつけ歯科医で副腎皮質ステロイド軟
膏の処方を受けていたが、徐々に顔面、口腔内および四肢に水疱とびらんが拡大し
たという。初診時の顔貌写真(別冊No. 2A)、口腔内写真(別冊No. 2B)及び前腕
皮膚の写真(別冊No. 2C)を別に示す。血液検査結果を表に示す。


a GVHD
b 帯状疱疹
c 類天疱瘡
d 尋常性天疱瘡
e Stevens-Johnson 症候群

解答:d
解説:
皮疹とびらんが見られる。
抗BP180抗体:類天疱瘡で見られる
抗デスモグレイン1抗体:、尋常性天疱瘡、落葉状天疱瘡
抗デスモグレイン3抗体:尋常性天疱瘡
a GVHD:移植片対宿主病で紅斑や高熱がみられる。
b 帯状疱疹:水痘ヘルペスウイルスが原因で自己免疫疾患である。
c 類天疱瘡:上皮下に水疱
d 尋常性天疱瘡:上皮内に水疱
e Stevens-Johnson 症候群:紅斑や水疱、びらんが見られる。薬が原因?と言われいる。
116回 C-33
巨舌を認めるのはどれか。 3 つ選べ。
a 先端巨大症
b Down 症候群
c Robin シークエンス
d 第一第二鰓弓症候群
e Beckwith-Wiedemann 症候群

解答:a b e
解説:
a 先端巨大症:巨人症など
b Down 症候群
c Robin シークエンス:ロバンシークエンス。小顎症
d 第一第二鰓弓症候群:第一鰓弓は顎、第二鰓弓は耳。下顎や耳に障害が。
e Beckwith-Wiedemann 症候群:ベックウィズヴィーデマン症候群。臍帯、ヘルニア、巨舌が3大主徴
116回 C-38
口腔粘膜や皮膚の色素沈着が家族性に生じるのはどれか。 2 つ選べ。
a Behçet 病
b 白色海綿状母斑
c Peutz-Jeghers 症候群
d Sturge-Weber 症候群
e von Recklinghausen 病

解答:c e
解説:
a Behçet 病:膠原病。アフタ性潰瘍
b 白色海綿状母斑:粘膜が白色。ケラチン遺伝子の変化による角化異常
c Peutz-Jeghers 症候群:色素斑。消化管のポリポーシス。常染色体優先遺伝
d Sturge-Weber 症候群:生まれつきの病気。毛細血管の奇形と痣
e von Recklinghausen 病:カフェオレ斑、神経線維腫。常染色体遺伝。
116回 C-41
メラニン顆粒を有するのはどれか。 2 つ選べ。
a 黒毛舌
b Fordyce 斑
c 悪性黒色腫
d 色素性母斑
e 多形滲出性紅斑

解答:c d
解説:
a 黒毛舌:抗生剤の副作用により舌の角化作用
b Fordyce 斑:異所性の皮脂腺
c 悪性黒色腫:メラノーマ
d 色素性母斑:ほくろ
e 多形滲出性紅斑:赤い皮疹
116回 C-44
リンパ節腫脹の原因として考えられるのはどれか。すべて選べ。
a 結 核
b 癌の転移
c 悪性リンパ腫
d 伝染性単核球症
e サルコイドーシス

解答:a b c d e
解説:
a 結 核:頸部リンパ節が腫れることが多い
b 癌の転移:リンパ節転移
c 悪性リンパ腫:しこりができる
d 伝染性単核球症:EBウイルス
e サルコイドーシス:リンパ節などに肉芽腫
116回 C-60
Turner 症候群の特徴として正しいのはどれか。 3 つ選べ。
a 高身長
b 小顎症
c 知的障害
d 先天性心疾患
e 第二次性徴の発現不全

解答:b d e
解説:
ターナー症候群:女性のみ!XX 1本のXが全体or一部が欠損していることが原因。
低身長(成長が抑制)、二次性徴が現われないことが多い、翼状頸、外反肘、赴任など
116回 C-80
88 歳の男性。介護者から食事時間の延長が認められるとの訴えがあり、歯科訪
問診療を行った。Lewy 小体型認知症の診断を受けて特別養護老人ホームに入所中
であり、生活全般にわたり全介助を必要としている。現在の食形態はミキサー食で
ある。上顎義歯を有していないが、家族は積極的な歯科治療を望んでいない。初診
時の口腔内写真(別冊No. 33)を別に示す。

まず行うのはどれか。 2 つ選べ。
a 間接訓練
b 舌圧検査
c 口腔衛生管理
d 嚥下内視鏡検査
e 食事場面の評価

解答:c e
解説:
「まず」とくれば清掃指導や清掃管理
eの食事場面の評価は何が問題なのかをまず見ることができる
aの間接訓練だが食べ物を用いずに行う訓練で筋力を鍛える。
116回 C-85
81 歳の男性。舌の汚れを主訴として家族とともに来院した。 8 年前に診断され
た慢性閉塞性肺疾患〈COPD〉に対して気管支拡張薬、 3 年前に診断された
Alzheimer 型認知症に対してコリンエステラーゼ阻害薬を処方されているという。
口腔内検査では歯と歯周組織には異常を認めなかったため、家族に対して口腔衛生
指導を行った。初診時、 2 週後および 4 週後の舌の写真(別冊No. 36)を別に示す。

改善が期待できるのはどれか。 1 つ選べ。
a 口 臭
b 咬合力
c 嚥下機能
d 呼吸機能
e 唾液分泌

解答:a
解説:コリンエステラーゼ阻害薬→認知症治療薬
写真を見ると舌苔が徐々に減っている。なので口臭が期待できる。
116回 D-1
チアノーゼがみられるのはどれか。 1 つ選べ。
a 血友病
b 糖尿病
c 白血病
d ネフローゼ症候群
e メトヘモグロビン血症

解答:e
解説:
チアノーゼ⇒皮膚や粘膜が青紫色になる。酸素不足で還元Hbが多くなると出現する。
eのメトヘモグロビン血症は酸素不足によってひきおこされる。
116回 D-52
6 歳の男児。多数歯齲蝕を主訴として来院した。出生時から皮膚や爪に異常がみられ、足には合指症を認める。初診時の口腔内写真(別冊No. 16A)と手の写真(別冊No. 16B)を別に示す。

歯科治療に際して留意すべき事項はどれか。 2 つ選べ。
a 局所麻酔は使用しない。
b 全身麻酔が推奨される。
c 術野の確保が困難である。
d ハンドオーバーマウス法で対応する。
e 歯ブラシでの口腔粘膜の刷掃は避ける。

解答:c e
解説:
c 術野の確保が困難である。:皮膚乾燥もあり口を開けにくいことが想像される。
e 歯ブラシでの口腔粘膜の刷掃は避ける。:口腔乾燥による粘膜萎縮がみられるため痛い。
精神発達遅滞はなし。
外肺葉異形成症⇒皮膚乾燥、歯も低形成になる。
116回 D-53
3 日前から 38.5℃の発熱と歯肉腫脹がみられた小児の口腔内写真(別冊No. 17)を別に示す。検査の結果、単純ヘルペスウイルスの感染を認めた。

考えられるのはどれか。 1 つ選べ。
a 水 痘
b 風 疹
c 麻 疹
d 帯状疱疹
e ヘルパンギーナ
f 疱疹性歯肉口内炎

解答:f
解説:
f 疱疹性歯肉口内炎⇒ヘルペス性歯肉口内炎のこと。
a 水痘⇒水疱瘡。水痘帯状疱疹ウイルス
e ヘルパンギーナ⇒コックサッキーウイルス
116回 D-66
顔面外傷を伴う救急患者において頭蓋底骨折が疑われるのはどれか。 2 つ選べ。
a 髄液漏
b Bell 現象
c Battle 徴候
d Vincent 症状
e ホルネル症候群

解答:a c
解説:
a 髄液漏:骨の内側にある硬膜が損傷することによる〇
b Bell 現象:目を閉じた時に眼球が上を向く現象
c Battle 徴候:頭蓋で骨折の兆候として表れる。耳介後部の斑状皮下出血がみられる。〇
d Vincent 症状:ビンセント症状。急性下顎骨骨髄炎による。オトガイ神経支配領域の知覚鈍麻
e ホルネル症候群:神経線維が分断されることによる。顔の片側のまぶたが垂れ下がり瞳孔が小さくなる。
114回 A-9
脱水の徴候はどれか。1つ選べ。
a 徐 脈
b 下肢の浮腫
c 血圧の低下
d 体温の低下
e 皮膚の緊張

解答:c
解説:
脱水とは水と電解質を失うこと
喉の渇き、発汗の減少、口腔乾燥などが見られる。血圧の低下は重度になるとショックになる。
114回 A-18
老年期のフレイルサイクルを図に示す。

①はどれか。1つ選べ。
a 悪液質
b 廃用症候群
c サルコペニア
d ジスキネジア
e メタボリックシンドローム

解答:c
解説:
フレイル=虚弱。健康と介護の中間。健康寿命を失いやすい高齢者や健康を保つための配慮が今まで以上に必要な人々のことをいう。
a 悪液質:栄養不良により衰弱した状態
b 廃用症候群:寝たきりに近い状態で活動性の低下が生じる障害
c サルコペニア:〇筋肉量の低下。基礎代謝低下につながる。基礎代謝は筋肉にもとづきて消費される。
d ジスキネジア:薬の副作用により自分では止められない不随意運動
e メタボリックシンドローム
114回 A-82
顎骨の形態異常に骨延長術が適用できるのはどれか。3つ選べ。
a Crouzon 症候群
b Robin シークエンス
c von Recklinghausen 病
d Treacher Collins 症候群
e McCune-Albright 症候群

解答:a b d
解説:
骨延長術を使うということは骨の劣成長が疑われる。
a Crouzon 症候群:頭蓋骨縫合早期癒合を伴う
b Robin シークエンス:小下顎
c von Recklinghausen 病:×カフェオレ斑と神経線維腫が見られる
d Treacher Collins 症候群:小下顎
e McCune-Albright 症候群:×思春期早期発症、カフェオレ斑、線維性骨異形成症
DH 32回 午前50
口腔顎顔面領域に先天異常を伴うのはどれか。2 つ選べ。
a Down〈ダウン〉症候群
b Crouzon〈クルーゾン〉症候群
c Ramsay Hunt〈ラムゼーハント〉症候群
d Plummer-Vinson〈プランマー・ビンソン〉症候群

解答:a b
解説:
a Down〈ダウン〉症候群:上顎劣成長、高口蓋、歯の成長が遅い
b Crouzon〈クルーゾン〉症候群:頭蓋骨の早期癒合による。上顎劣成長、高口蓋、顔面の凹み、眼球突出など。
c Ramsay Hunt〈ラムゼーハント〉症候群:水痘帯状疱疹ウイルスによる。顔面神経麻痺と耳の異常
d Plummer-Vinson〈プランマー・ビンソン〉症候群:鉄欠乏性貧血による。
DH 32回 午前82
白血病で生じやすいのはどれか、2つ選べ。
a う蝕
b 口腔乾燥
c 出血傾向
d 免疫機能の低下

解答:cd
解説:
白血病は骨髄にある血液細胞の癌である。ということは骨髄での血球成分に異常がでる。
血小板の異常を引き起こし出血傾向、白血球の異常いより免疫が低下する。
う蝕は関係ない。口腔乾燥は放射線治療などの副作用として現れることもある。
DH 32回 午前87
Fried らのフレイルの5つの評価基準を以下に示す。
フレイルに該当する最小項目数はどれか。1 つ選べ。
・体重減少
・主観的疲労感
・日常生活活動量の減少
・身体能力(歩行速度)の減弱
・筋量(握力)の低下
a 1
b 2
c 3
d 4

解答:c
解説:
フレイルの診断は3つ以上があてはまる必要がある。
DH 32回 午前88
2 型糖尿病患者に対する食生活指導で特に摂取を勧めるのはどれか。
1 つ選べ。
a 塩分
b 食物繊維
c タンパク質
d 飽和脂肪酸

解答:b
解説:
糖尿病Ⅰ型⇒自己免疫疾患。インスリン細胞が破壊されインスリンが減少している。
糖尿病Ⅱ型⇒多いのはこちら。過食や運動不足などの生活習慣病による。
食物繊維は糖尿病のリスクを減らす。
塩分は血圧上昇するので×、タンパク質は適量を摂取、飽和脂肪酸はコレステロールが上昇するので×
DH 32回 午後91
AED パッドの装着例の写真(別冊午後No.37)を別に示す。

正しい貼付位置はどれか。1 つ選べ。
a ①
b ②
c ③
d ④

解答:a
解説:
右前胸部(右鎖骨の下で胸骨の右)と、左側胸部(脇の5~8cm下、乳頭の斜め下)の2カ所
DH 32回 午後102
神経性過食症を有する者の上顎前歯部に多くみられるのはどれか。
1 つ選べ。
a 歯質の黒変
b 歯肉の退縮
c 口蓋側エナメル質の損耗
d 唇側歯頸部のくさび状欠損

解答:c
解説:
神経性過食症は嘔吐することが多い。酸蝕症になりやすい。

